Dr. Nisha Damle Deshpande interviews Dr. Jordi P. Manauta of Style Italiano for their front-wing technique developed for diastema closure with direct composites.
Hello Dr. Jordi. Thank you for taking the time to answer my questions.It’s a great honor to be interviewing one of the most brilliant and creative minds in dentistry today.
Thanks for this compliment, I do take it proudly, because it fulfills the goal I have been pursuing over these years. “To reach the hard-working dentists with meaningful and helpful solutions” … I think that as an educator, it is one of the best things that has happened to me.
To start with, what made you think about and transform the currently available diastema closure techniques? The reliability of what we had back then, was at least in my hands, scarce and not very predictable.
It was in 2015 when we were planning one of our hands-on sessions and we were having a hard time closing a diastema on a practice model, despite having all the available resources and an ideal situation to do magnificent extra-oral work. Instead, we always ended up with complicated techniques, strange clinical steps, and ugly restorations.
From that point on… the question was… if we are not able to produce something significant even in a model, are we not missing something? That got us thinking.
Together with clinical experience from the past, that afternoon, we finalized the idea of what we have today. Fast, direct, without wax-up, and without compromising on the quality of the final restoration. The front-wing technique was born.
What techniques were you using for direct diastema closure before? Which one was your favorite technique earlier? I can say, I have tried almost every technique… and all of them worked fine at some point, and at some point, all of them failed. We can divide direct diastema closure techniques into three categories:
Wax-up based
Non-wax-up based (matrix formed and freehand)
Hybrid (wax-up and intraoperative freehand modifications)
I did not have a favorite, but a less detested one, the hybrid technique, where after building the palatal wall with a wax-up, and then reinforcing the cervical area freehand, it was possible to execute the rest of the restoration with the matrix (Fig 1.). Although it was somehow efficient in my hands, it was complex.
Fig. 1: Common troubles with wax-up based techniques, the apical part of the palatal wall is defective.
Fig. 2–4: Common troubles with a classic approach.
Fig. 3
Fig. 4
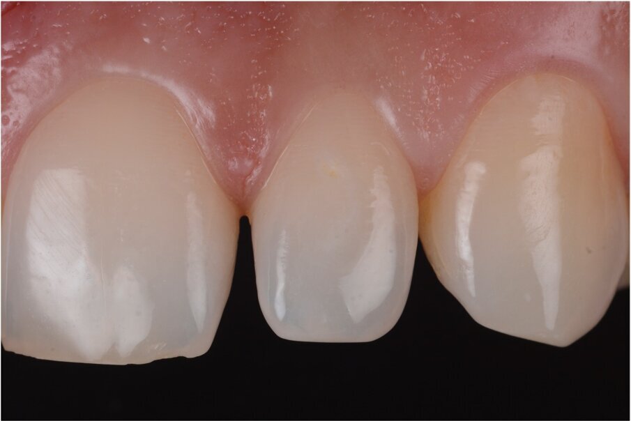
Fig. 5: Perfect emergency profile with front-wing technique. Courtesy of Dr. Jun Iwata, Japan.
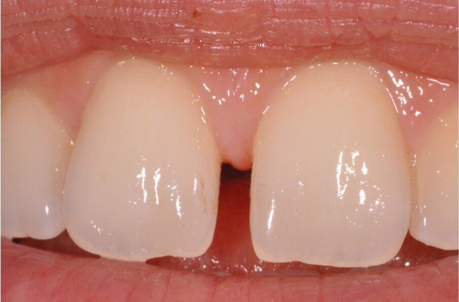
What were the associated problems with the older techniques including the one you used? The greatest problem for the freehand techniques, without a doubt, is the lack of cervical precision and the creation of overhangs. I have seen countless patients with bleeding gums that are not able to floss properly. Another common problem with the classical approach was the final shape. With a double emergence profile, it gave the final restoration an awkward shape (Figs. 2–4). Problems for direct diastema closure exclusively with matrices are the over contouring and the under contouring at the cervical level, discordant contact points, shifted proximal contacts, and massive excess production. To be honest, I have always been discouraged from trying that approach.
How is the new technique solving the old problems? In the following four ways:
You generate RETRACTION with the rubber dam on the most critical area which corresponds to the zenith and emergence profile, impossible to do with any kind of wax-up (Fig. 5).
