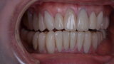
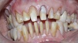
Figure 1 Close up smile before treatment
Figure 2 Full face before treatment
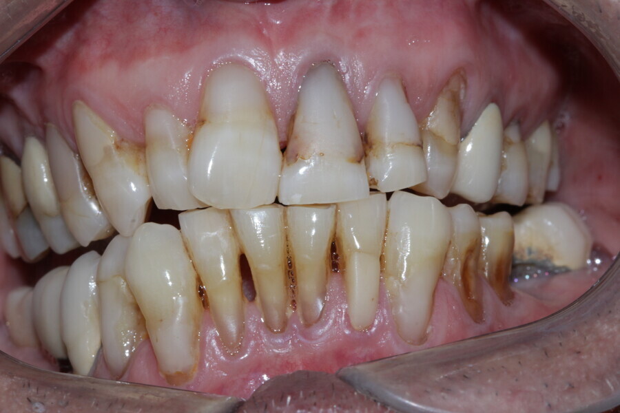
Figure 3 Anterior guidance before treatment
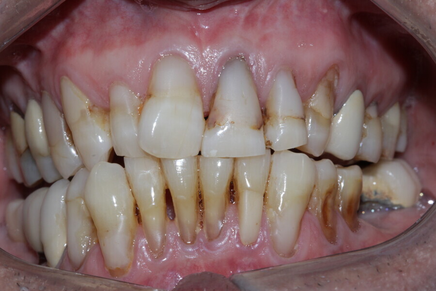
Figure 4 Right side canine guidance before treatment (anterior group function)
Figure 5 Left side canine guidance before treatment (anterior group function)
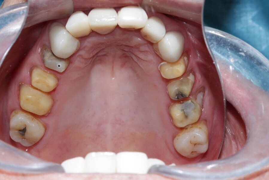
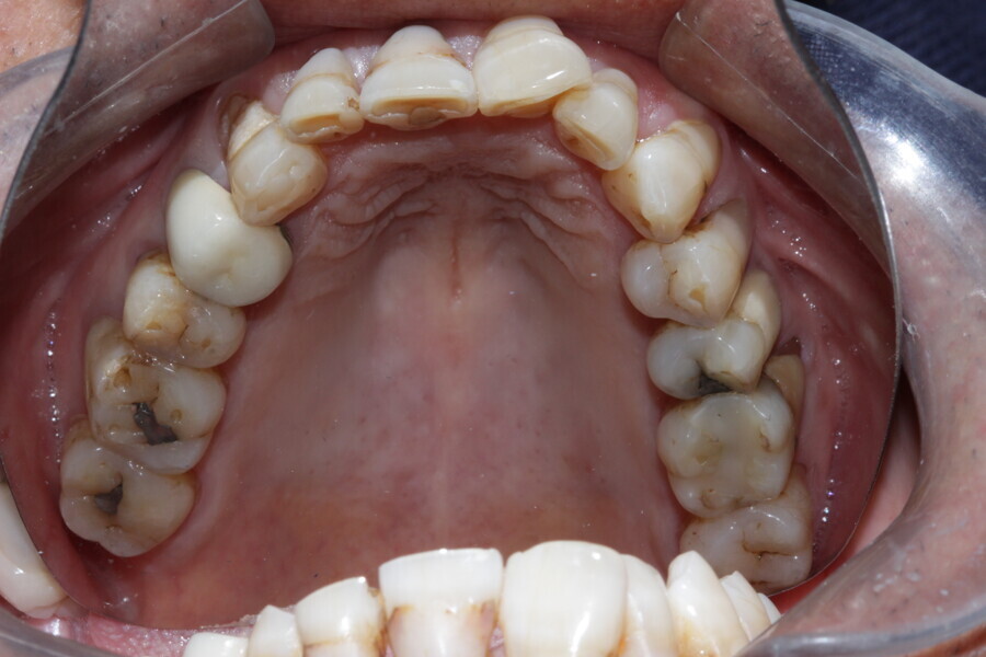
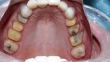
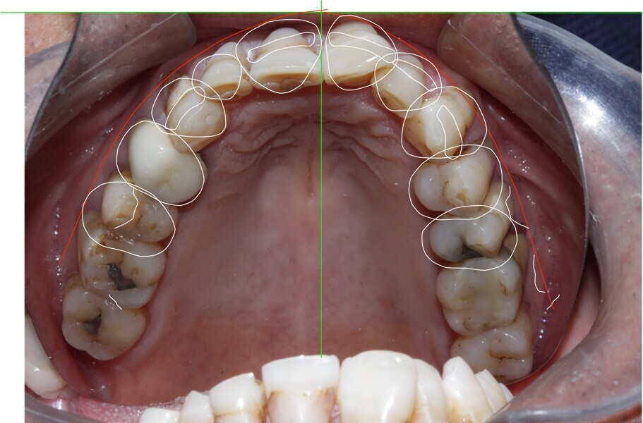
Figure 6 Maxillary occlusal view before treatment
