I start my editorial journey today as the editor of Endodontics & Biomimetic Dentistry with two topics in mind:
The exploration of biomimetic approaches, delving into the fascinating realm of mimicking nature to restore and enhance dental function! Quite excited and so looking forward.
The science of endodontics is witnessing interesting new developments, where lasers seem to be making a comeback. Should we be looking out for laser-empowered Endodontics? I will cover this in one of my future editorials.
With this new role of writing, I look forward to promoting excellence in dentistry and optimal patient care.
Good endodontics is the foundation for any great dental work. The philosophy and techniques in endodontics have evolved tremendously in the last 30 years, and thanks to more research and advanced CT studies carried out on large samples, we are now aware of the vast and complex possibilities of the internal anatomy of single-rooted as well as multi-rooted teeth.
The Vertucci classification shows variations in the different anatomy configurations in premolars.
Classification
Configuration pattern
a
Type I
1-1
b
Type II
1-2-1
c
Type III
1-2
d
Type IV
1-2-1-2
e, f, g
Additional types
1-3-2; 1-3; 1-2-3
(Table 1. Vertucci’s classification for premolars)
Fig 1. Vertucci Calssification-Premolars
Variant anatomy is one of the biggest challenges in endodontics that necessitates a better understanding of canal morphology before initiating the treatment. Mandibular premolars are usually single-rooted. The present case shows a variant with two canals.
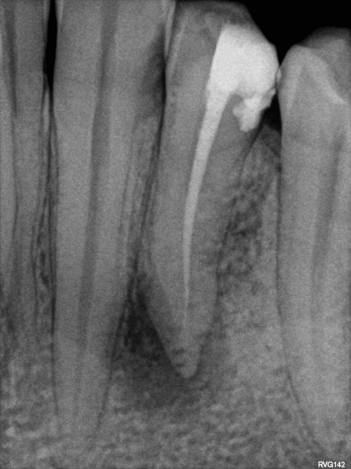
Fig 2: Pre-op radiograph
A patient presented with a large draining buccal abscess that showed a large peri apical lesion with an incompletely obturated canal on the pre-operative intraoral radiograph.
Fig 3. Scan sections
The patient was sent for 3-D imaging (CBCT) for more details and a precise diagnosis.
The CBCT imaging revealed the following findings with tooth 34
A partially endodontic treated 34.
Single root with the canal bifurcating about 10.5mm below the crown to form buccal and lingual canals.
Buccal canal filling short of apex.
Missed lingual canal space noted. A suspected perforation involving the mesial dentinal wall along the mid-canal region (near the bifurcation).
Large periapical lesion measuring 8.0 x 8.0 x 5.0mm perforating buccal plate along with mild external root end resorption. (Figure 3)
Treatment plan
Re-treatment was initiated under magnification with a Dental Operating Microscope that helped us locate the missing canal.
Close examination and canal exploration showed no perforation.
The canal was disinfected under isolation with a 5.5% sodium hypochlorite solution, and a calcium hydroxide dressing was placed for 3 weeks, followed by obturation with a bioceramic sealer by a 3-D obturation technique.
