Dr. Vinay Kumar is a Maxillofacial and Oral Surgeon with a long association with ITI as a scholar and researcher. A renowned clinician, educator, and researcher, who co-directs a private practice called Oral Rehabilitation Center in central Bangalore, focusing on Implant dentistry and oral surgery. He is a consultant at Sri Shankara Cancer Hospital and Research Center, Bangalore, focusing on refractory maxillofacial diseases, maxillofacial reconstruction, and dental rehabilitation. In this article he is interviewed by another ITI scholar and researcher-clinician Dr. Shantanu Jambhekar (MDS, Prosthodontics). The interview also features guest questions from two renowned implantologists – Drs. Udatta Kher and Narayan Venkataraman.
Shantanu Jambhekar: Hi Dr. Vinay, You have a long list of titles and degrees attached to your name, and you must have had a fascinating journey as a maxillofacial surgeon. Can you tell us a little about your journey in the field?
Thanks, Shantanu. Hailing from Kerala and doing my bachelors in Bangalore in 1998, my journey as a maxillofacial surgeon began at Nair Hospital Dental College Mumbai in 2005. The clinical exposure and rotations through various departments in Nair Hospital and my clinical dissertation study at KEM Hospital provided me with a strong foundation of clinical skills. Right from my training days, I was interested in surgical innovation, academic research, meticulous documentation, and follow-up of patients. I would spend considerable time discussing the treatment of rare cases with my seniors, teachers, and professors across various specialties.
After my master’s, I joined as a dental school teaching staff and served as a consultant in multi-specialty hospitals. I spent my daytime operating and free time doing scientific work and articles. By the end of 2 years after postgraduation, I had 5 articles published as the first/ corresponding author in leading international specialty journals, including a new approach to treating large condylar tumors. By then, I was pretty confident in my basic surgical skills, managing a maxillofacial surgical patient and writing case reports and technical notes; but I clearly lacked an international exposure. I was looking at exposure in a high-quality center but needed a scholarship/ funding source to go.
At that time, implant dentistry was just evolving in India, and a senior colleague was kind enough to suggest I look up ITI scholarships. I immediately went through the website and had about 1 week to complete my scholarship application, which I did. Luckily, I got through the center of my choice at the maxillofacial surgery department of the Johannes Gutenberg University of Mainz, Germany. Then began my next phase. The scholarship was a great opportunity for me to hone my research and clinical exposure. I was involved in surgeries and also research. Then I continued in Mainz as a guest faculty and, with the support of my mentors, completed my Dr. med dent (2013) and went on to get a permanent license to practice dentistry (approbation).
I then came across a multidisciplinary MD and Ph.D. program and applied for DAAD funding to complete the program. I was successful in my application and completed the program, and defended my scientific dissertation (2018), which led to the title “Dr. rer. hum” with magna cum laude, following which I completed the MD & Ph.D. program (2019). Months before my examination, I was headhunted and offered a specialist cum researcher at Uppsala University, Sweden, an offer I took without thinking twice. After three years in Sweden, I decided to come back. Now I work as a consultant at Sri Shankara Cancer Hospital Bengaluru, where I operate on complex cases and co-direct a private practice called Oral Rehabilitation Center, specific to oral surgery and implant dentistry.
What made you choose reconstruction and dental rehabilitation after oral cancer/ jaw tumors as your focus of interest?
My dissertation during my PG was the reconstruction of maxillectomy defects using a DCIA (Deep Circumflex Iliac Artery) free flap. It included preoperative, operative assisting, and postoperative management of the patients, literally by their bedside, and arranging funds for their treatment, approaching donors and companies to provide products at reduced rates. As a result, I was the first point-contact doctor for many patients who needed jaw reconstructive surgery.
I realized that Oral Health-Related quality of life was quite dismal even after treatment. Patients often complained of not being able to eat or attend social functions despite complex reconstructive surgeries. One of the main functions of the jawbones is to house teeth, and treatment outcomes without dental rehabilitation remain sub-optimal. I also realized that conventional dental rehabilitation without implant support was not particularly useful. Hence, I saw a tremendous unmet need in treatment outcomes and wanted to focus on this aspect.
You received the Andre Schroeder Prize for clinical research in 2017. Please tell us something about the work that won this award.
This really was a big big deal! Lots of work into it! The result was conceptualized during my scholarship year in Mainz in 2010. I conceptualized a prospective study with patients at the baseline who had segmental mandibular reconstructions. They were to undergo implant-supported dental rehabilitation. We then studied the quality of life outcomes, dental implant prosthetic outcomes, implant stability, marginal bone changes, masticatory function, and peri-implant soft tissue management techniques. The ITI funded the study. We had patients referred to us from colleagues all across the country.
The study had some excellent outcomes. The project led to about 7 publications in leading journals at that time. We saw that implant-supported dental rehabilitation clearly improved all the patients’ Oral Health-Related QoL. That was heartening. We also found new techniques to provide keratinized oral mucosa around implants in reconstructed jaws. Dental rehabilitation of patients with large jaw defects became a predictable procedure and formed a new end goal in the holistic treatment of these challenging patients.
