Prof. Louis Hardan is called the Father of Mobile Dental Photography as he revolutionized clinical case documentation in dentistry with his protocols of Mobile Dental Photography (MDP) (Photos: Prof Louis Hardan)
Prof. Louis Hardan, called the Father of Mobile Dental Photography, is the inventor of Smile Lite MDP (Smile Line) a device to take high-quality dental pictures with a mobile phone (winner of the best of class technology award for 2017 in the USA) and Posterior Misura (LM Instruments) for direct posterior composites.
It is an honor to have you with us for this interview, Dr. Hardan. Thank you for taking time from your busy schedule and agreeing to answer our questions. Can you tell us a little about your early years in dentistry and education? First of all, my name is Louis Hardan. I graduated in 1989 from Saint Joseph University, Beirut, Lebanon. This university, founded in 1875, is one of the oldest in the region. Our dental school is 102 years old. After my graduation, I started teaching at the university. Simultaneously, I was doing my postgraduation diploma. I finished my Ph.D. in 2009. During this time, I became the General Secretary of the Lebanese Dental Association. I started lecturing, first in Lebanon, then the Middle East, and later internationally. I became a member of Styleitaliano in 2013 and a member of the European Society of Cosmetic Dentistry (ESCD) in 2020. I am now a Professor at the Aesthetic and Restorative Dentistry department at Saint Joseph University. I am also the Director of the Masters in Aesthetic and Restorative Dentistry degree program. Additionally, I am the Coordinator for the Masters in Aesthetic and Prosthetic Dentistry degree program.
What keeps you motivated as a researcher? Being a part of and teaching at the university, you have to prepare courses, read articles, and have extensive knowledge in the scientific field. Whenever we give lectures or courses, we have to cite papers and articles of well-known scientists worldwide. When I was a young teacher, I always asked myself why I did not do research and publish my scientific articles. I started publishing a long time ago in local papers, and I developed a routine to research and publish scientific articles. Much before my Ph.D., speaking with my orthodontist about his dilemma of debonding brackets while using self-etch adhesive, in an era when no one was still talking about selective etching of enamel to get a better bond with enamel structure, we published a paper in Germany in a journal with an impact factor about the need for preparation of enamel by either abrasion, etching or sandblasting while using self-etch adhesives. This detailed research, which went on from 2005 until its publication in 2008, got me interested in the process and helped me develop a flow of thinking along different lines and discover new paths.
I live in a country that has been in a big war since 1975. We have suffered heavy economic losses and sometimes have struggled for basic things like fuel and electricity. There was an immense atomic explosion in 2020 in Beirut, which destroyed a big part of the city. All these problems compounded during the pandemic. However, I have always tried to be optimistic and find the necessary solutions despite all this. We have published close to 40 articles during this pandemic era, most of which are in high-impact factor journals. Rather than being depressed about situations beyond our control, I have always tried to set goals and put all my energy into achieving them. The sky should be the limit.
Of all your numerous publications, which is the one that is close to heart? I love all my articles equally, so it is not easy to choose, but some were more challenging than others, while some were more interesting for various reasons. One such article, published last year, was unique for me. One of my patients, for whom I had done many restorations a year ago, decided to undergo orthodontic treatment, and my orthodontist advised extraction of premolars. So, I had the opportunity to study my restorations which had undergone the best possible aging in the mouth of the patient. When we do aging in vitro, it is similar to but not the same as natural aging in the mouth. We did a scanning electron microscopy (SEM) for the teeth, and I was happy to see the adhesion to both enamel and dentin that I executed in clinical conditions, the hybrid layer quality, and the absence of microleakage after one year. Because of this, this article is unique to me. It was a rare opportunity to study my work after one year in oral aging.
Another article that I love was published lately. Compared to professional cameras and intraoral dental scanners, we demonstrated that there is no deformation in smartphone photographs taken in good conditions.
