Search Dental Tribune

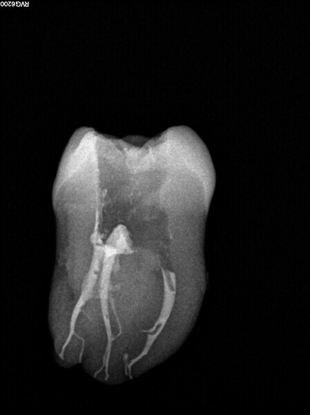
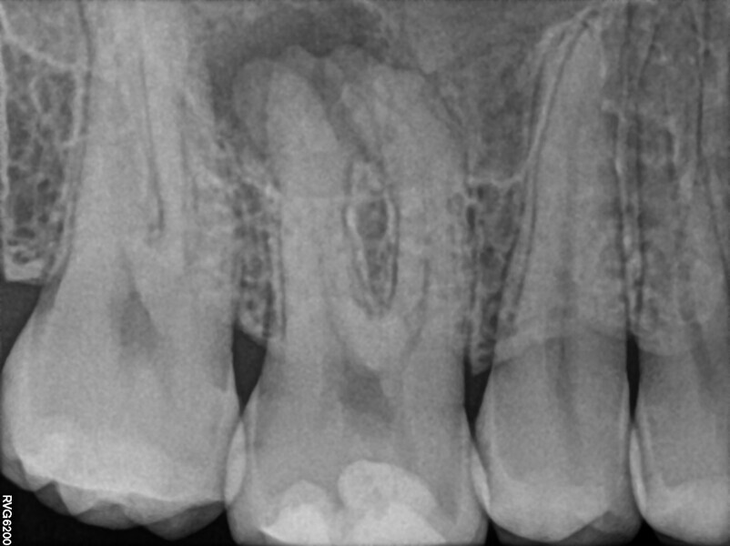
Post-op radiograph of a mandibular molar. (All Images: Bartłomiej Karaś)

Thu. 13 April 2023

save

Lasers were introduced to dentistry in 1965 by Leon Goldman. The first application was a failure because of excessive thermal damage. We can only wonder whether Goldman was aware of the major advancement he had made for the twenty-first century dentistry. More than five decades later, different types of lasers are very commonly used in different branches of dentistry, for tissue conditioning, regeneration, gingival surgery, restorative dentistry, debonding of prosthodontic crowns and bridges, and endodontics.

Since 1974, when Herbert Schilder established his principles of root canal shaping as the main approach to endodontic treatment, almost nothing has changed. We all try to perform root canal shaping procedures to achieve a tapered preparation shape, keep the apical foramen as small as possible and prepare the space for irrigants to perform successive disinfection of the root canal systems. Unfortunately, the root canal shaping procedure does not enable the removal of all the infected tissue from the root canal and using rotary files produces a great deal of hard-tissue debris, which accumulates in isthmuses, fins, ramifications and accessory canals. Although the conventional procedure has drawbacks, so far we have not known of a better procedure.

Various concepts for root canal shaping and irrigation protocols have been introduced that are intended to eliminate the vast majority of the hard-tissue debris. Techniques such as the in and out technique introduced by Grzegorz Witkowski were developed to eliminate much more debris during instrumentation than the most commonly used multiple-stroke mechanical preparation does. Shaping protocols with continuous flow of sodium hypochlorite (NaClO) have also been introduced. Finally, the GentleWave irrigation device (Sonendo) has been introduced, preceded by much less preparation of the root canal space than we are used to.

The introduction of lasers to dentistry was not promising in the very beginning, especially in endodontic treatment. The issue of thermal damage caused by ruby lasers meant that these kinds of lasers could not be used for root canal disinfection. Fortunately, the development of new laser technologies resulted in laser devices suitable for root canal therapy, especially laser-activated irrigation.

In light of the above, I have developed a new shaping and irrigation protocol, the Less-Prep Endo (LPE) concept. In this article, I will discuss the origin of the idea, the first in vitro trials of the LPE concept and cases performed according to this protocol.

