Search Dental Tribune

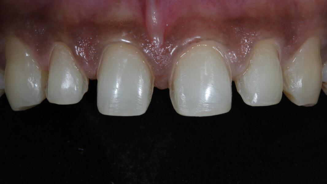
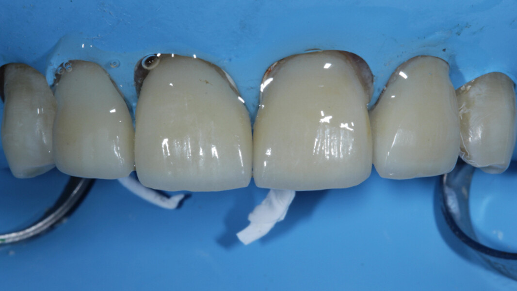
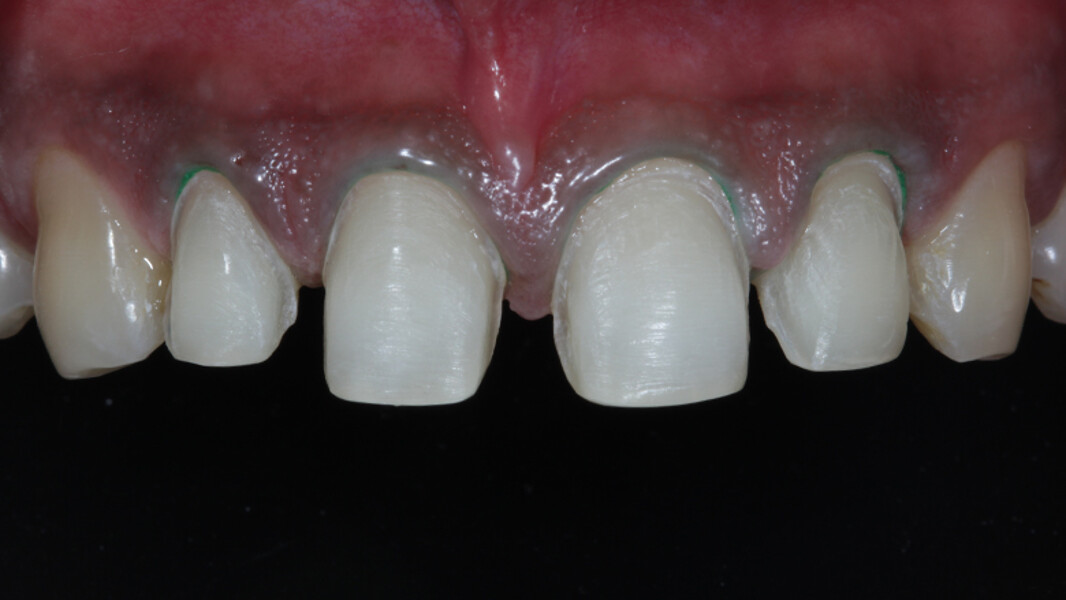
Designing Smiles and Changing lives

advertisement
advertisement