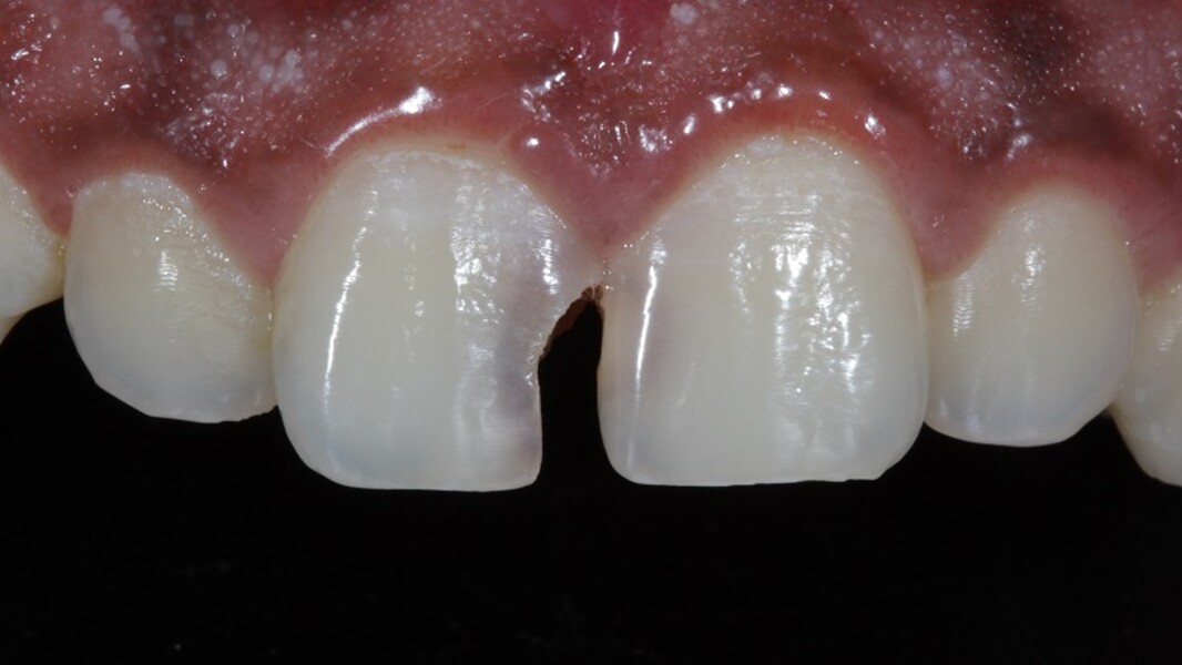
Fig 1: Pre-operative photograph
Fig 2: mesial tipping of 21
Discrepancy in mesio-distal width
11<21
Fig 3: digital image without enameloplasty,
21>11
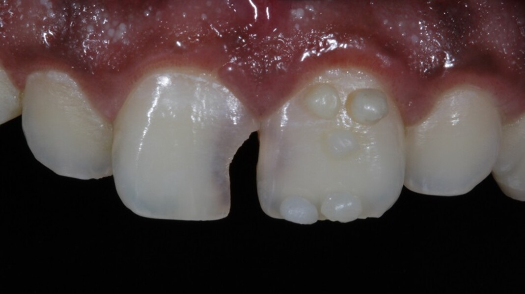
Fig 4: Shade Evaluation : Button technique (Hue)
Fig 5: Monochrome image to depict value
Fig 6: Isolation under a rubber dam
Fig 7: Excavation completed
Fig 9: Enameloplasty done on 21
Fig 12: Palatal Shell (Free Hand)
Fig 13: Band Placed (Sectional Matrix)
Fig 14: Proximal View of band placed
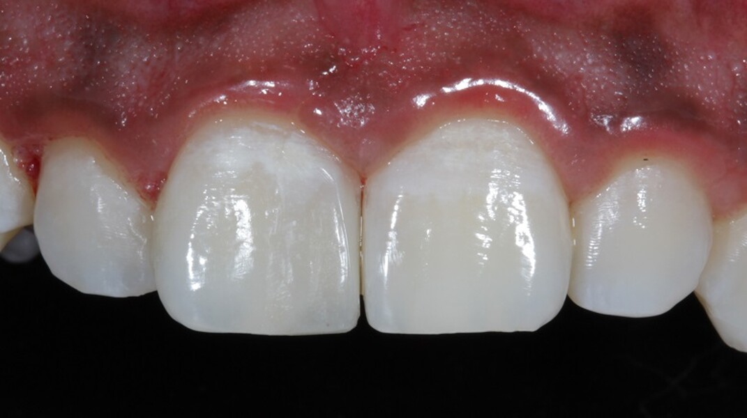
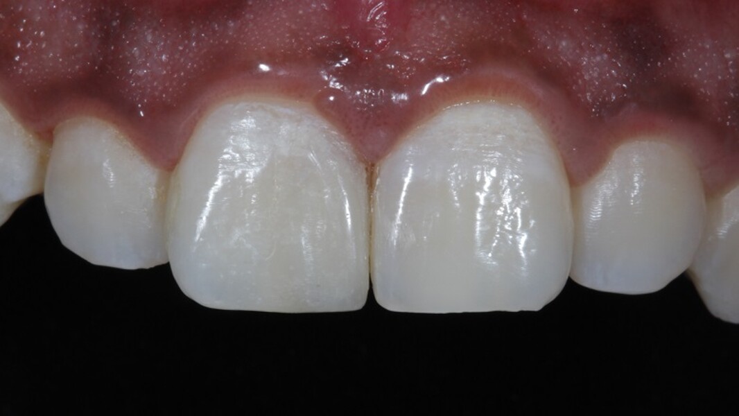
Fig 19: Symmetry achieved
Fig 20: Textures achieved
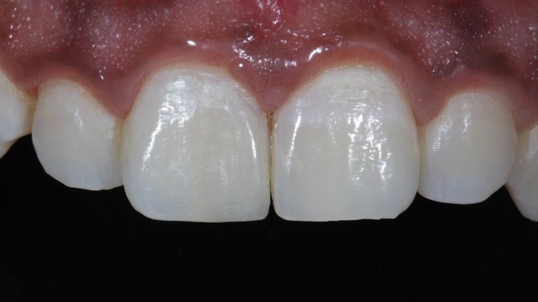
Fig 21: Final Post-Operative photograph