The origin

Micro-CT scans allowed clinicians to improve their knowledge about the complexity of the root canal system. This kind of image can help the clinician to understand the network of blood vessels inside the roots, especially in the molars. Comparison of micro-CT scans with radiographs available on the internet reveals that there is a visible difference between the micro-CT scans and the postoperative radiographs regarding the quality of obturation. The most visible difference is in the area of the apical delta and isthmuses between the canals. This difference led us to deduce that, even though root canal therapy procedures are very successful, a great deal of root canal space is not cleaned of hard-tissue debris and filled with obturation material.

Fotona’s SWEEPS (shock wave-enhanced emission photoacoustic streaming) technology is based on a laser pulse with a wavelength of 2,940 nm for a few microseconds. This very short laser pulse creates a great deal of energy, producing bubbles which collide with each other and collapse, creating a shock wave. This concept is described in the literature as the one of the most effective in terms of hard-tissue debris removal and disinfection of dentinal tubules.

In vitro trials (Figs. 1–6)

The first trials of the LPE concept were performed on extracted human molars. Although the dynamics of fluid during root canal irrigation are completely different in vivo than in extracted teeth, these kinds of trials provide initial information about the procedure. Some of these teeth had apices closed with a coat of wax and composite resin to close the apical delta and simulate the periapical tissue. After creation of the access cavity, the pulp chamber was cleaned with continuous irrigation with 5.25% NaClO activated with a SkyPulse laser (Fotona) in AutoSWEEPS mode (20 Hz, 15 mJ). A 25/0.07 reciprocating file (Shenzhen Perfect Medical Instruments) was used to perform the pre-flaring procedure. After opening the coronal third, continuous irrigation with 5.25% NaClO activated with the laser was used to clear the debris for 30 seconds. After removing the debris, a #10 C-PILOT file (VDW) was used to establish apical patency, without forcing the file if possible. In some cases, apical patency was reached already at this stage of root canal preparation. In all cases, the second step of instrumentation was the preparation of the middle third with the same file, and the same irrigation procedure was performed. Subsequently, the C-PILOT file was used to reach the apical foramen. At this stage, apical patency was reached in most cases, but in some roots, there was no possibility of entering the apical foramen. The working length was confirmed with a radiograph with the hand file. Usually, the next procedure to be done is apical preparation, but the LPE concept is based on an enhanced irrigation protocol. Following this protocol, irrigation was performed for 5 minutes with continuous flow of 5.25% NaClO activated with the SkyPulse laser in AutoSWEEPS mode (20 Hz, 20 mJ) with a conical sapphire fibre. The next step was alternating irrigation with 17% EDTA for 30 seconds, with 5.25% NaClO for 30 seconds and with 17% EDTA for 30 seconds, all activated with AutoSWEEPS, followed by irrigation for another 5 minutes with 5.25% NaClO activated with AutoSWEEPS. In most cases, the next step after this stage of enhanced irrigation was the calibration of the apical constriction rather than apical preparation per se, but this step requires further investigation.

LPE sequence:

  1. Pre-flaring up to size 25/0.06 or 30/0.08 (or with your favourite orifice opener)
  2. Irrigation with NaClO with SWEEPS activation for 10–15 seconds
  3. Instrumentation to two-thirds of estimated working length up to size 25/0.06, 25/0.07 or 25/08
  4. Establishing patency with a #10 hand file (if possible at this stage)
  5. LPE enhanced irrigation protocol
  6. Establishing patency with a #10 hand file
  7. Apical preparation (an apical gauging procedure can be useful)
  8. Final irrigation protocol

Apical preparation

During the in vitro stage, different protocols for shaping the apical third were used. In some cases, only the coronal and middle thirds of the roots were prepared; in some cases, apical preparation was performed only with a #15 K-file; and in some cases, the preparation was performed with a 25/0.07 reciprocating file. No significant difference was observed in terms of the apical extrusion of the sealer and the homogeneity of the sealing material, but the sample size was too small to determine definitively whether the LPE enhanced irrigation protocol could replace the apical preparation stage.

