Search Dental Tribune

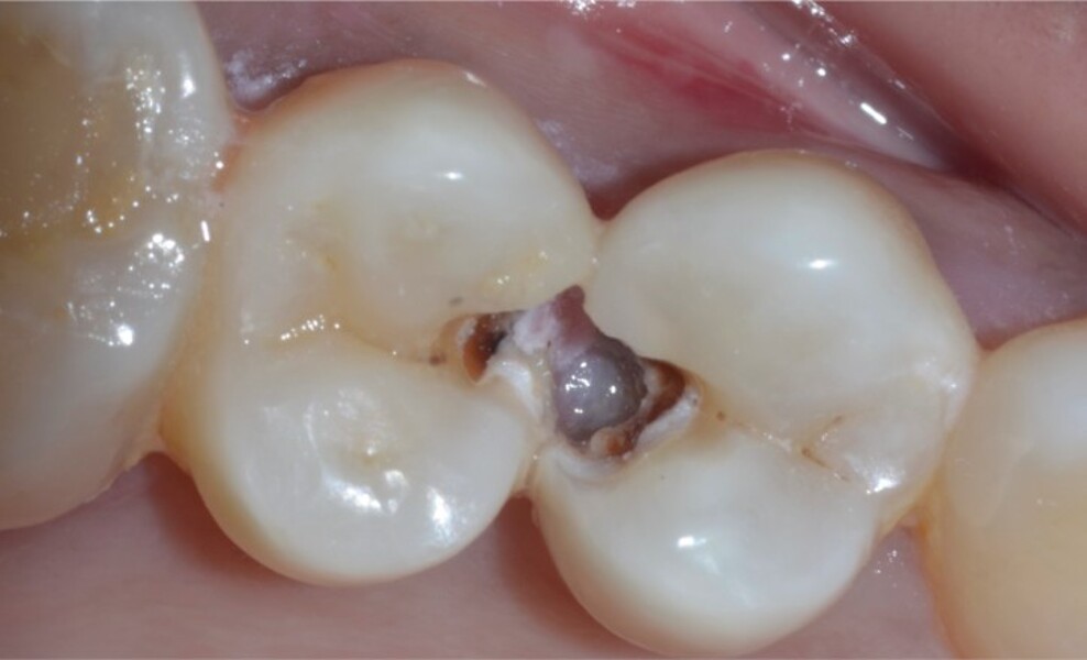
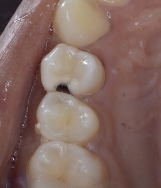
Predictable posterior restorations

advertisement
advertisement