Aesthetic dentistry can be life altering for the patient and immensely satisfying for the operating dentist. Understanding the psychology behind why the patient wants a different smile, diagnosing the problems with the existing smile, formulating a treatment plan and finally executing that plan to perfection are a few challenges that the aesthetic dentist faces. Here I present a case of diastema closures with Lithium Disilicate Veneers.
A 28 yr old male patient walked into our dental office saying that he wanted a smile makeover. He covered his face while smiling. There were spaces in the front teeth that he was unhappy about, as he felt that while speaking some saliva slipped out of those spaces. He had budget and time constraints as he was getting ready to see a prospective bride. He needed a solution that would be quick and with less maintenance in the future.
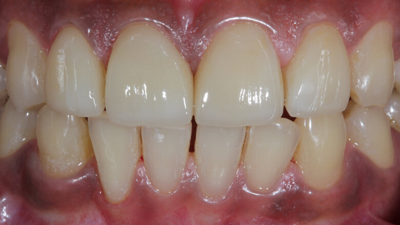
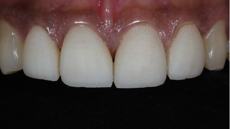
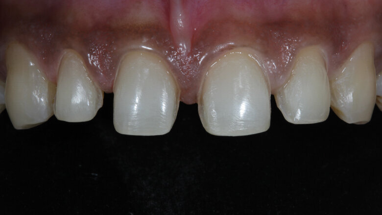
On examination the four maxillary central incisors had diastemata (Pic 1,2) Central incisors were not symmetrical. Existing shade and Gingival zeniths were acceptable and the occlusion was stable.
Treatment Plan
Orthodontic Treatment to close the diastemata.
Since the central incisors were not symmetrical, even after completion of adult orthodontics, we would need to re-establish central incisor dominance using veneers.
Direct Composite Veneers
A direct approach would let us control the aesthetic outcome with no dependence on a ceramist. Changes if any, could be easily made chairside. But it would mean a lot of chairside time apart from regular polishing and repair that would be needed every 6 months.
Indirect Lithium Disilicate veneers
Lithium Disilicate Veneers could restore the anterior teeth as per the golden proportions. They would need lesser treatment time (as compared to orthodontics), would have more predictable shade stability and lesser post operative appointments in the long term to polish or repair (as compared to direct composites).
Final treatment plan
With the patient’s informed consent, we planned to restore his smile using four Lithium Disilicate Veneers.
Treatment
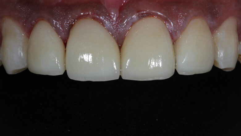
An aesthetic mock up was made by the lab [Pic 3]. With the help of a putty index [Pic 4] this was transferred to the patient’s mouth using Bis-Acryl material. The bis-acryl mock-up was bonded, changes were made according to aesthetics and phonetics. The temporary was polished and the patient was sent back home to evaluate the form and function.
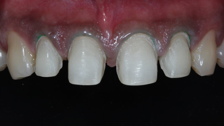
We had recalls every week to check if the patient was satisfied with the trial smile and made the required changes till he was satisfied [Pic 5]. Once we got the patient’s go ahead, we recorded the approved smile through an impression [Pic 6]. Then we proceeded with the preparations. We achieved tissue retraction using retraction cords [Pic 7].
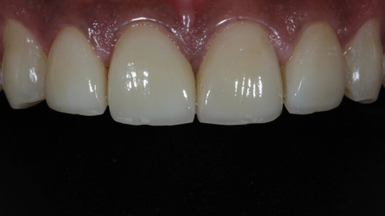
The impressions were made in Addition silicone material. The bite was recorded using ALU wax. The patient was temporized again till the next appointment. The trials were checked [Pic 8], textures were marked on the ceramic [Pic 9]. Any interferences in occlusion were eliminated and the trials were sent back to the lab for final glazing. For the bonding appointment all protocols were followed [Pic 10-16]
After completion of bonding, rubber dam sheet was removed [Pic 17] and post-operative instructions were given. One month recall appointment [Pic 18, 19] showed that oral hygiene was good. Patient was following all instructions very well. Most importantly, we found a new confidence in the patient’s smile [Pic 20]
Discussion
Understanding what the patient’s psychology is extremely important in aesthetic smile makeovers. The dentist, the patient and the ceramist have to work as a team to get the best possible results. We must try our best to achieve minimally invasive dentistry. Keeping the tooth preparations in enamel gives us the best substrate to bond Lithium disilicate with predictability.
Disclaimer
Some of the photographs have been tilt-corrected and cropped. No other digital editing has been done to any of the photographs.
Acknowledgements
I would like to thank Dr. Indranil and Dr. Komal Majumdar for their support. And I would like to express my gratitude to Katara Dental, Pune for the ceramic artistry in this case.
Direct composite veneers are an excellent choice of treatment for aesthetic concerns. They are minimally invasive, have superior aesthetics, and are not as ...
MANGALORE, India: Digital smile design has begun employing artificial intelligence (AI), raising questions about the quality and acceptability of ...
This article explores how artificial intelligence and augmented reality are revolutionising cosmetic dentistry—especially, how virtual smile previews help...
LAS VEGAS, US: From 15 to 17 September, the dental community gathered at the Dentsply Sirona World (DS World) event at Caesars Forum in Las Vegas for the ...
As the dental industry continues to struggle with the COVID-19 pandemic, Dental Tribune South Asia invites ideas/ plans/ suggestions from dentists/ dental ...
Dental Tribune South Asia pays its heartfelt tribute to the master dental technician, ceramist par excellence, a great mentor and human being, Mr Mahesh ...
The measured efficacy/ effectiveness of the vaccine is only a guide for approval and not a benchmark for claiming superiority of one vaccine over another.
OTTAWA, Ontario, Canada: The COVID-19 pandemic has resulted in dental practices across Canada being told to delay elective and preventive treatments, and ...
Many of us react in quite different ways to changes happening around us. Take a moment to read this short account of what is not so much my change journey, ...
Live webinar
Tue. 12 May 2026
10:30 pm IST (New Delhi)
Live webinar
Thu. 14 May 2026
9:30 pm IST (New Delhi)
Live webinar
Thu. 14 May 2026
11:30 pm IST (New Delhi)
Prof. Hani Ounsi DDS PhD FICD
Live webinar
Tue. 19 May 2026
8:30 pm IST (New Delhi)
Live webinar
Tue. 19 May 2026
10:30 pm IST (New Delhi)
Prof. Dr. med. dent. Ivo Krejci
Live webinar
Wed. 20 May 2026
4:30 pm IST (New Delhi)
Dr. Graham Carmichael BDSc (Hons), DClinDent (Pros), FRACDS, Dr. Robert Gottlander DDS
Live webinar
Wed. 20 May 2026
6:30 pm IST (New Delhi)
Very nicely managed Dr.Priya
Very nicely done case.. But for the sake of lot of juniors pl elaborate on how you cemented those veneers, how you treated the tooth and veneer and how you fixed it and what cement you used for fixing.These are the most commonly questions asked by my juniors.