Dr Neel Bhatavadekar outlines some important principles and take home points regarding soft tissue management and grafting in esthetic dentistry. (Photo: Neel Bhatavadekar)
In this editorial, Dr. Neel Bhatavadekar briefly outlines the long-term comparison between two main techniques for soft tissue grafting: tunneling vs. envelope flap, and the use of vertical release incisions vs. without vertical incisions, and specifically so, in the Indian patient context.
Introduction
Soft tissue assessment around teeth or implants has emerged as one of the most important clinical considerations for long-term success. Recently, the Controlled Palatal Harvest (CPH) technique published by our group has enabled clinicians to obtain connective tissue graft thickness of predictable thickness from the palate. (Bhatavadekar,Gharpure, 2018)
However, for several dentists who are perhaps are not well versed with soft tissue augmentation, the palatal harvest of a connective tissue graft is usually seen as a major deterrent in proposing this treatment option to patients. The advent of allogenic/ xenogenic soft tissue substitutes has made this technique less of a hurdle and effectively enabled a palate-free augmentation approach in recent times. Still, the choice of the flap, and choice of vertical release incisions have remained a debatable topic for long.
Characteristics of the Indian population:
Our clinical assessment demonstrates that, in India, we deal with a unique situation of having patients with thin biotypes, both around teeth and around implants. As a consequence, our patients are more prone to peri-implant and periodontal gingival recession (Fig 1). If the biotype and keratinization is not taken into account at baseline, it becomes a patient management problem later to add soft tissue augmentation to the list of required procedures. In my personal opinion, I have seen about 80% of my implant cases needing either soft tissue augmentation, or hard tissue, or both.
Use of Tunnelling vs envelope flap: 6-year results
It is well established that root coverage with connective tissue grafts is a long-term predictable procedure (Fig.2,3). In our recently published study (Bhatavadekar et al., IJPRD 2019), we compared the results between tunneling and envelope-type open flaps (combined with a CT graft) at the 6-year mark. The root coverage between the 2 groups was similar, thus establishing that the tunnel technique does not necessarily provide better long-term gains. From a clinical perspective, however, often, the tunneling technique may end up taking a long time to perform. Thus, the clinician needs to take a case-dependent decision about which of the techniques would be better for given case anatomy.
For peri-implant soft tissue, a zone of keratinized tissue is known to provide better long-term stability (Fig. 4). However, from a soft tissue augmentation perspective, either for a tooth or an implant, the buccal positioning is critical when assessing the predictability of the surgical procedure at baseline. The more buccal the implant/tooth, the harder it generally is to graft around (Fig. 5).
Fig 1: Thin tissue biotype predisposes to mucogingival problems around implants and teeth
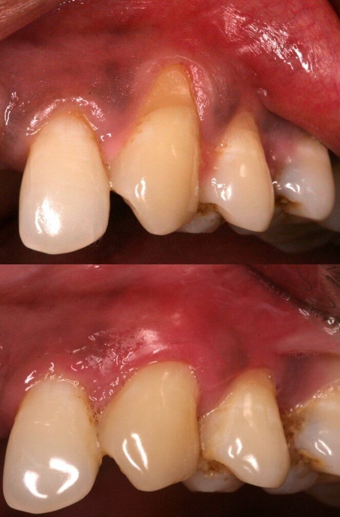
Figure 2: Baseline and 5 yr post op photos after root coverage using a CT graft. Stable long term soft tissue attachment is predictable.
