Search Dental Tribune

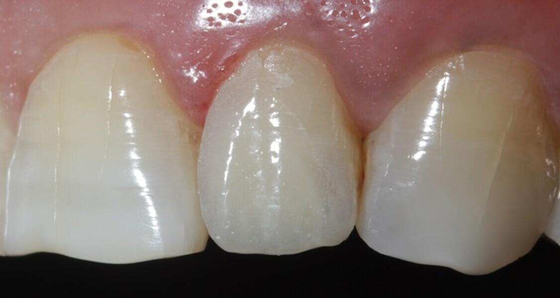
Surface Textures: Conlusion

advertisement
advertisement