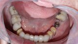
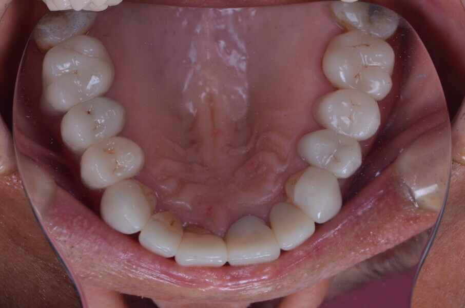
Figure 7 Mandibular occlusal view before treatment
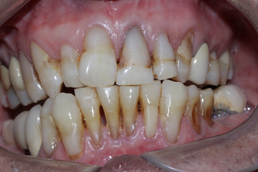
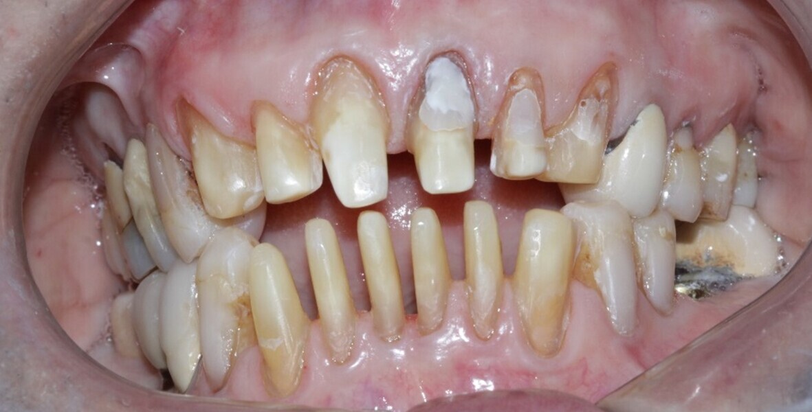
Figure 8 Right side in occlusion before treatment
Figure 9 Full coverage occlusal splint with anterior & canine guidances preop
Figure 10 Digital smile desinging planning
Figure 11 Digital smile designing planning
Figure 12 Diagnostic wax up as per digital smile designing planning
Figure 14 Diagnostic wax up as per digital smile designing planning
Figure 15 Diagnostic wax up as per digital smile designing planning
