Search Dental Tribune

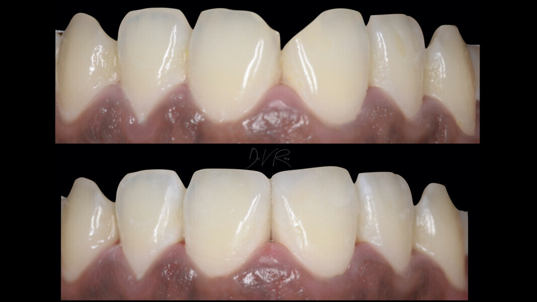
Class 4 Build-up in Adjacent Teeth Using Modified Putty Technique: Dr Varsha Rao

advertisement
advertisement