Search Dental Tribune

First PMMA prototype for teeth #12–22 based on the original digital proposal that was a bio-copy of the patient’s original maxillary restorations. (All images: Robert A. Lowe)

Tue. 21 March 2023

save

Achieving a successful outcome in aesthetic dentistry can be a formidable challenge for all dental practitioners, regardless of their experience level. The patient describes his or her expectations of treatment to the dentist, who then diligently works with provisional restorations to satisfy those aesthetic desires, only to have to rely on the dental technician (ceramist) to duplicate what the dentist and patient have worked out in the mouth. This process may involve several appointments, adjustments and try-ins until a case can be finalised successfully.

Digital dentistry now offers the dentist many different tools to design and communicate outcomes to the patient and laboratory that can take much of the guesswork out of creating an aesthetic result that the patient will be happy with. For dentists who have been in practice for several years, digital technologies may be difficult to incorporate into their practices because of costs and/or suffering through learning to use these in order to adopt a different workflow from what they are accustomed to. However, every dentist can enter digital dentistry even if taking conventional impressions and interocclusal records as long as the dental technician can scan the impressions or master casts and convert this analogue information into STL files. This article will describe one way to use digital technology in a unique way to close the loop between the patient, dentist and technician with the goal of providing a predictable outcome that saves much of the trial and error and chair time that is typically associated with difficult aesthetic cases.

Fig. 1: Pre-op photograph taken with the EyeSpecial C-III (SHOFU Dental) to convey shade information to the ceramist.

Fig. 1: Pre-op photograph taken with the EyeSpecial C-III (SHOFU Dental) to convey shade information to the ceramist.

Fig. 2: Retracted view of initial provisional restorations made of Tuff-Temp Plus (Pulpdent) after removal of the existing restorations and registration of master impressions and interocclusal records.

Fig. 2: Retracted view of initial provisional restorations made of Tuff-Temp Plus (Pulpdent) after removal of the existing restorations and registration of master impressions and interocclusal records.

Digital smile design and aesthetic communication

The elements of smile design have been taught and applied by dentists for several years. The digital aspect of smile design now allows the dentist and/or dental technician to take preoperative photographs along with conventional impressions and interocclusal records and then to manipulate parameters within software to design potential aesthetic and functional outcomes. Next, this digital information can be programmed into a milling machine to produce a 3D copy or prototype that can be evaluated in the patient’s mouth. The challenge with digital smile design when used solely as a tool for patient presentation is that sometimes a proper evaluation can only be made if the digitally manipulated image can somehow be transferred to the patient’s actual smile. Just because something looks good on a computer screen does not necessarily mean that it will look good and function well in the patient’s oral cavity. Only when the prototype is placed in the patient’s mouth can a realistic aesthetic and functional evaluation be made.1–3

Entering digital dentistry

The first step before starting any aesthetic case is an interview with the patient to establish what the patient wants and what the patient does not like about his or her smile. Digital photographs are taken of the patient’s full face, full smile, teeth in centric occlusion and lips retracted, teeth slightly separated and lips retracted, mouth in the “E” position, and maxillary and mandibular teeth from the occlusal aspect. These photographs will help the patient and dentist discuss what is possible to achieve and help to set the patient’s expectations. Also, photographs with shade tabs will aid the ceramist in choosing an initial shade for the restorations, as well as in making decisions on individual characterisation, such as cervical chroma, incisal translucency and internal effects. One camera on the market designed specifically for dentistry, the EyeSpecial C-III (Shofu Dental), has a particular setting that will isolate the shade of the tooth and shade tab, greying out the rest of the intra-oral structures (Fig. 1). With this information, the ceramist can create custom shade tabs that can be used to verify the final shade prior to fabrication of the definitive restorations. A digital aesthetic proposal for the case is then designed based on the diagnostic and visual information provided.

The digital aesthetic proposal

Using the power of digital design and in-laboratory milling, it is possible to create several versions of potential smile designs that can be milled from PMMA and evaluated in the patient’s mouth for aesthetic approval and functional design. It has been suggested that having a choice between two or three options when making emotional decisions will make someone feel more confident that he or she is making the correct choice.4 Based on this premise, digitally produced PMMA prototypes can be milled and tried in to give the patient a more realistic choice in the emotional part of the decision-making process. This process can save hours of chair time and hit or miss decision-making when adjusting and editing the provisional restorations manually.