Figure 16 Test drive as per digital smile designing planning ( made putty index of diagnostic wax up & poured protemp in it & placed in mouth without teeth prep.)
Figure 17 Test drive in mouth as per digital smile designing planning intraoral view
Figure 18 Preparationn through test drive or provisionals
Figure 19 Anterior tooth preparation
Figure 20 Final light body putty impression
Figure 21 Palatal view of upper anterior emax 2 layered restorations all veneers except 21
Figure 22 lingual view of lower anterior emax 2 layered restorations( to close interdental spaces we planned crowns)
Figure 23 Alu wax bite for posterior restoration
Figure 24 Tooth prep posterior maxillary teeth
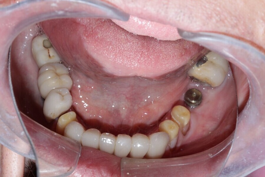
Figure 25 Tooth prep posterior mandibular teeth
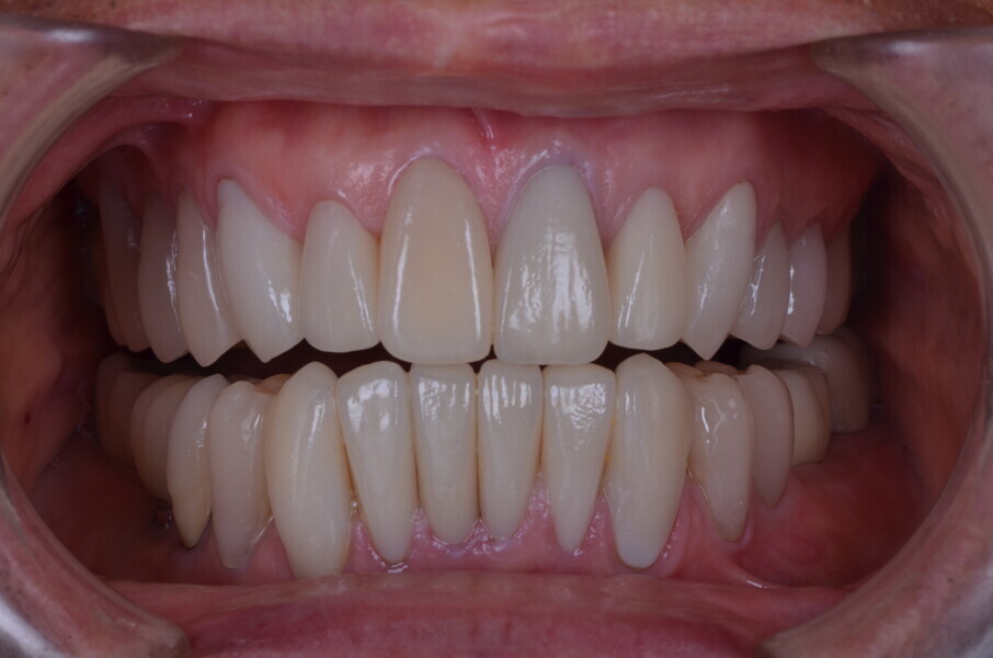
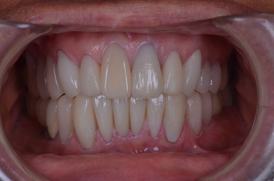
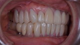
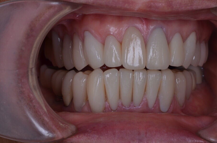
Figure 26 Closed mouth post op
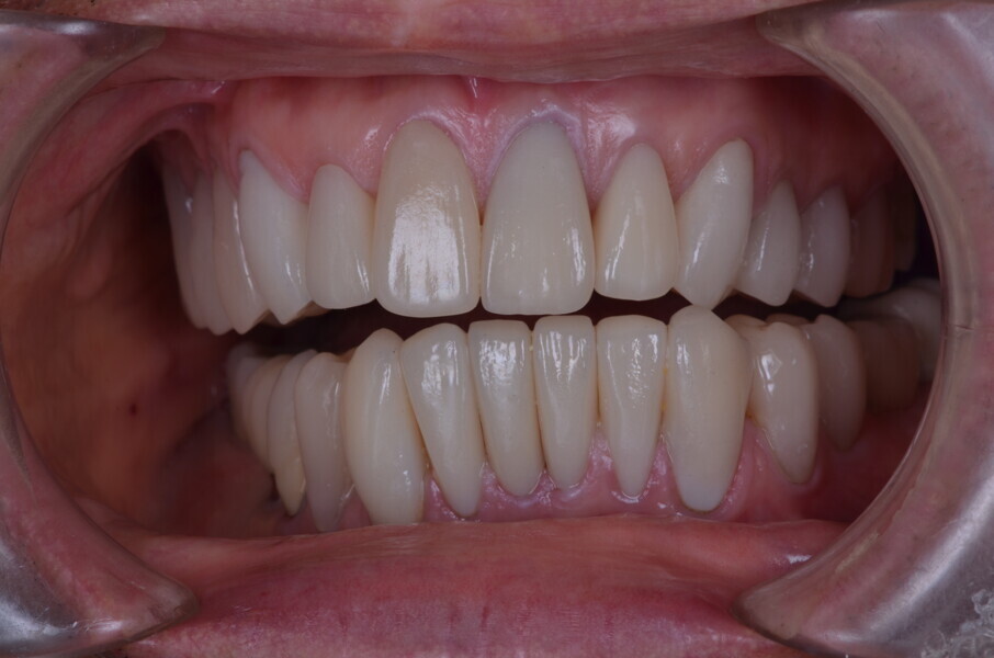
Figure 27 Anterior guidance
Figure 28 Post op left canine guidance
Figure 29 Post op canine guidance right side
Figure 30 Madibular occlusal view
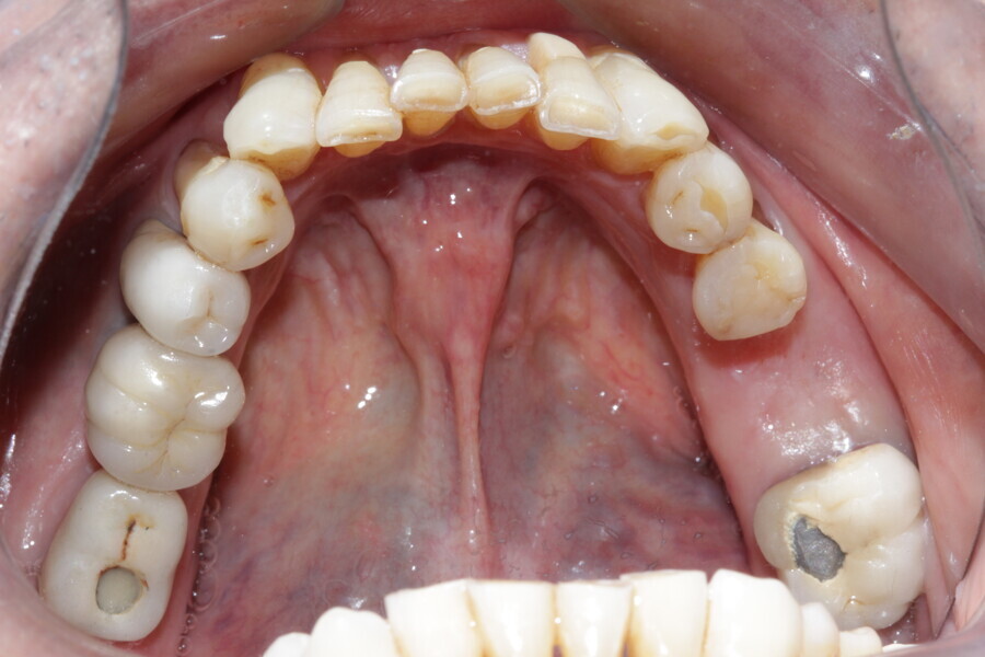
Figure 31 Occlusal view maxillary
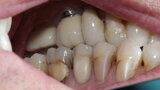
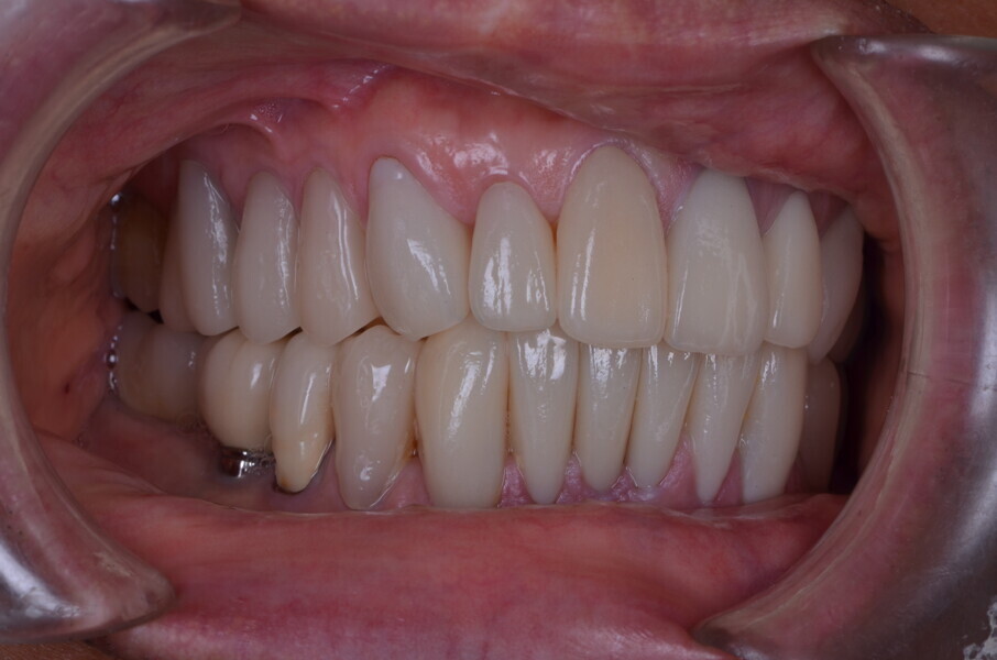
Figure 32 Right side occlusion