Search Dental Tribune

One step closer to nature: Occlusal concepts and sophisticated aesthetics in digital dentistry

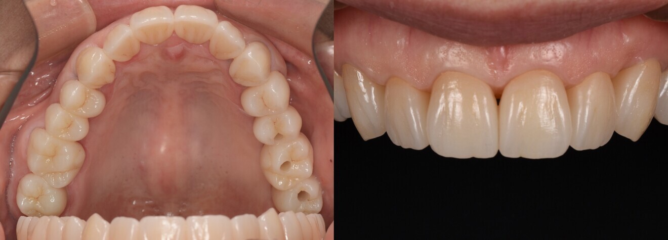
Highly aesthetic and functional result. (All images: Atsushi Hasegawa)

Thu. 28 April 2022

save

A dental restoration is not just an aesthetic restoration; it must fulfil many more requirements and integrate perfectly into the existing system. In this article, I discuss function and the way to a highly aesthetic, functional and very natural tooth restoration.

My philosophy

The goal of dental technicians is to produce restorations which are harmonised in terms of the natural teeth and mandibular movement. Restorations should be incorporated into the body without inhibiting existing functions and satisfy the functions of mastication and pronunciation. To achieve the purpose of restoration, it is necessary to deeply analyse and understand the temporomandibular joint with mandibular movement and skeletal form and the anatomical shape of each tooth. There is a functional correlation between mandibular movement and the anatomical shape of the individual tooth. This interaction is an important basic concept for the reconstruction of the masticatory organs. By the dental technician understanding and implementing such a concept, the anterior and the posterior teeth maintain their harmony in the static and dynamic positions. The posterior protects the anterior teeth from the vertical pressure and the anterior protects the posterior teeth from the lateral pressure. Occlusion being highly diverse, it is one of our roles as dental technicians to understand this complex mechanism of movement and the pathway of the temporomandibular joint (mandibular movement) and dentition (occlusal compass) and reect it in the daily work of the production of prostheses.

Figs. 1a & b: Natural waxing-up technique (a) by dental technician Dieter Schulz and sequential functional occlusion (b) by Prof. Rudolf Slavicek.

Figs. 1a & b: Natural waxing-up technique (a) by dental technician Dieter Schulz and sequential functional occlusion (b) by Prof. Rudolf Slavicek.

Uniting the functional and aesthetic considerations

A 50-year-old female patient with severe peri-implantitis came to our laboratory with the desire for a functional and aesthetic restoration (Figs. 2a & b). Our treatment plan was to address the severe peri-implantitis, to place new implants and, ultimately, to improve the overall aesthetics. For the implementation of the treatment plan, our first step was complete occlusal reconstruction with Zolid FX Multilayer (Amann Girrbach), except for the mandibular anterior teeth. It is important to collect as much patient information as possible for such an extensive occlusal reconstruction. Therefore, we used the CADIAX system (GAMMA Medizinisch-wissenschaftliche Fortbildungs-GmbH) to obtain the jaw movement data. The facebow transfer data, in combination with the Artex CR (Amann Girrbach) and the CADIAX data, is necessary to reproduce the jaw movements with the virtual articulator (Figs. 3a & b).

Figs. 2a & b: Initial situation with severe peri-implantitis.

Figs. 2a & b: Initial situation with severe peri-implantitis.

Figs. 3a & b: Extensive patient data was obtained using the facebow and transfer to the Artex CR.

Figs. 3a & b: Extensive patient data was obtained using the facebow and transfer to the Artex CR.

During the design, I concentrate on a few key points, which I finally check with the virtual articulator. The most important points are the occlusal supporting surfaces, such as the posterior tooth areas, which are important for support during intercuspation and stabilisation of the vertical dimension. They protect the joints from compression and the anterior teeth from overloading.

Based on this information, I consider the natural waxing-up technique and sequential functional occlusion to be particularly suitable. With the virtual articulator, I control all the jaw movements in all directions (Fig. 4). The canines are important because they protect the posterior teeth from overloading. The guiding angle of the canine should be coordinated with the craniomandibular system and should not affect the posterior teeth. The anterior teeth are important for speech, for function with the lips and, of course, for aesthetics—a natural smile. To recreate the original patient situation, I use 2D and 3D images for excellent orientation (Figs. 5a & b).

Figs. 4a & b: The virtual articulator is filled with CADIAX data.

Figs. 4a & b: The virtual articulator is filled with CADIAX data.