The patient featured in the article had chosen to upgrade her 10-year-old porcelain veneer restorations to brighten the shade. The ceramic material was carefully removed with rotary instrumentation and diamond burs down to the original preparations. After minor modifications to gingival margin placement, a master impression was taken using the two-cord impression technique. First, a #00 retraction cord is placed at the base of the gingival sulcus of each preparation. Next, a #1 cord is placed on top of the #00 cord at the level of the preparation margins. When ready to proceed with the impression, the #1 cord is removed, leaving the #00 cord in place. Next, a light-bodied impression material is placed into the gingival crevice around each preparation, and the impression tray with heavy-bodied impression material is put into place over the preparations until set. In this case, the basic shapes and contours of the original restorations were satisfactory for the fabrication of provisional restorations, so a polyvinylsiloxane stent of the original restorations was made before the restorations were removed. After preparation, the stent was filled with a rubberised urethane provisional material (Tuff-Temp Plus, Pulpdent), contoured chairside and luted into place using a flowable composite (Fig. 2).

Fig. 3: Poured master impression.

Fig. 3: Poured master impression.

Fig. 4: Original digital proposal for the case based on the patient’s previous restorations.

Fig. 4: Original digital proposal for the case based on the patient’s previous restorations.

Fig. 5: Occlusal view of the digital proposal, showing the ach form and occlusal design for the case.

Fig. 5: Occlusal view of the digital proposal, showing the ach form and occlusal design for the case.

The master impression was then poured by the ceramist and scanned to create the digital master model (Fig. 3) in STL to be used in the design software to develop the case proposals. From that point, the opposing model was also digitised, as was the bite relationship. The case was then mounted on a digital articulator, and a case proposal was designed for the ten zirconia veneer restorations. The technician can work out canine disclusion and anterior guidance virtually as the restoration contours are shaped and modified in the software (Figs. 4 & 5). Using this finished proposal, PMMA restorations were then milled for both right and left posterior segments (first and second premolars, and canine) and the four maxillary anterior teeth (lateral and central incisors). For the purposes of providing a choice of slightly modified aesthetic parameters for the patient to evaluate, two other proposals were designed by the ceramist for the maxillary incisors with slight variations to the incisal edges, embrasures and surface texture. The plan at the patient’s try-in was to cement the canine–premolar segments with provisional cement. The occlusion and canine guidance built into these segments would not vary in the evaluation; only the three different incisor segments would be looked at and evaluated by the patient.

Fig. 6: Situation after removal of the provisional restorations on the maxillary right side prior to placement of the PMMA prototype restorations.

Fig. 6: Situation after removal of the provisional restorations on the maxillary right side prior to placement of the PMMA prototype restorations.

Fig. 7: Situation after removal of the provisional restorations on the maxillary left side prior to placement of the PMMA prototype restorations.

Fig. 7: Situation after removal of the provisional restorations on the maxillary left side prior to placement of the PMMA prototype restorations.

The patient try-in

The chairside provisional restorations fabricated at the preparation appointment were removed and the preparations were cleaned with an antibacterial scrub (Consepsis, Ultradent; Figs. 6 & 7). The milled PMMA provisional segments for teeth #15–13 and teeth #23–25 (Fig. 8) were then cemented with provisional cement, and the excess was cleaned from the restoration margins (Fig. 9). The provisional restorations on teeth #12–22 were then removed, and the anterior proposed aesthetic designs were tried in. The first PMMA prototype (Fig. 10) was based on the patient’s preoperative smile design (Fig. 4). Once this prototype was in the mouth, it was apparent that the marginal gingival tissue had been moulded by the contours of the original provisional restorations placed at the time of tooth preparation such that the tissue would not necessarily fill the contours of the milled PMMA provisional restorations at initial placement (Fig. 11). With some time, the gingiva would adapt to the contours of the PMMA prototype once cemented into place.

