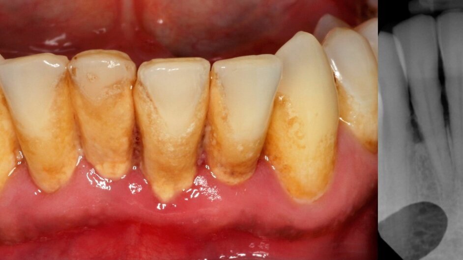
SENDAI, Japan: Periodontitis is a common oral disease that affects the oral health of many people with serious effects. A new research from Japan proposes a novel cell-based regenerative approach, which promises to address & overcome some of the shortcomings and limitations of the regenerative therapies, currently being used for the treatment of periodontitis.
Various treatment approaches, such as guided tissue regeneration (GTR), platelet-rich plasma (PRP), and enamel matrix derivatives (EMD), have been in use for long with success rates that are variable in their ability to regenerate the lost periodontal tissues. A variety of recombinant human cytokines too have been investigated for their ability to stimulate the regeneration of periodontal tissues. However, the above-mentioned regenerative therapies have shown predictable outcomes only in the three- wall periodontal defects. They still remain unpredictable in advanced periodontal defects, where the resident progenitor cells are reduced or destroyed.
Therefore, in order to improve the outcomes and predictability of these regenerative therapies, one should focus on stem cell biology that works on the differentiation of stem cells into PDL, cementum and alveolar bone. For these reasons, the use of stem cell therapy combined with tissue engineering principles has become the focus of research in periodontal regeneration therapies.
Although cell-based therapy using autologous stem cells has been a preferred strategy for the regeneration of periodontal tissues in severe defects, it has its own limitations, to overcome which, the use of allogeneic stem cells has been considered as an alternative strategy for the regeneration of large periodontal defects.
In this study, conducted in collaboration with researchers from Osaka University in Osaka and Fujita Health University in Toyoake, the researchers from Tohoku University in Sendai took stem cells from the adipose tissue of healthy mini pigs and transplanted them into those that had periodontal defects. The mini pig periodontal defect model showed that allogeneic adipose-derived mesenchymal progenitor stem cells (ADMPCs) are safe and effective for the treatment of periodontitis.
The researchers believe that this new approach involving the allogenic stem cell therapy will be faster and cheaper. “The use of cell-based therapies is a promising approach to treat human disease. This kind of treatment paradigm is important because commercially available stem cells that represent a cell-based therapy specifically developed to treat periodontal tissue regeneration will reduce time and cost while improving quality assurance,” said lead author Prof. Masahiro Saito, from the Department of Restorative Dentistry at Tohoku University Graduate School of Dentistry.
“Our study demonstrates that ADMPCs appear to be safe and not triggering an immune response in allogeneic settings, and as such it explores the potential use of allogeneic MSCs for tissue regeneration. The study is a powerful first step towards further development of stem cell-based therapy for the treatment of periodontal disease,” he added.
The study, titled “Periodontal regeneration by allogeneic transplantation of adipose tissue derived multi-lineage progenitor stem cells in vivo”, was published on 29 January 2019 in Scientific Reports.
Tags:
Losing teeth is part of childhood. For adults, however, missing molars or broken incisors require a man-made solution in the form of dentures or implants. ...
PHILADELPHIA, U.S./CHENGDU, China: Periodontitis remains the sixth most prevalent infectious disease worldwide, and the most common cause of tooth loss ...
NANCHANG, China: Social media adverts for whitening products show celebrities flaunting their pearly whites, putting pressure on consumers to conform to the...
RAPA NUI, Chile: Dental implantology experts and the Foundation for Oral Rehabilitation (FOR) have taken a new treatment solution for edentulism to Rapa ...
Every year, more than 400 million tonnes of plastic are manufactured around the globe. Over 300 million tonnes of plastic end up in landfills, with 11 ...
Dental Tribune South Asia pays tribute to Dr Hirji Adenwalla - an eminent cleft lip and palate surgeon who passed away on 27th May 2020. The man, who was ...
In a groundbreaking move, the UK Medicines and Healthcare products Regulatory Agency (MHRA) has approved the use of CRISPR gene editing technology to treat ...
Dr. Nisha Damle Deshpande interviews Dr. Jordi P. Manauta of Style Italiano for their front-wing technique developed for diastema closure with direct ...
WASHINGTON, U.S.: Prevention of dental caries in children is the best way to improve their oral health; however, many patients would be thrilled to have ...
Live webinar
Mon. 11 May 2026
9:30 pm IST (New Delhi)
Live webinar
Mon. 11 May 2026
10:30 pm IST (New Delhi)
Live webinar
Tue. 12 May 2026
10:30 pm IST (New Delhi)
Live webinar
Thu. 14 May 2026
9:30 pm IST (New Delhi)
Live webinar
Thu. 14 May 2026
11:30 pm IST (New Delhi)
Prof. Hani Ounsi DDS PhD FICD
Live webinar
Tue. 19 May 2026
8:30 pm IST (New Delhi)
Live webinar
Tue. 19 May 2026
10:30 pm IST (New Delhi)
Prof. Dr. med. dent. Ivo Krejci
To post a reply please login or register