The freehand construction of the buccal increment created with a stable composite, that follows your direct vision and the appearance of the tooth determines the SHAPE as precisely as a wax-up. In other words, it is a direct wax-up.
The posterior matrices OPTIMIZE the previously built shape and establish the ideal contact point.
The backfilling eliminates all the gaps and creates a perfect SEALING, especially in the most apical part of the restoration.
Let me show two cases.
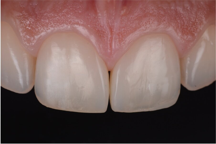
Case 1: Single shade peg lateral (1 hour chair time)
Case 1, Fig. 1.
Case 1, Fig. 2.
Case 1, Fig. 3.
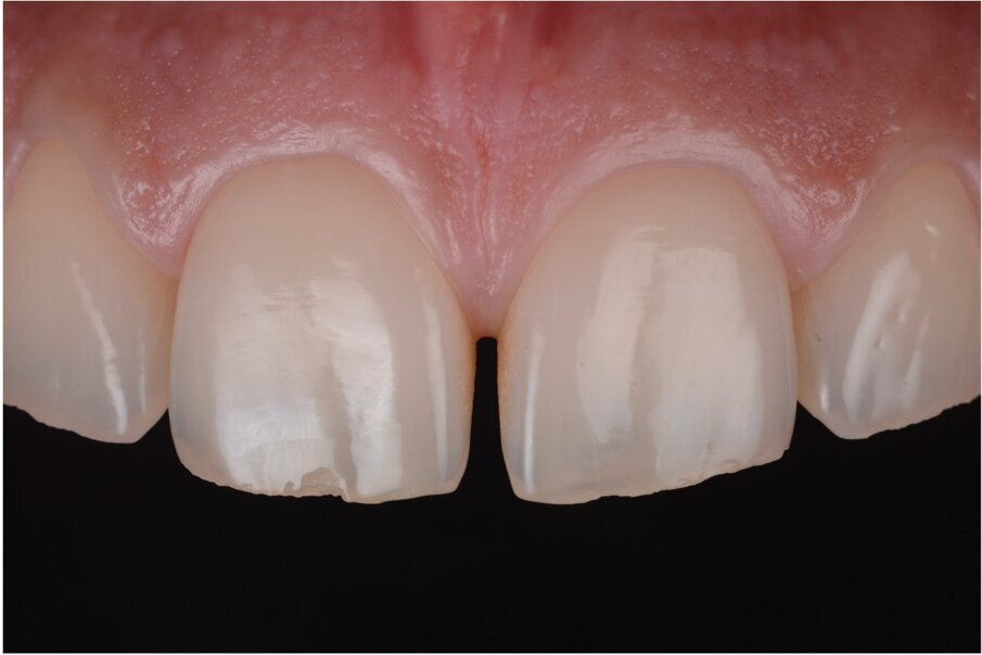
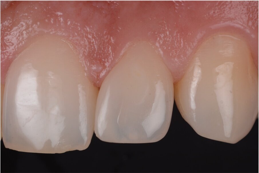
Case 2: Single shade restorations on a micro diastema where wax is not feasible (1 hour chair time)
Case 2, Fig. 1.
Case 2, Fig. 2.
Case 2, Fig. 3.
Can the front-wing technique be used while layering with composites of different opacities like an enamel and dentin shade? A lovely question! The freedom of building up without fearing the palatal defects or the cervical overhangs allows the user to be creative with opacities and characterizations while granting a perfect shape and seal. Even though single shade restorations are the best indication, several shades can be used, and in more configurations than just enamel and dentin. It is possible to place one body shade in the cervical and another body shade in the incisal, or one dentin in the depth and enamel in the surface, or a dentin-body mix. The possibilities are endless.
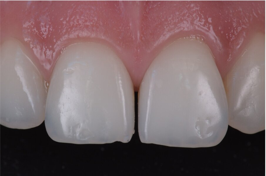
Case 3: Diastema closure, layered with dentin and enamel to match opacity and incisal fractures correction (1 hour chair time)
Case 3, Fig. 1.
Case 3, Fig. 2.
Case 3, Fig. 3.
Do you recommend using any matrix other than the posterior sectional matrices for this technique? If yes, which one, and if no, what can be the potential problems one can encounter? Less is more. In this particular technique, the more complex a matrix is, the more problems we encounter fitting, seating, adapting, and finishing. Many times, all these extravagant anatomies from certain matrices are harmful. A classic matrix here solves universally all of the problems, giving more visibility, providing the perfect anatomy and the best part is that it is inexpensive. As I always repeat to our delegates… “The matrix speaks!”
