It took five years of research for Drs. Vivek Patni and Sheetal Potnis to develop Favex – a maxillary expander appliance that is versatile, indigenously developed, and manufactured. This interview explores the journey of their latest innovation.
Rajeev Chitguppi: Congratulations on creating the Favex maxillary expander. Let's start from the basics. What’s a skeletal maxillary expander?
Sheetal Potnis: In orthodontics, maxillary expansion is a century-old modality to gain space. Orthodontists frequently expand the maxilla to correct certain types of malocclusion. The expansion is usually done during the growing age when the palatal suture has not matured. Over a period, the side effects of tooth-borne expanders have been noted. Also, the limitation that expanders don’t work without accompanied surgical intervention in grown-up patients reduces the utility and acceptance of these appliances. These shortcomings led to the development of mini screw-assisted rapid palatal expanders.
What is the basis of your appliance design?
Vivek Patni: Dr. Benedict Williams has detailed the best anchorage sites as the T Zone concept, which formed the basis of our design. Reading between the lines, we realized it’s all about the anchorage sites where screws are inserted. We studied those sites and published a related paper in 2017 in the Journal of APOS.
What were the issues you felt or faced with other existing designs of expanders?
Sheetal Potnis: There are several schools of thought, and each considers a particular expander design to be better. We thought of designing an appliance that followers of any school of thought could use. The orthodontist has the freedom to decide the design of the appliance based on a patient’s needs rather than modifying his treatment plan to fit an appliance.
What problems has the innovation addressed?
Sheetal Potnis: The treatment planning should be patient-centric rather than appliance-centric, and our design addresses this principle very well. Another practical issue we solved was to limit the requirement of additional equipment and tools to be used along with the appliance that could otherwise make the treatment expensive. Since we already have ‘FavAnchor’ - a popular orthodontic implant system available in many orthodontic offices, it made perfect sense to design an appliance to be used with the same inventory. Being an indigenously manufactured appliance further makes it affordable. Another point is that most adult patients may not have anyone available to activate the appliance or may not be keen to have someone for activating it for various reasons, including hygiene. So we also ensured that the appliance is very easy for the patient to self-activate.
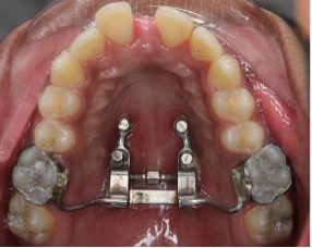
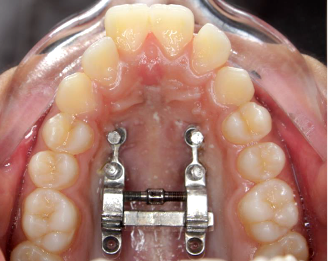
Fig.1 Bone-bone anchored designThe support arms can be temporarily bonded with composite to stabilize the expander for TAD insertion and cut off afterwards
Fig.2 Bone-bone anchored designThe support arms can be temporarily bonded with composite to stabilize the expander for TAD insertion and cut off afterwards
Fig.3 Bone- tooth anchored design: Only 2 anterior TADs and support of molars
Fig.4 Bone- tooth anchored design: 2 anterior TADs 2 posterior TADs and support of molars
Fig.5 Bone- tooth anchored design: 4 anterior TADs and support of molars
Fig.6 Bone- tooth anchored design: 4 anterior TADs 2 posterior TADs and support of molars
How long did it take the innovation from a concept design into a marketable product?
Vivek Patni:: The development of a commodity is a game of patience and diligence. Usually, it takes years to convert an idea into a product. We worked on a few design versions after doing basic research and kept on making alterations as needed. We struggled for 4 to 5 years to get to the final marketable product from the budding idea of creating an expander.
Have you published your research?
Sheetal Potnis: Yes, you can find it at: Potnis SS, Patni VJ, Rengarajan K, Vaid NR. An Innovative Design for a Versatile Maxillary Expander: FAVEX. Journal of Indian Orthodontic Society. 2022;0(0). doi:10.1177/03015742221132057
Have you received any feedback from other experts or colleagues?
Vivek Patni: Senior orthodontic researchers from India as well as abroad have appreciated the design philosophy in personal communications. Experienced clinicians have given positive and encouraging results of patients treated with Favex.
What are your next-level plans?
Vivek Patni: Next, we will take feedback from the users for any improvements needed, which we will learn only after more and more people start using the appliance - this is common with every product. iPhone is now in the 14th version, so it’s a continuous process. We would also make newer appliances to be used with FavAnchor driver and implants to make it a one-stop solution for any implant-based Orthodontics.
Innovators:
Dr. Sheetal Potnis: Orthodontist, Prof and HOD, Sinhgad Dental College, Pune
Dr. Vivek Patni, Orthodontist, Ex Professor and PG Guide, MGM Dental College & Hospital, Mumbai
Tags:
DAMASCUS, Syria: The use of clear aligners in mild to moderate cases of malocclusion has been the subject of numerous studies, particularly as more dentists...
SEOUL, South Korea: Kyung Hee University Dental Hospital has recently signed a business agreement with Osteoid, a developer of 3D medical imaging solutions,...
BURNABY, Canada: The global clear aligner market continues to grow at a rapid pace and looks set to overtake fixed appliances as the most popular ...
In today’s era of digital dentistry – simulations and digital treatment planning can significantly improve the level of communication between the ...
DUBAI, UAE/SYDNEY, Australia: One of the most notable trends in dentistry in 2021 has been the continued rise in popularity of remotely monitored ...
Innovators of 3D-printed activator appliance, Dr. Akshay Parmar and Dr. Krishnakumar Jaju, say that it can be efficient and effective in improving the ...
With so many new tools and systems populating the digital dentistry and smile design space, a beginner often finds himself confused about the different ...
ADELAIDE, Australia: Researchers at the University of Adelaide examined whether an orthodontic treatment has any positive impact on psychosocial outcomes ...
Live webinar
Thu. 14 May 2026
9:30 pm IST (New Delhi)
Live webinar
Thu. 14 May 2026
11:30 pm IST (New Delhi)
Prof. Hani Ounsi DDS PhD FICD
Live webinar
Tue. 19 May 2026
8:30 pm IST (New Delhi)
Live webinar
Tue. 19 May 2026
10:30 pm IST (New Delhi)
Prof. Dr. med. dent. Ivo Krejci
Live webinar
Wed. 20 May 2026
4:30 pm IST (New Delhi)
Dr. Graham Carmichael BDSc (Hons), DClinDent (Pros), FRACDS, Dr. Robert Gottlander DDS
Live webinar
Wed. 20 May 2026
6:30 pm IST (New Delhi)
Live webinar
Wed. 20 May 2026
10:30 pm IST (New Delhi)
Prof. Dr. med. dent. Tim Joda PhD, MSc, eMBA
To post a reply please login or register