Fig. 8: Occlusal view of the posterior segments (teeth #15–13 and teeth #23–25) of the original digital proposal milled in PMMA for intra-oral evaluation.

Fig. 8: Occlusal view of the posterior segments (teeth #15–13 and teeth #23–25) of the original digital proposal milled in PMMA for intra-oral evaluation.

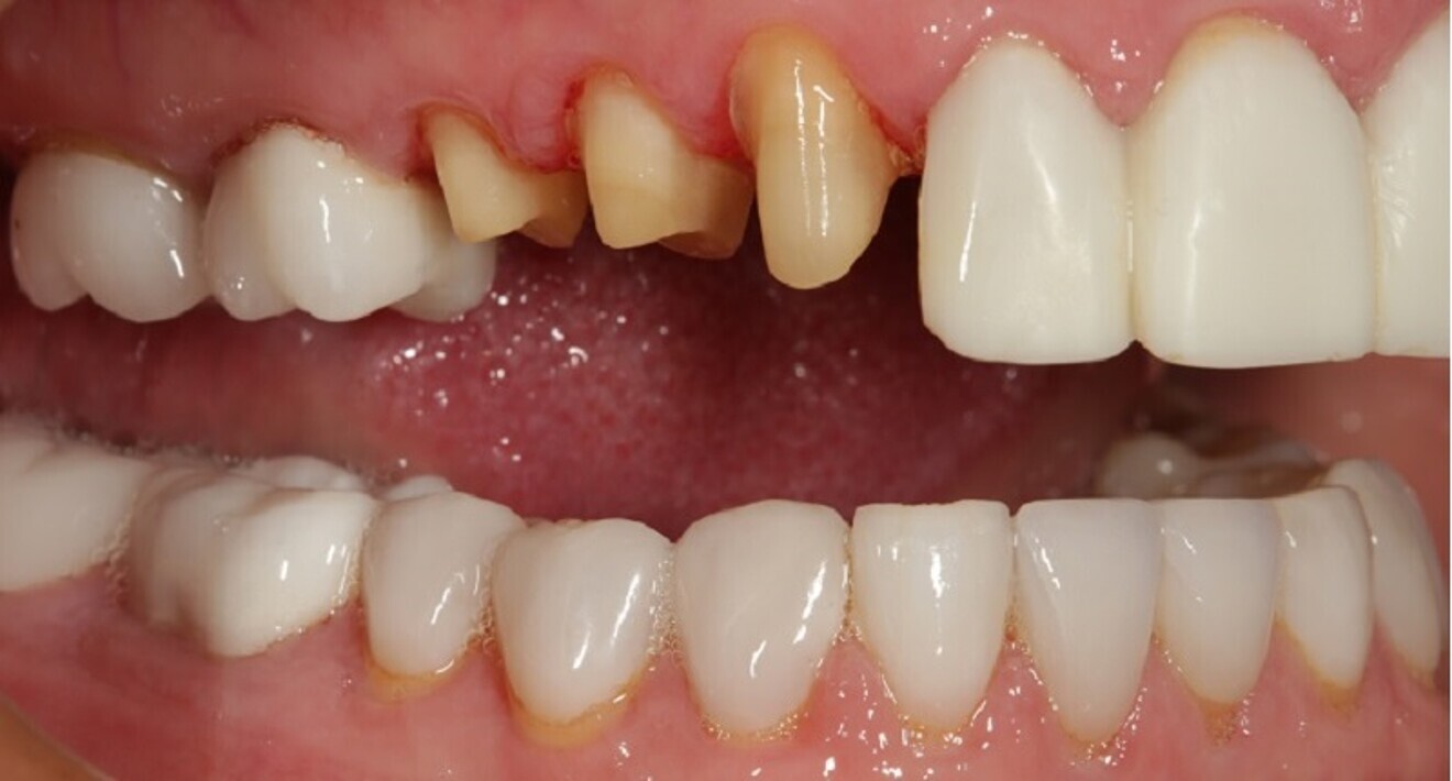
Fig. 9: Posterior PMMA prototypes in place with provisional cement and prepared teeth #12–22 after removal of the provisional restorations in preparation for evaluation of the anterior proposed aesthetic designs.

