Search Dental Tribune

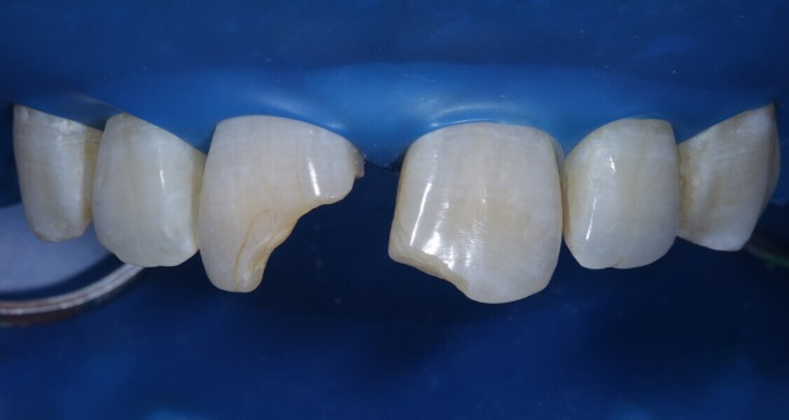
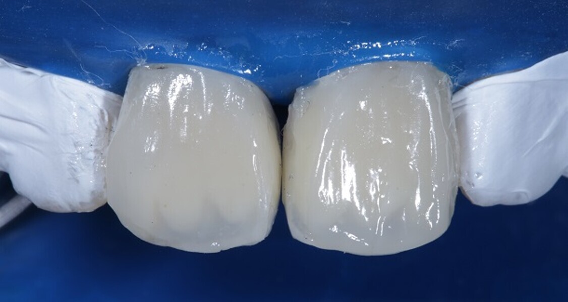
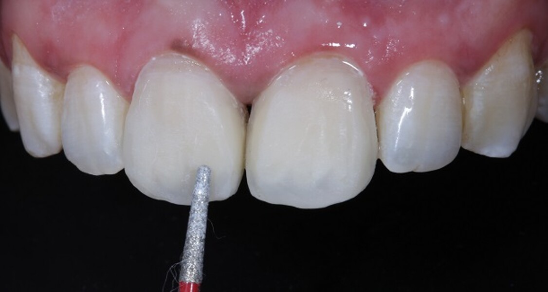
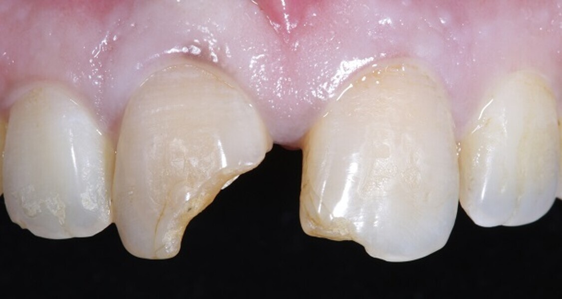
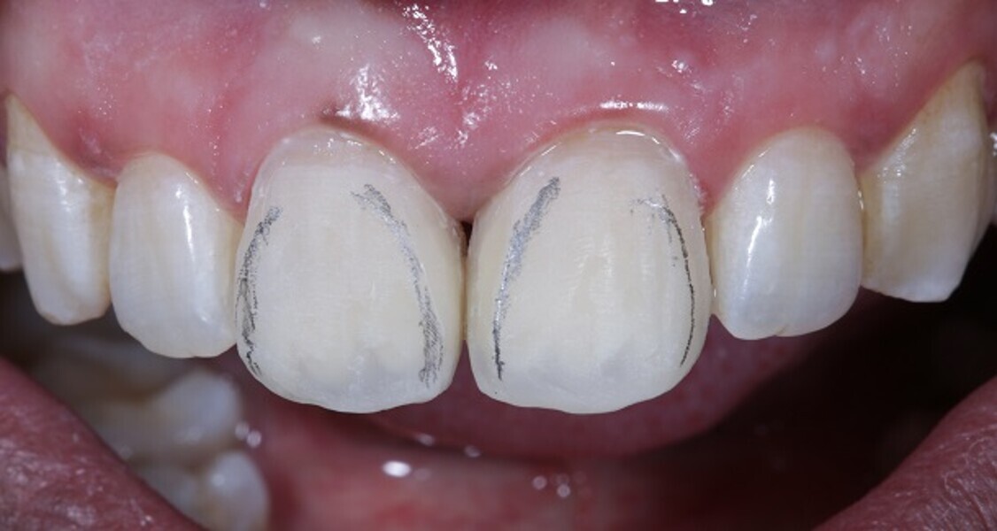
Surface textures

advertisement
advertisement