LPE concept incorporated into treatment

The in vitro trials and the final radiographs guided my modification of the instrumentation and irrigation protocol in patient cases.

Case 1 (Figs. 7–26)

A 30-year-old female patient was referred to the office for non-surgical retreatment of the maxillary left first and second molars. The retreatment had been started by another dentist, but the case was referred after an unsuccessful attempt at locating the second mesiobuccal (MB2) canal. The CBCT imaging revealed two periapical lesions around the mesiobuccal roots of both molars. The retreatment was divided into two appointments.

At the first appointment, both teeth were opened, the old restorations were removed, all the root canal orifices were located and the first mesiobuccal (MB1), distobuccal (DB) and palatal canals were shaped. In both teeth, the MB2 orifices were located, but the canals were not shaped. The preparation phase was similar to that explained earlier. During the root canal preparation phase, the hand file was used to establish patency after each reciprocating instrument, and the canals were flushed with NaClO activated with the SkyPulse laser in SWEEPS mode for 10–15 seconds. After reaching two-thirds of the estimated working length with the reciprocating files, the LPE enhanced irrigation protocol with the SkyPulse laser was employed. The apical preparation was not performed at this stage. Owing to a lack of time at this appointment, the canals were flushed with EDTA and sterile water, and a 2% solution of chlorhexidine was poured as an intra-canal dressing. Both teeth were closed with temporary composite restorations.

At the second appointment, the temporary restorations were removed, and the chlorhexidine was washed out with sterile water and EDTA. After opening the orifice of the MB2 canal in the first molar, the operator was not able to reach patency in the canal. Therefore, the isthmus between the MB1 and MB2 orifices was opened with diamond-coated ultrasonic tips. Finally, patency was reached. Shaping the MB2 canal in the second molar was possible only to the place of the junction with the MB1 canal. The CBCT imaging had revealed previously that the MB2 canal should have its own lumen in the apical third, but the place of the junction was below the curvature. The possibility of locating this space without damaging the root was very poor. At this stage, the LPE enhanced irrigation protocol was performed again. After performing of the irrigation protocol, the apical preparation was performed for all the canals. The final irrigation protocol was performed with 5 minutes of constant flow of 5.25% NaClO for 2 minutes, alternating with 17% EDTA for 30 seconds, with 5.25% NaClO for 30 seconds and 17% EDTA for 30 seconds, and irrigation with 5.25% NaClO for 5 minutes. All the irrigants were activated with an EDDY sonic tip (VDW). After performing the periapical radiographs, a CBCT scan was performed to confirm the separate path of the sealer that filled previously unprepared spaces of the MB2 canals in both teeth. In both cases, it was clearly visible on the CBCT image that all the previously unprepared spaces were filled with the obturation material.

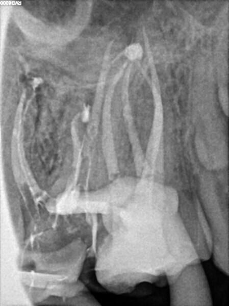
Case 2 (Figs. 27–36)

A 25-year-old female patient presented to the office owing to constant pain related to the mandibular left first molar. Pulp necrosis was diagnosed. After the emergency appointment, the patient was referred for complete treatment. The tooth was treated in the same manner as described in the previous paragraphs. After creation of the access cavity, the orifices were located. In the root chamber, the orifices of the MB, mesiolingual, DB, distomesial and distolingual canals were present. After pre-flaring and preparation of the middle third, the LPE enhanced irrigation protocol with the SkyPulse laser was performed. After the irrigation protocol in the mesial root, the irrigants started to flow between lingual and buccal canals. Such an observation suggested to the operator that some space in the isthmus had been created. It is worth mentioning that at this stage apical enlargement was not performed. Final preparation of all five canals was performed with the reciprocating file, and the final irrigation protocol was performed as in the previous case. The radiograph clearly revealed that the isthmus space was filled with the sealer. The radiograph and CBCT image revealed that there were four portals of exit in the mesial root.