Fig. 9: Posterior PMMA prototypes in place with provisional cement and prepared teeth #12–22 after removal of the provisional restorations in preparation for evaluation of the anterior proposed aesthetic designs.

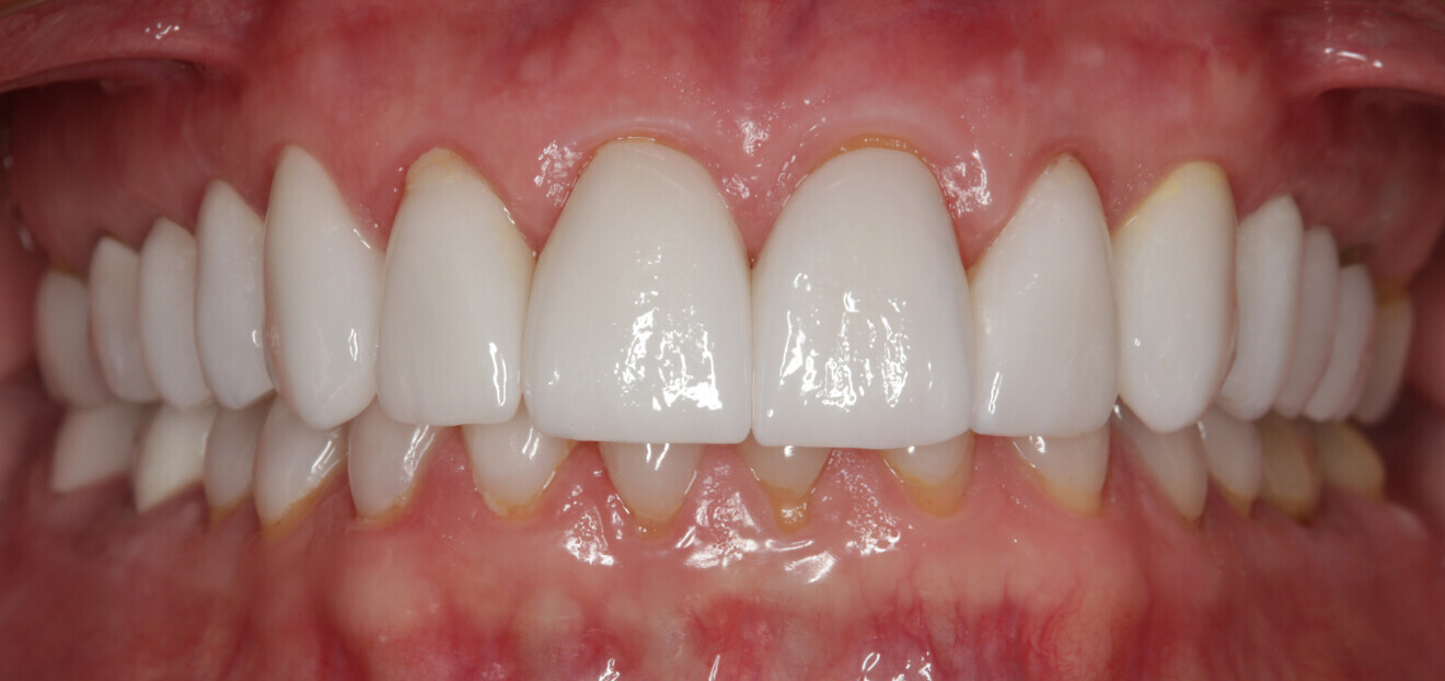
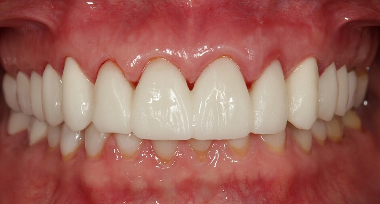
Fig. 10: First PMMA prototype for teeth #12–22 based on the original digital proposal that was a bio-copy of the patient’s original maxillary restorations.

Fig. 10: First PMMA prototype for teeth #12–22 based on the original digital proposal that was a bio-copy of the patient’s original maxillary restorations.