Talking of this, could you please let us know why this technique is called Denture Guided Epithelial Regeneration (DGER)?
Yes, sure. So, in patients with segmental defects of the jaws, bone can be replaced by a composite bony flap such as the fibula, and dental implants and prostheses can replace teeth. However, there is no substitute for keratinized oral mucosa. Keratinized oral mucosa is a specialized tissue that is only present in the mouth, and hence, no donor site can replace its large deficiencies.
Fig 1: Schematic diagram of the DGER technique.
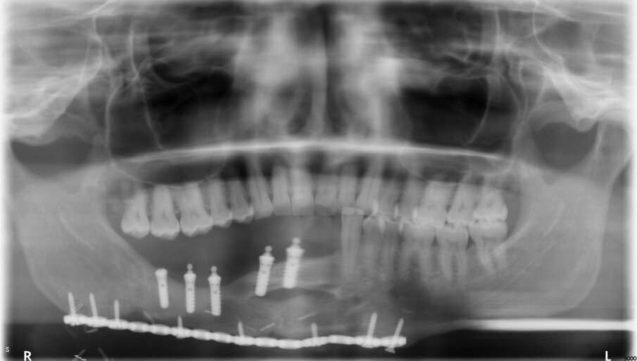
Fig 2: OPG of a patient 9 years following implant supported dental rehabilitation. Stable marginal bone levels are seen.
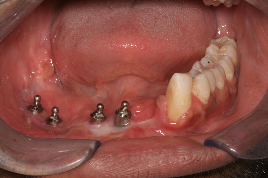
Fig 3: Clinical intraoral picture of the same patient. Note the presence of healthy keratinised mucosa around implants in the mandible reconstructed by the free fibula flap.
Denture Guided Epithelial Regeneration is a technique that recreates peri-implant keratinized mucosa in free flap reconstructed jaws. We now have more than a hundred cases with follow-ups of up to 10 years, showing the success of this technique (Figure 1- 3). Moreover, our proteomic studies involving mass spectrometry and immunohistochemical methods have demonstrated that the regenerated mucosa functionally resembles keratinized oral mucosa.
Currently, the Denture Guided Epithelial Regeneration technique or its variations are being followed in many centers worldwide as the method of choice for peri-implant keratinized oral mucosa in reconstructed jaws.
Does your current work focus revolve around the reconstruction of cancer patients and implants, or do you have new interests now?
Currently, we are doing a 10-year follow-up of these patients to get long-term prospective data. The focus remains on improving dental rehabilitation outcomes in medically compromised patients and “maxillofacial implantology.” With the support of the Oral Reconstruction Foundation, we are prospectively studying implants in oral cancer patients and the effects of radiotherapy. We are already halfway through a study on implants in diabetic patients generously supported by the ITI.
In my hospital-based practice, my focus is on Osteoradionecrosis and Medication-related osteonecrosis of the jaws- and that’s a part of my research activities with Uppsala University. Of course, we are constantly developing our digital planning and one-stage functional jaw reconstruction workflows.
Several young dentists and surgeons look up to people like you for motivation. What is your advice for young dentists and surgeons to achieve great heights in the field?
I don’t want to sound cliché by saying passion, hard work, dedication, patience, determination, ethics, perseverance, etc.
First, it is important to have good academic training, which forms the foundation.
The next is good working relationships with peers. You are shaped very much by the people you associate with. Having good mentors/ friends in the field and industry and having them support you is a blessing. I have been blessed by many, and it is difficult to list all of them in this interview.
Thirdly, funding is important, and receiving support from the government and research organizations helps support research ideas and makes research and innovation possible. I am grateful to have been supported in my education and research by Govt of India, ITI, DAAD, FGD dental, Oral Reconstruction Foundation, and AO Foundation, to name a few. Although such support comes only with a lot of hard work and perseverance, it is definitely worth the effort.
Additionally, I believe interdisciplinary exposure is quite important. I have tried to get an insight and get trained in different disciplines like immunology and regenerative medicine. It broadens your mind while we try to super-specialize in a particular aspect.
Udatta Kher: Dear Vinay, You come from a solid ITI background with sound evidence-based training. The ITI philosophy has been less in favor of post-extraction immediate placements. I’m aware that the ITI is still very guarded about the Socket Shield (PET) technique for placing implants in the esthetic zone. I wish to know your personal take on the technique and whether you feel this is likely to become the most preferred treatment option in the future for indicated cases? What, according to you, are the limitations of this treatment philosophy? And what, according to you, will be the tipping point for a universal acceptance of this technique?
Dear Dr. Udatta, I have always believed that Evidence should form a rock-solid foundation for making treatment choices. However, clinical practice and evolution of treatment strategies are often primarily based on experience, expertise, and the environment. We all know that experience is the biggest teacher - in clinical practice and in most spheres of life. Similarly, expertise comes from managing very many cases and critically analyzing them. The environment is an often-overlooked important factor. I know by personal experience that a university practice in a Swedish university is quite a contrast from running a private practice in central Bangalore. We all know that the results of RCTs might not be equally applicable in both environments.
