Search Dental Tribune

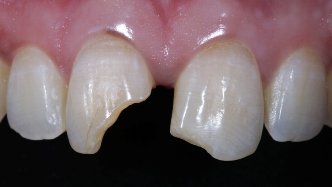
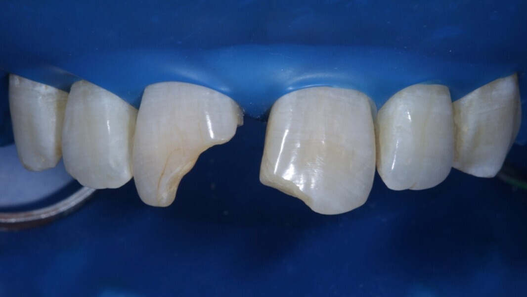
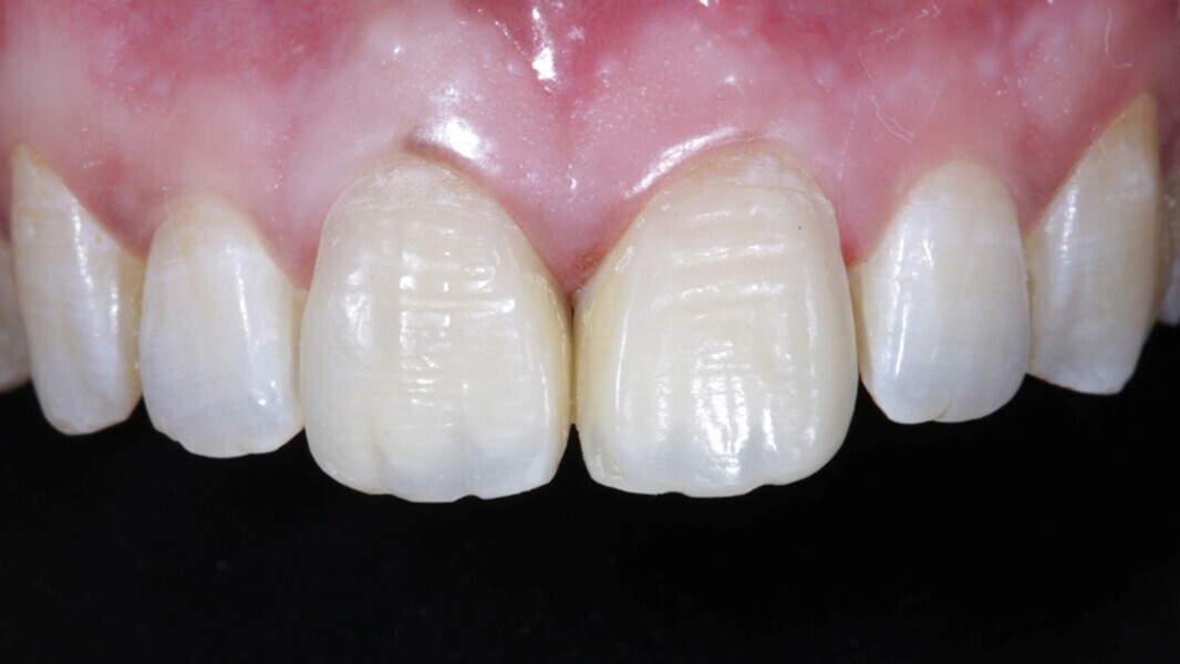
Restoring smiles with direct composite restoration

advertisement
advertisement