How have you popularised the front-wing technique? At first, it went viral as an article in www.styleitaliano.org, and like that, became quite popular on our social networks. Many cases by many Style Italiano members and followers have shown several applications and the success of the technique.
In April 2022, our new book Layers 2 will be published by Quintessence, and the diastema chapter contains all the information about the past and present of this technique.
But to be honest, the most satisfactory way of popularising the technique is through the work of the delegates in our workshops. Before the front-wing technique, it was almost impossible to see a good diastema, but when using the front-wing technique 98% of the group consistently gets it perfect, and those few who got it wrong are immediately able to detect where the mistake was made. A true experience in learning.
What has been the feedback and acceptance from clinicians who have applied this technique in their daily workflow? Overwhelming… with phrases such as “Now my life is complete”, “I can’t imagine working without the front-wing technique” or “What was I doing before the front-wing?”. As it became feasible as a daily solution, with no wax-up, no bubbles, perfect contour, and a reliable construction method, it remained in the day-to-day practice of the clinicians. Once people use this method, they don’t go back to other techniques anymore.
Lastly, can you please tell us a little about your association with Style Italiano and the core philosophy of the group? Style Italiano is my love and my life. I am an original member. Our founders Prof. Putignano and Dr. Walter Devoto, at the time, had a clear vision and message and happens to be the same that we spread today: Feasible, teachable, and repeatable.
My role in the group Style Italiano is the “Idea factory”, which came to life with the creation of the group in 2009. Later in the year 2014, it was formally constituted as a company that has filed three patents, owns two color software and has developed more than 30 original instruments and materials with different companies and published five techniques (one of them is the front wing), currently runs a residential and two worldwide educational projects and a new concept in online education.
About Dr. Jordi Manauta
Born in Mexico City, Jordi Manauta graduated with a degree in dentistry from the Technological University of Mexico (UNITEC) with major grants. He continued his postgraduate studies in operative and aesthetic dentistry, earning a master’s degree from the International University of Catalonia (UIC) in Barcelona, Spain. Disciple of Miguel Tames (Mexico City) and Walter Devoto (Italy), he has developed and currently is developing various materials and instruments for aesthetic dentistry, dental calorimetry, and photography in collaboration with international companies. He is visiting lecturer at Siena University and a scientific consultant for two European journals. Dr. Manauta is a member of the Style Italiano study group since 2008. He is the author of the book Layers (Quintessence 2012) and Layers 2 (Quintessence 2022) and is the author and co-author of many publications in international journals, Dr. Manauta is frequently invited as a lecturer in aesthetic and operative dentistry.
As we all know, dentistry is dedicated to understanding the workings of the oral cavity, the maxillomandibular relationship, the repair of tooth decay, the ...
Chennai, India : The 20 Indian Prosthodontic Society (IPS) National post graduate convention was held at Chettinad Dental College, Chennai, on 6 to 8 July ...
NANCHANG, China: Social media adverts for whitening products show celebrities flaunting their pearly whites, putting pressure on consumers to conform to the...
Healthcare workers (HCWs) spend a lot of time up working in close proximity to their patients, which is a high-risk activity. Standard Personal Protective ...
SENDAI, Japan: Periodontitis is a common oral disease that affects the oral health of many people with serious effects. A new research from Japan proposes a...
The US Food and Drug Administration has granted 'Emergency Use Authorization (EUA)' for Gilead Sciences’ antiviral drug remdesivir to treat COVID-19, the ...
OAK RIDGE, Tenn., U.S.: To address the issue of dental restoration failures, researchers have started studying how nanoparticles with antibacterial ...
This editorial describes all the major studies done from 1985 until 2020 and describes the mechanisms by which the body may reduce the effectiveness of a ...
This article aims to remove all the existing confusions on Covid-19 antigen tests. Also, explains the difference between the results obtained from antigen ...
Education
Live webinar Wed. 22 April 2026 8:30 pm IST (New Delhi)
Stanley M. Bergman’s retirement as CEO of Henry Schein marks the end of one of the most influential leadership tenures in modern dentistry and healthcare ...
TIRUCHIRAPPALLI, India: The integration of artificial intelligence (AI) into medical imaging can support diagnosis and reduce clinical workload. A new study...