Regarding PET, I have had close contact with fine clinicians such as Dr. Narayan, who were early proponents of this technique. I remember having intense discussions in study clubs and otherwise, too, and I have been closely following the developments with PET. After your excellent lecture where you showed your long-term results, I recently tried it out on a couple of patients. I am reasonably confident that the results will come out well.
However, I feel there are limited indications for this treatment. I will not try it on an infected or periodontally involved tooth/ dentition, at least for now. Regarding universal acceptance: strictly, is there a universal acceptance for any procedure? We don’t have universal acceptance of so many other things - implant placements, biomaterials, provisionalization techniques, etc.
And yes, PET is being discussed as an option on many platforms.
Narayan Venkataraman: Vinay, I’m sure Udatta would have already asked you about Socket shield and PETs, so I’ll refrain from getting into that. Currently, there’s a lot of impetus towards the total tilt all on X protocols using zygomatic, pterygoid, and nasalis implants for full mouth rehabilitation as well as segmental reconstructions, often discarding the more traditional and therefore better-documented procedures like Sinus grafting, even in younger patients, often with the adequate bone for a more conventional approach, all in the pretext of shorter treatment times and immediate load. Do you see a potential problem with this almost cavalier attitude, considering the far more catastrophe complications of procedures like Zygomatic and Pterygoid implants in the hands of less trained individuals?
Dr. Narayan, you are spot on regarding Dr. Udatta’s question and your concerns. I have used a good number of zygomatic implants, but they are never the first line of treatment for all edentulous cases. They have a limited indication as per my treatment philosophy. They have clear advantages in extremely resorbed/ atrophic ridges. They are also a good option for dental rehabilitation in patients with maxillectomy defects where the zygomatic process and the infraorbital floor are intact. However, providing an oro-nasal closure is essential in these cases, where additional free tissue transfer is often needed. I have not found the need to resort to pterygoid or nasalis implants. Traditional augmentation techniques such as sinus floor and particulate/ block bone augmentation are undeniably my first option in treating most edentulous maxillary cases.
I agree entirely and share your concern regarding training and treatment implementation. One has to have sufficient training before performing advanced surgical techniques. As I have mentioned before, Evidence, experience, expertise, and environment are crucial, especially in advanced procedures. It is essential that a clinician is aware of the risks and possible complications of a procedure and is able to handle complications arising from it.
About Dr. Vinay Kumar:
Dr. Vinay V Kumar, MDS (OMFS)
Dr., Dr. med. dent., Dr. rer hum.
BDS (IND), MDS (IND), DMD (DE), FDS RCS (Ed), MD & PhD (DE)
Dr med. dent: Johannes Gutenberg University, Mainz 2013
FDS RCS Ed: 2018 (Royal College of Surgeons of Edinburgh)
PhD (Dr. rer. hum): 2018 Universitätsmedizin Rostock.
Structured MD and PhD Curriculum; Experimental Immunology: “Jaw tissue Regeneration: Tissue, Cellular and Molecular Processes”
About Dr. Shantanu Jambhekar, MDS (Prosthodontics)
Consultant Specialist Dentist, P D Hinduja Hospital, Khar, Mumbai
Recipient of the prestigious ITI Scholarship from the International Team for Implantology, Switzerland
ITI Short Research Grant for research in Implantology
ITI Education week Program at the Tufts and
Harvard School of Dental Medicine, Boston, USA
Editorial note:
Heartfelt thanks to Drs. Udatta Kher and Narayan Venkataraman for their contribution to this interview
Tags:
Renowned implantologist, great educator, and one of the most sought-after experts in the field of implantology - Dr. Narayan Venkatraman answers questions ...
Dr Udatta Kher has made significant contributions to the field of implant dentistry. He has developed a wealth of clinical evidence on Socket Shield. He has...
The 2019 Dental XP 7th Annual Global Symposium will showcase Global Team Dentistry and highlight the latest strategies in minimally invasive restorative & ...
Retrieval of fractured screws is a frustrating procedure. Dr. Udatta Kher shares his simple technique using which, over the years he has successfully ...
The International Team of Implantology ITI Congress India 2019 presents an excellent opportunity to listen to the global leaders in implantology - Stephen ...
Live webinar
Thu. 14 May 2026
9:30 pm IST (New Delhi)
Live webinar
Thu. 14 May 2026
11:30 pm IST (New Delhi)
Prof. Hani Ounsi DDS PhD FICD
Live webinar
Tue. 19 May 2026
8:30 pm IST (New Delhi)
Live webinar
Tue. 19 May 2026
10:30 pm IST (New Delhi)
Prof. Dr. med. dent. Ivo Krejci
Live webinar
Wed. 20 May 2026
4:30 pm IST (New Delhi)
Dr. Graham Carmichael BDSc (Hons), DClinDent (Pros), FRACDS, Dr. Robert Gottlander DDS
Live webinar
Wed. 20 May 2026
6:30 pm IST (New Delhi)
Live webinar
Wed. 20 May 2026
10:30 pm IST (New Delhi)
Prof. Dr. med. dent. Tim Joda PhD, MSc, eMBA
To post a reply please login or register