Search Dental Tribune

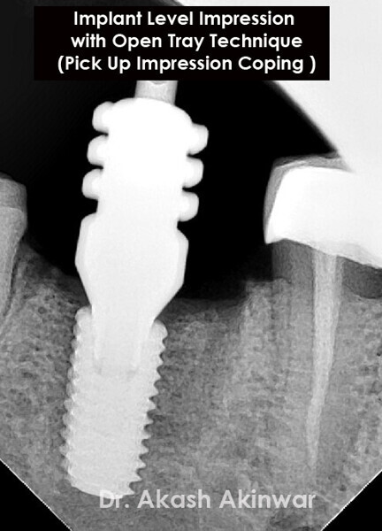
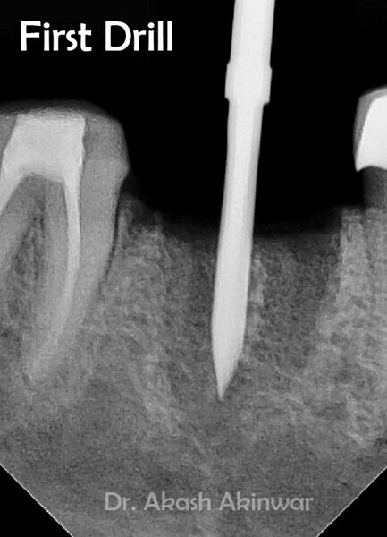
Flapless Single Implant Placement with Screw Retained PFM Prosthesis: Dr Akash Akinwar

advertisement
advertisement