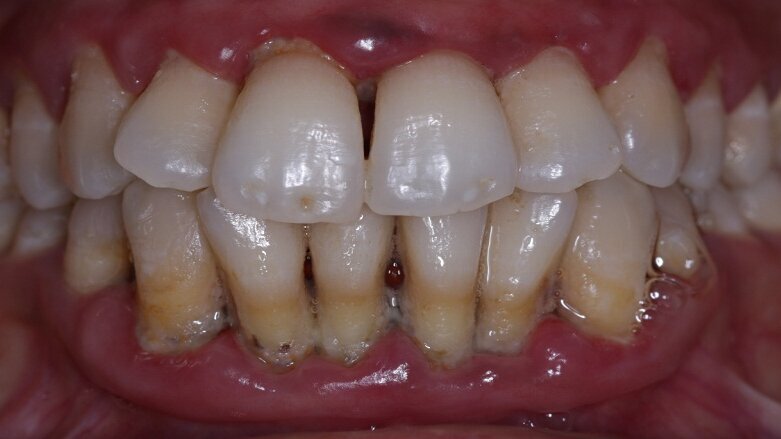
TORONTO, Canada: For multiple reasons, vitamin D3 is an essential vitamin. In a new study that may add to its importance, researchers from the University of Toronto have identified how the vitamin and periodontitis together influence Type 2 diabetes. With the prevalence of prediabetes and Type 2 diabetes reportedly on the rise, the study may help discover the role periodontal disease plays.
Lead author of the study Aleksandra Zuk found increased odds of developing Type 2 diabetes among people with periodontal disease who are also lacking in vitamin D3.
“We know that vitamin D is not only helpful for bone health, but is also shown to have antimicrobial and anti-inflammatory effects. Sufficient vitamin D levels can potentially decrease inflammation and affect oral microbes related to gum disease,” said Zuk, a Ph.D. candidate in epidemiology at the Dalla Lana School of Public Health and a trainee at the Population Health Analytics Laboratory.
According to the study, half of American adults have some form of periodontitis and vitamin D insufficiency. Zuk hopes that, by better understanding exposures, targeted treatment can be developed as an additional line of defense against diabetes. For example, by changing the vitamin D status from low to high among adults with periodontitis could affect glucose levels in people living with Type 2 diabetes.
With the role of periodontal disease still unclear when it comes to Type 2 diabetes, Zuk believes that exploring the impact of novel factors associated with disease risk is critical to finding some answers. “Because it’s the first study, we really need to look at these two exposures again in other studies and population. It might impact further diabetes research,” noted Zuk.
The study, titled “Joint effects of serum vitamin D insufficiency and periodontitis on insulin resistance, pre-diabetes, and Type 2 diabetes: Results from the National Health and Nutrition Examination Survey (NHANES) 2009–2010,” was published in BMJ Open Diabetes Research and Care on July 23, 2018.
ABU DHABI, UAE: The Health Authority—Abu Dhabi (HAAD), the regulatory agency of the health care sector in the Emirate of Abu Dhabi, has reported that ...
NEW YORK, N.Y., USA: In an interview, Terrence J. Griffin, DMD, president of the American Academy of Periodontology, discusses new developments in ...
Live webinar
Thu. 14 May 2026
9:30 pm IST (New Delhi)
Live webinar
Thu. 14 May 2026
11:30 pm IST (New Delhi)
Prof. Hani Ounsi DDS PhD FICD
Live webinar
Tue. 19 May 2026
8:30 pm IST (New Delhi)
Live webinar
Tue. 19 May 2026
10:30 pm IST (New Delhi)
Prof. Dr. med. dent. Ivo Krejci
Live webinar
Wed. 20 May 2026
4:30 pm IST (New Delhi)
Dr. Graham Carmichael BDSc (Hons), DClinDent (Pros), FRACDS, Dr. Robert Gottlander DDS
Live webinar
Wed. 20 May 2026
6:30 pm IST (New Delhi)
Live webinar
Wed. 20 May 2026
10:30 pm IST (New Delhi)
Prof. Dr. med. dent. Tim Joda PhD, MSc, eMBA
Comments are closed here.