Fig. 11: First PMMA prototype in place. The margin on tooth #12 of the prototype had been trimmed short of the margin in the laboratory during nishing.

Fig. 11: First PMMA prototype in place. The margin on tooth #12 of the prototype had been trimmed short of the margin in the laboratory during nishing.

The second proposal (Fig. 12) was designed to be a bit more angular than the first proposal. Whereas the first proposal had more softened incisal angles and embrasures, like the patient’s original restorations, this second PMMA proposal had incisal angles that were more squared and minor irregularities on the incisal edges to achieve a more natural appearance. The patient was not happy with its appearance (Fig. 13), so this prototype was not considered in the final decision. The third proposal for this case was a combination of the first and second ones (Fig. 14). While the incisal angles and embrasures were softened like in first prototype, the facial surfaces were textured, similar to the second prototype. The patient chose the third proposal as the one to use to mill her definitive restorations (Fig. 15). The prototype is also checked for canine guidance and anterior disclusion and modified, if necessary (Figs. 16 & 17).

Fig. 12: Second PMMA prototype for teeth #12–22. A slightly angular modication of the first prototype gave a more squared-off appearance to the incisal embrasures and angles. Minor irregularities on the incisal edges also added to a more characterised look.

Fig. 12: Second PMMA prototype for teeth #12–22. A slightly angular modication of the first prototype gave a more squared-off appearance to the incisal embrasures and angles. Minor irregularities on the incisal edges also added to a more characterised look.

Fig. 13: Second PMMA prototype in place. Note the reflection of the facial surfaces of the second proposal compared with the first. While the first prototype was smoother in surface texture, the second proposal was more textured to accentuate the individual lobes of the facial surface.

Fig. 13: Second PMMA prototype in place. Note the reflection of the facial surfaces of the second proposal compared with the first. While the first prototype was smoother in surface texture, the second proposal was more textured to accentuate the individual lobes of the facial surface.

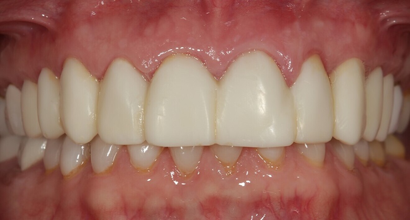
Fig. 14: Third PMMA prototype. A more softened look to the embrasures and incisal angles, with surface texture to delineate the individual lobes on the facial surface.

Fig. 14: Third PMMA prototype. A more softened look to the embrasures and incisal angles, with surface texture to delineate the individual lobes on the facial surface.

Fig. 15: Third PMMA prototype in place.

Fig. 15: Third PMMA prototype in place.

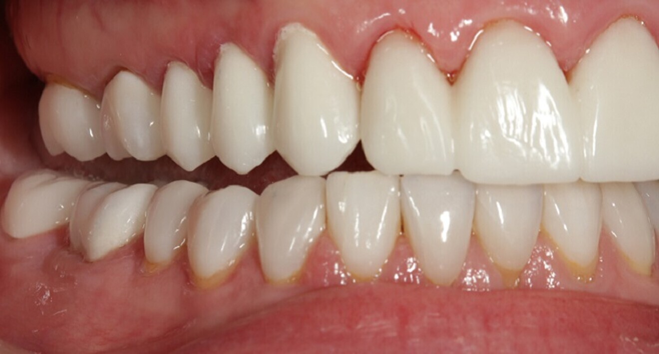
Fig. 16: Anterior guidance and canine disclusion were shown in the right working movement, displaying separation of all posterior teeth.

Fig. 16: Anterior guidance and canine disclusion were shown in the right working movement, displaying separation of all posterior teeth.

Fig. 17: Anterior guidance and canine disclusion were shown in the left working movement, displaying separation of all posterior teeth.

Fig. 17: Anterior guidance and canine disclusion were shown in the left working movement, displaying separation of all posterior teeth.

Next, the PMMA prototype was cemented with temporary cement. At a postoperative visit, full smile lateral and frontal view photographs were taken of the cemented proposal to evaluate aesthetic and functional parameters when the patient was not anesthetised prior to the fabrication of the definitive restorations (Figs. 18 & 19). The patient was then able to take these restorations for a test-drive to verify that she was completely satisfied with the smile design.