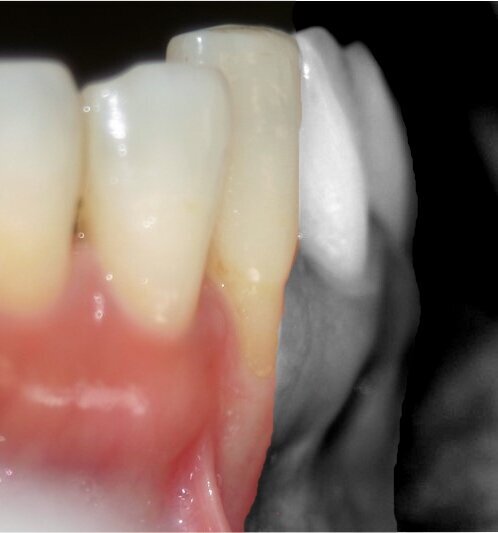
Fig. 3: Harvested Connective Tissue (CT) graft. An excess of adipose tissue in the graft leads to increased shrinkage.
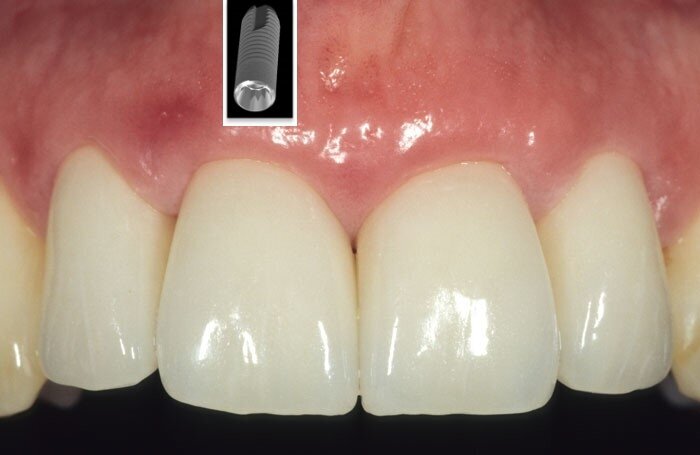
Fig. 4: Good soft tissue maintenance around implants can be often obtained by soft tissue augmentation, thus improving tissue biotype and keratinization.
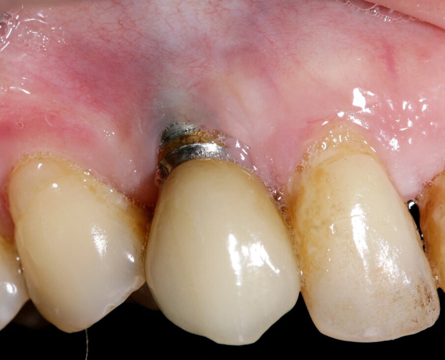
Fig. 5. Buccal positioning of a tooth/ implant will negatively impact root coverage , and needs to be carefully assessed.
Fig. 6: Vertical release incisions in esthetic zone can often lead to scar tissue visible even 7 years post-op
Vertical release incisions in the anterior esthetic zone: 7-year results
We recently compared the long-term (7 years) results in the anterior esthetic zone between 2 groups of patients- with and without vertical release incisions (Bhatavadekar et al., 2020). At both the 8 months and 7-year follow-ups, the group without vertical release demonstrated statistically superior root coverage and keratinized tissue zone.
Importantly, it was observed that in the anterior esthetic zone, vertical release incisions left scar tissue which was often visible even at the 7-year mark (Fig. 6). This was in spite of the fact that the vertical incisions were always made at line angles, avoiding areas of root prominence.
Conclusion:
Every decision in your clinic should be based on a multifactorial evaluation process. Evidence-based decision-making ensures that most things will work in your hands, irrespective of your clinical competency level.
Most surgical techniques will seem to work in the immediate aftermath of a procedure. Social media is an important learning tool nowadays if utilized wisely, but one often sees anecdotal cases, often with no follow-up beyond a few weeks. The astute clinician will learn to appreciate the value that long-term follow-up data provides for one's own private practice. Enlisted below are some clinical tips which I feel may add value to your soft tissue decision making:
Clinical take-home points:
Monofilament sutures are greatly preferred over braided sutures like silk. 5/0 or 6/0 is the recommended size.
Fancy incision designs or complicated pedicle grafts do not necessarily provide better clinical results. Maintaining tissue and graft vascularity should be the priority.
