BERKELEY, Calif., U.S.: Scientists have been puzzled by the evolutionary adaptation behind a common tooth trait of northeastern Asians and Native Americans: shovel-shaped incisors. An analysis of archeological specimens carried out by researchers from the University of California, Berkeley has shown that nearly all early Native Americans had shoveled incisors, and genetic evidence pinpoints the selection to a long period of isolation in the far north 20,000 years ago.
The critical role that breastfeeding plays in infant survival may have led, during the last ice age, to common genetic changes in East Asians and Native Americans that also affect the shape of their teeth. According to the researchers, this genetic mutation, which probably arose 20,000 years ago during a period referred to as the Beringian standstill, increases the branching density of mammary ducts in the breasts, potentially providing more fat and vitamin D to infants living in the far north, where the scarcity of ultraviolet radiation makes it difficult to produce vitamin D in the skin. It just so happens that the gene controlling mammary duct growth also affects the shape of human incisors.
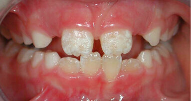
Consequently, as the genetic mutation was selected for in an ancestral population living in the far north during the last ice age, shovel-shaped incisors became more frequent too. Incisors are called “shovel-shaped” when the lingual and palatal surfaces of the incisors have ridges along the sides and incisal edge.
For the study, Dr. Leslea Hlusko, an associate professor in the Department of Integrative Biology at the university, and her colleagues assessed the occurrence of shovel-shaped incisors in archeological populations in order to estimate the time and place of evolutionary selection for the trait. They found that nearly 100 percent of Native Americans prior to European colonization had shoveled incisors, as do approximately 40 percent of East Asians today.
The genetic mutation responsible for shoveling and ductal branching in mammary glands is also involved in determining the density of sweat glands in the skin and the thickness of hair shafts. As a consequence, selection on one trait leads to coordinated evolution of the others.
The Beringian standstill describes the several thousand-year period of isolation of ancestral Native Americans in an area known as Beringia—today consisting of the Bering Strait and adjacent parts of Siberia and Alaska—that resulted in genetic differentiation from other Asian groups. Genetic studies of animals and plants from the Beringia region suggest an isolated area during that time where species with locally adaptive traits arose. Such isolation is suitable for selection on genetic variants that make it easier for plants, animals and humans to survive.
“People have long thought that this shoveling pattern is so strong that there must have been evolutionary selection favoring the trait. This Beringian population is one example of what has happened thousands of times, over millions of years: Human populations form, exist for a little while and then disperse to form new populations, mixing with other groups of people, all of them leaving traces on modern human variation today. An important take-home message is that human variation today reflects this dynamic process of ephemeral populations, rather than the traditional concept of geographic races with distinct differences between them,” said Hlusko.
The study, titled “Environmental selection during the last ice age on the mother-to-infant transmission of vitamin D and fatty acids through breast milk,” was published on April 23, 2018, in the Proceedings of the National Academy of Sciences of the United States of America.
DIAMANTINA, Brazil: New research from Brazil has suggested that perinatal factors, such as breastfeeding, are closely associated with the development of ...
BINGMANTON, NY, USA: Eight small teeth found in an Israeli cave raise big questions about the earliest existence of humans and where we may have originated,...
LE CHÊNE, France: Archaeologists have discovered a 2,300-year-old iron pin in place of an upper incisor at a La Tène burial site in Le ...
Losing teeth is part of childhood. For adults, however, missing molars or broken incisors require a man-made solution in the form of dentures or implants. ...
Live webinar
Thu. 14 May 2026
9:30 pm IST (New Delhi)
Live webinar
Thu. 14 May 2026
11:30 pm IST (New Delhi)
Prof. Hani Ounsi DDS PhD FICD
Live webinar
Tue. 19 May 2026
8:30 pm IST (New Delhi)
Live webinar
Tue. 19 May 2026
10:30 pm IST (New Delhi)
Prof. Dr. med. dent. Ivo Krejci
Live webinar
Wed. 20 May 2026
4:30 pm IST (New Delhi)
Dr. Graham Carmichael BDSc (Hons), DClinDent (Pros), FRACDS, Dr. Robert Gottlander DDS
Live webinar
Wed. 20 May 2026
6:30 pm IST (New Delhi)
Live webinar
Wed. 20 May 2026
10:30 pm IST (New Delhi)
Prof. Dr. med. dent. Tim Joda PhD, MSc, eMBA
To post a reply please login or register