The new MDP 2
What made you come up with Mobile Dental Photography? Can you throw some light on Smile Lite MDP? When I joined Styleitaliano, I bought a new DSLR, macro lens, flash, diffusers, bouncers, which cost me around $5000 at that time. Yes, this is essential for good photography, but it got me thinking about whether each dental student or dentist can afford this kind of investment.
We know how necessary documentation is for so many reasons, but the question is can everyone afford this. My research showed that only 5% of dentists owned a DSLR, and only half of those knew how to use it. So, 97.5% of dentists did not have a solution for documentation. At that time, smartphone cameras were evolving at a rapid pace. So, I thought, why not use the smartphone camera, which everyone already possesses, and dentists can use their smartphones to take good dental photographs.
After detailed planning and in-depth study of photography, I decided to make a prototype with two lights, like a twin flash, to give the best possible lighting, especially for anterior teeth. This prototype was then discussed with Smile Line via Styleitaliano, who loved the idea.
The first professional studio for Mobile Dental Photography (MDP) was launched in 2017 (Smile Lite MDP winner of the best of class technology award in the USA). Nevertheless, the idea started in 2013-2014.
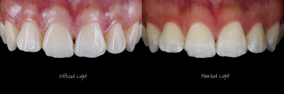
Now, even with a phone, we can have high-quality pictures, and it is easy for everyone to use every day. In this device, the central light is like a ring flash, the lateral lights are like twin flashes, and you can have diffused and polarized light.
Blue eye
Tooth structure
Comparison
Lips
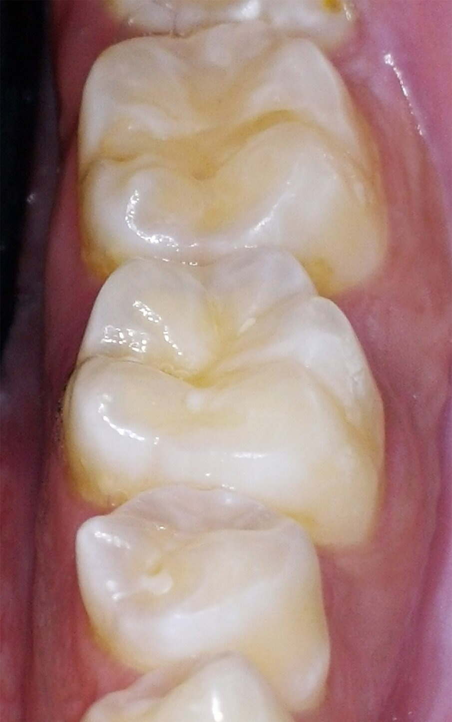
Molar tooth
Portrait
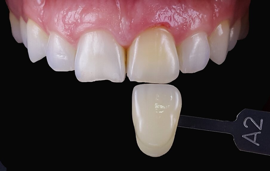
Shade matching
What is the single most important thing in photography, according to you? The most important thing in photography is light. If you can manage light, then you can take good quality pictures. Accessories like good-quality mirrors, contractors, and retractors are also essential.
After all, we do not take a picture. We make a picture.
Mobile Dental Photography book
Can you tell us something about your book? What has been the global reception towards it? In 2014, I wrote the first article on Mobile Dental Photography. I was the first person to talk about and publish an article on MDP worldwide, which is why they call me the “Father of Mobile Dental Photography.” I gave my first lecture on Mobile Dental Photography in 2014 in Parma-Italy. After the lecture, there was a massive round of applause since everybody liked what I was talking about. After that, I got many invitations worldwide from many universities and associations to talk about MDP.
After the Smile lite MDP launch from Smile Line, MDP became very popular. I had a hectic schedule with lectures, and all my workshops were getting fully booked. That is when I thought I should compile all my thoughts, ideas, tips, and tricks and write a book.
With the help of Dr. Walter Devoto and Prof. Angelo Putignano, the founders of Styleitaliano, we contacted Quintessence, who loved the idea and encouraged me to write it. The book was published in 2020, and within two months, it was among the top 10 selling books of Quintessence worldwide.