 

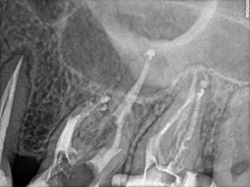
Case 3 (Figs. 37–46)

A 30-year-old female patient presented to the office owing to pain related to the maxillary right first molar. The radiograph revealed a periapical radiolucency, indicating exacerbated chronic periapical periodontitis. The access cavity was created with the Safe Access and Preparation Concept burs set (manufacturer). The pulp chamber was cleaned with 5.25% NaClO activated with the SkyPulse laser. Four orifices were located, and all four canals were shaped in the same sequence described previously. The LPE enhanced irrigation was performed with activation by the SkyPulse laser. In the mesial root, a clean isthmus was visible, and the irrigants started to flow between the MB1 and MB2 canals in the apical third, which was confirmed with a micro-suction cannula. In the MB1, MB2 and DB canals, apical preparation was performed with Endostar E3 Azure files (Poldent) up to size 25/0.04 owing to the apical curvatures. In the DB canal, patency was not established. The final irrigation protocol was performed in the same sequence as described before. The periapical radiograph confirmed that the isthmus was filled with the sealer.

Case 4 (Figs. 47–60)

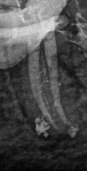
A 35-year-old female patient was referred to the office owing to the lack of patency in the pulp chamber. The periapical radiograph and CBCT image confirmed that the pulp chamber was completely calcified. The calcification of the pulp chamber was removed with diamond-coated ultrasonic tips. After removing the calcification, four orifices were located and shaped in the sequence described previously. The LPE enhanced irrigation protocol with the SkyPulse laser was performed. In this case, the MB2 canal joined the MB1 canal approximately 4 mm before the apex and was shaped only to this length. Apical preparation and irrigation were performed as described previously. The periapical radiograph revealed that the MB2 canal had a separate apical part, which was cleaned with the irrigants and filled with the sealer, and that the palatal canal had two portals of exit.

Discussion

The most important factor in root canal therapy is the elimination of infection by removing the bacterial biofilm and disinfecting the dentinal tubules. From many studies, we know that the antibacterial activity of NaClO is very high; however, its distribution in a very complex root canal space can be insufficient. There are various types of activation devices designed to enhance the penetration of irrigants into the root canal system and promote better disinfection.

It is very important to remember that, during root canal therapy, the clinician has to perform numerous protocols in the proper order and manner to achieve success. The clinician needs to maintain apical patency, remove the hard-tissue debris with rotary or reciprocating files during shaping and flush the canals with irrigants between files. After instrumentation, the smear layer has to be removed, for which the clinician needs to use NaClO and chelating agents. Finally, the dentinal tubules need to be disinfected.

The in vitro trials and in vivo cases, periapical radiographs and postoperative CBCT images demonstrate that the laser activation of irrigants allows the clinician to achieve much better removal of the hard-tissue debris than with the conventional irrigation methods. The LPE concept appears promising in terms of the improved removal of hard-tissue debris. It is important to mention that this is only a clinical observation. The most important part of this observation is a very rapid flow of the irrigants between the root canals located in the same root after the LPE enhanced irrigation protocol with the SkyPulse laser but before apical preparation.

Conclusion

The LPE protocol is a modification of the classic root canal shaping and irrigation protocol and consists of two stages of irrigation and laser activation with SWEEPS technology. According to the postoperative periapical radiographs and CBCT images the number of isthmuses, lateral canals and portals of exit filled with sealer is visibly higher than after conventional protocols. This led us to hypothesise that the amount of hard-tissue debris, infected tissue and necrotic pulp removed is much higher than with conventional root canal therapy. It needs to be underlined that no research has yet been performed comparing the volume of removed hard-tissue debris between LPE and conventional root canal therapy. This concept requires further investigation to prove that this protocol can improve the success rate of root canal therapy.

Editorial note:

This article was published in roots—international magazine of endodontics issue 02/2022.

Tags:
To post a reply please login or register
advertisement
advertisement