Tunneling does not necessarily provide better long-term results as compared to envelope flaps. So choose the flap technique wisely.
The use of TTL (through the lens) loupes greatly improve your surgical capabilities and should be one of the first things clinicians should invest in.
Vertical release incisions in esthetic areas can leave scar tissue visible up to 7 years post-op, as per the results from our publications. Hence, judicious use of vertical release incisions is mandated in high visibility esthetic zones.
If new to soft tissue augmentation, start with augmentation around teeth before you venture into implant soft tissue augmentation procedures. It is more forgiving.
Self-document as much as possible. Learning from one's own mistakes forms a crucial pillar in progress.
Bhatavadekar NB, Gharpure AS, Chambrone L. Long-Term Outcomes of Coronally Advanced Tunnel Flap (CATF) and the Envelope Flap (mCAF) Plus Subepithelial Connective Tissue Graft (SCTG) in the Treatment of Multiple Recession-Type Defects: A 6-Year Retrospective Analysis. Int J Periodontics Restorative Dent. 2019 Sep/Oct;39(5):623-630.
Bhatavadekar NB, Gharpure AS, Chambrone L. Long-term Evaluation (7-years) of Coronally Advanced Flap with (CAF) and without (e-CAF) Vertical Release Incisions using a Subepithelial Connective Tissue Graft in the Treatment of Multiple Recession-Type Defects. Accepted Quintessence. 2020. In Press.
About the author:
Dr. Neel BhatavadekarBDS, MS(US) MPH (US), Diplomate, American Board of Periodontology
After graduating from Nair Hospital Dental College, Bombay, he completed Masters in Periodontology at the University of North Carolina at Chapel Hill USA. In addition, he has a Masters in Biomedical Engineering from the University of Florida and a Masters in Public Health. He is the first Diplomate of the prestigious American Board of Periodontology to be practicing in India, and he holds adjunct faculty appointments in the Department of Periodontology at the University of Texas Health Science Center, and at the University of North Carolina at Chapel Hill.
He was also the first ITI (International Team for Implantology) Fellow in India and a Registered ITI Speaker. In addition to being a reviewer for the Journal of Periodontology, and the Journal of Clinical Periodontology, he has been a KOL for dental implant and graft companies in Europe and the US. His clinical interests are implant dentistry, mucogingival surgery, and periodontal bioengineering. He also holds joint US - India dental licenses, and currently practices in Pune. www.clarusdental.com
DAMMAM, Saudi Arabia: The method of denture fabrication and material used are relevant to longevity, strength and occlusal wear resistance. 3D-printing ...
LUCERNE, Switzerland: Earlier this year, 43 leading experts from three organisations participated in a unique consensus meeting. The aim of the meeting was ...
In the realm of periodontal soft tissue surgery, a revolutionary wave is cresting: minimally invasive surgery. By promising precision and extraordinary ...
BRISBANE, Australia: Ensuring the formation of a solid soft-tissue seal at the dental abutment surface is crucial for protecting the underlying tissue from ...
Dr. Sujit Pardeshi is a well known author, dentist, personality development-management trainer & public speaker. He has done his Masters in Business ...
Prof. Dr Markus Hürzeler and Dr Otto Zuhr, popularly known as Hürzeler/ Zuhr, have taken clinical excellence, education, and research in periodontics,...
Our understanding of soft tissue phenotype around teeth and implants will improve as we utilise novel technologies and advance our knowledge from studying ...
Education
Live webinar Thu. 23 April 2026 10:00 pm IST (New Delhi)
Stanley M. Bergman’s retirement as CEO of Henry Schein marks the end of one of the most influential leadership tenures in modern dentistry and healthcare ...
TIRUCHIRAPPALLI, India: The integration of artificial intelligence (AI) into medical imaging can support diagnosis and reduce clinical workload. A new study...
To post a reply please login or register