Figs. 5a & b: 2D and 3D images, combined with the design, are the perfect base for recreating the patient situation.

Figs. 5a & b: 2D and 3D images, combined with the design, are the perfect base for recreating the patient situation.

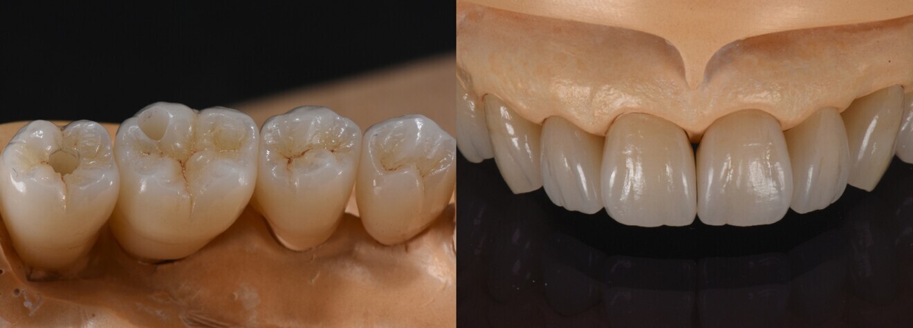
With the Ceramill Motion 2 (Amann Girrbach), I obtain satisfactory milling results, but if I want to achieve more surface structure with higher aesthetic results, I treat the surfaces manually. I select my tools carefully because it is essential to avoid chipping, cracking and contamination of the zirconia during this procedure (Figs. 6a & b). The manual surface treatment produces beautiful small details and morphologies for a natural appearance. These include perikymata and transverse ridges, which are needed for anterior teeth morphologies.

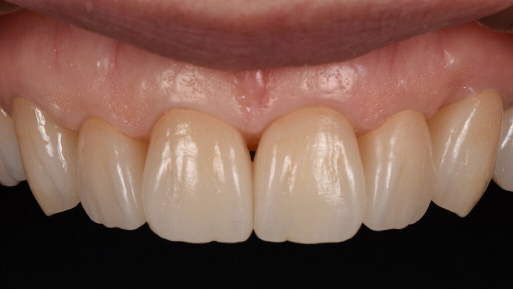
After sintering, I obtain the perfect basis for the finish (Figs. 7a & b). The occlusal contacts are polished by hand before glazing. For a natural shine, I finally set the last accents with staining and glazing. From my point of view, the greatest advantage of Zolid FX Multilayer is that I can produce the digitally designed form precisely. Especially in these complex cases, I want as little post-processing as possible (Figs. 8a & b).

Figs. 6a & b: Beautiful surface results after manual surface treatment.

Figs. 6a & b: Beautiful surface results after manual surface treatment.

Figs. 7a & b: The surface structure can still be seen after sintering.

Figs. 7a & b: The surface structure can still be seen after sintering.

Figs. 8a & b: For a natural shine, I set the accents with staining and glazing.

Figs. 8a & b: For a natural shine, I set the accents with staining and glazing.

Finally, I would like to have canine guidance with no disturbing contacts in laterotrusion and protrusion. These movements are reproduced correctly in the same way as I designed them in virtual Artex CR (Figs. 9a & b). The coordinated workflow from the manual articulator to the virtual articulator is simply ingenious and facilitates my daily work. This only works successfully if the manufacturer coordinates both the articulator and the CAD/CAM system, which has been done successfully for these products.

Function is a major part of my daily laboratory life, and I am very thankful that the virtual implementation of function in combination with effcient materials makes my work much easier. From my point of view, zirconia, especially Zolid FX Multilayer, is ideal, as it combines high aesthetics with strength (Figs. 10a & b). Zirconia also has disadvantages; for example, if the crown is incorrectly stressed, this can lead to periodontitis or problems with preparation or the condyles. Therefore, our job as dental technicians requires that we consider occlusion and function.

I would like to thank my clients who provide me with exciting work every day.

Figs. 9a & b: The perfect occlusal surfaces and canine guidance control during jaw movement.

Figs. 9a & b: The perfect occlusal surfaces and canine guidance control during jaw movement.

Figs. 10a & b: Highly aesthetic and functional result.

Figs. 10a & b: Highly aesthetic and functional result.

Editorial note:

This article was published in digital—international magazine of digital dentistry vol. 3, issue 3/2021.

Tags:
To post a reply please login or register
advertisement
advertisement