Fig. 18: Right lateral view of the patient’s smile, showing the facial surface texture of the PMMA prototype and the incisal plane nicely following the contour of the lower lip. Note the beautiful aesthetic textures of these prototype restorations.

Fig. 18: Right lateral view of the patient’s smile, showing the facial surface texture of the PMMA prototype and the incisal plane nicely following the contour of the lower lip. Note the beautiful aesthetic textures of these prototype restorations.

Fig. 19: Frontal view of the patient’s full smile.

Fig. 19: Frontal view of the patient’s full smile.

Delivery of the definitive restorations

Once the patient gave her approval, the ceramist used the same STL files to mill the definitive restorations based on the third PMMA prototype (Fig. 20). Once the patient was anesthetised, the PMMA prototype restorations were removed, and the preparations cleaned with an antibacterial scrub. Each individual restoration was tried on the respective preparation and evaluated for marginal integrity. Next, all ten restorations were tried on collectively to evaluate interproximal contacts and occlusion. The definitive restorations were milled in zirconia that was cut back to layer on effects. The restorations were first cleaned with a cleaning agent (ZirClean, BISCO) to remove any surface contamination from the try-in phase. After rinsing and drying, the restorations were then treated with a metallic primer (Z-Prime Plus, BISCO) to enhance the bond of resin cement to zirconia. The preparations were etched with 38% phosphoric acid (Etch-Rite, Pulpdent) for 15 seconds and then rinsed with water from an air–water syringe for 15 seconds. After air-drying, the preparations were re-wet with a dentine desensitiser and then the excess was removed with high-volume suction, leaving the preparations visibly moist.

 

Fig. 20: Definitive zirconia restorations on the master model.

Fig. 20: Definitive zirconia restorations on the master model.

Fig. 21: One-week post-op retracted view of the definitive restorations after cementation.

Fig. 21: One-week post-op retracted view of the definitive restorations after cementation.

The restorations were then cemented with resin cement (Embrace Resin Cement, Pulpdent) two at a time, starting with the central incisors and moving distally to the second premolars. As each two restorations were briefly light-polymerised, the resin cement excess was removed with a sable brush and then the restorations were light-polymerised according to the manufacturer’s instructions. Dental floss was used interproximally prior to full polymerising to ensure that the resin cement had been cleared out. Based on the patient’s preview of the three aesthetic proposals and her definitive choice of the third one, the delivery was smooth, and the patient loved the final result (Figs. 21–24).

Fig. 22: Post-op right lateral view of the patient’s completed smile. Comparison with Figure 18 shows how nicely the denitive restorations followed the approved PMMA restorations.

Fig. 22: Post-op right lateral view of the patient’s completed smile. Comparison with Figure 18 shows how nicely the denitive restorations followed the approved PMMA restorations.

Fig. 23: Frontal view of the patient’s full smile once the case was completed.

Fig. 23: Frontal view of the patient’s full smile once the case was completed.

Fig. 24: Superior view of the smile, showing the facial surface texture of the denitive restorations and how nicely they followed the lower lip.

Fig. 24: Superior view of the smile, showing the facial surface texture of the denitive restorations and how nicely they followed the lower lip.

Conclusion

Using digital smile design technologies, the dentist can enter digital dentistry via chairside scanning or through the digital dental laboratory to help design and refine the aesthetic parameters of a case and create PMMA prototypes which the patient can then wear and evaluate to arrive at the final desired aesthetics prior to completion. This step helps ensure patient acceptance and allows the dentist complete confidence that the delivery of the definitive restorations will be a resounding success.

Acknowledgement

The author would like to acknowledge the expertise of master ceramist and digital smile design specialist Vincent Devaud of West Hollywood in California for his beautifully artistic work on this case.

Editorial note:

This article was published in digital—international magazine of digital dentistry vol. 3, issue 3/2022. A list of references can be obtained from the publisher on request.

Tags:
To post a reply please login or register
advertisement
advertisement