As an aesthetic and restorative dentist, what do you think is the one thing that is still missing in our effort to emulate nature? Imitating nature is a huge challenge. Even after your best efforts, there would be many things missing. We can go as close as possible but never equal what is natural. That is why I advise dentists to avoid over-treatment. I see many crimes committed in the name of smile improvements where unnecessary treatments are often done at the expense of natural tooth structure. We should aim to be as minimally invasive as possible and preserve what God has created.
Can you tell us about your association with Styleitaliano and the European Society of Cosmetic Dentistry (ECSD)? Styleitaliano, founded by Dr. Walter Devoto and Prof. Angelo Putignano, consists of experts who have committed themselves to making things Feasible, Teachable, and Repeatable. We try to find solutions to simplify the workflow for dentists so that, with our philosophies, everyone can practice great dentistry every day.
We have many instruments and products that aim to simplify dental work and make it predictable. Styleitaliano provides a wide variety of education worldwide.
I am an Honorary Member and Scientific Director for Styleitaliano.
ESCD is also an established organization. We have Country Chairpersons for every member country where Study Clubs are held for the benefit of our members. We also have two annual meetings; one is the Winter Meeting, and the other is the Annual Meeting which has a great lineup of speakers from all over the world on topics related to Aesthetic Dentistry. This year it will be held in Rome on 13-15 October 2022.
I am a Board Member (International Affair Chairperson) and country chairperson for Lebanon in the ESCD.
On a personal note, how do you manage to do so many roles - academician, researcher, global educator, author, and an active member of two prestigious international societies? Do you have any advice for clinicians on multi-tasking? I will not say it is easy doing so many things at once, but when you love what you do, you will always find a solution to manage your time. It takes a lot of hard work and perseverance, which is why I am collaborating with many teams to help. I believe that if you exist, you have to keep moving, and by doing that, I feel alive. Life is short, so we must make the most of it by doing the things we love and doing them professionally.
You are an inspiration to many worldwide. Who would you call your source of inspiration? Well, I would not like to take names for fear of missing out on someone, but so many people have inspired me. At the university, at the associations I work with, I find inspiration in things and the people around me every day. However, my greatest inspiration is God. He has managed to create something so complex, but He did it effortlessly.
I always try to search for the keys to successful projects and apply them with passion and dedication to what I do.
One piece of advice I would like to give to the young generation of dentists is to keep learning, read articles and papers, attend congresses and workshops. That will help them become successful in life and reach international levels. Practical work, applying what they have learned, and continued learning are the keys to success. Peter K. Thomas said, “If I can do something, you can do it,” and to achieve that, they have to learn, practice, not be depressed with what is happening around them. Nothing should stop their dreams.
Editorial note:
About
Louis Hardan DDS, CES, DEA, PhD
Professor Restorative and Esthetic Dentistry
Saint-Joseph University, Beirut, Lebanon
Styleitaliano Scientific Director
ESCD International Affairs Chairperson
This article is about a unique dental app called Denthue, where we interview its creator Dr. Sachin Chaware, Prosthodontist, Nashik. DentHue is a digital ...
In dentistry, preventing working site infection can prove to be a challenge along with chances of cross-contamination and potential disease transmission ...
Dental photography school released the 3rd edition of its calendar in January this year. The idea of world dental photography calendar was to encourage all ...
Mumbai: The Dental Photography School (DPS) under the mentorship of Dr.Mayur Davda has come out with what could be called India's first dental calender. The...
Education
Live webinar Wed. 22 April 2026 8:30 pm IST (New Delhi)
Stanley M. Bergman’s retirement as CEO of Henry Schein marks the end of one of the most influential leadership tenures in modern dentistry and healthcare ...
TIRUCHIRAPPALLI, India: The integration of artificial intelligence (AI) into medical imaging can support diagnosis and reduce clinical workload. A new study...
Wowww! This is an awesome interview, thankyou Dr. Nisha for interviewing such an eminent personality.