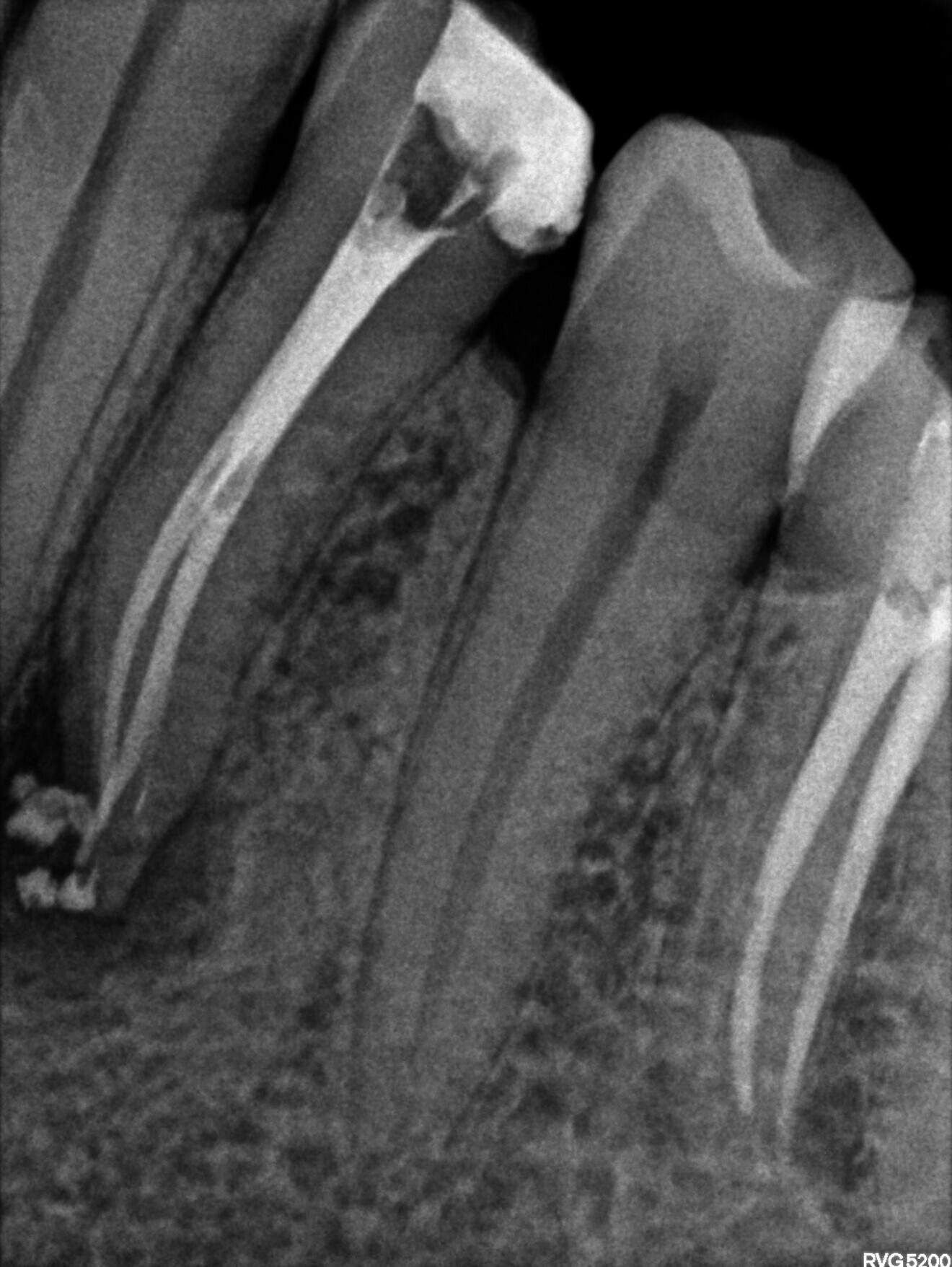
The case can be classified as type 1-3-1 of the Additional group of Vertucci Classification (Figures 4 & 5)
Fig 4. Post-op xray
Fig 5. Lateral exit
Discussion
Literature has documented multiple variations in canal configurations of the lower bicuspid. The current case shows a variation in Vertucci Classification Additional type 1-3-1.
The case was treated and the lingual canal was missed out leading to a large periapical lesion and drainage. 3-D imaging revealed a single root and a missed lingual canal. The internal anatomy was complex, and if you observe the post-operative radiograph closely, it shows the presence of a small lateral canal with an independent exit.
This brings us to discuss the significance of good irrigation protocols during endodontic treatment. Successful filling and sealing of lateral canals depends on good irrigation and disinfection techniques.
Conclusion
This clinical case shows a rare root canal configuration of 1-3-1 and highlights the importance of knowing the variant morphology of a mandibular bicuspid, reminding us that every endodontic case needs full attention to detail on close inspection of the radiographs before making the diagnosis and treatment plan.
Sound knowledge of anatomical variations in anatomy is essential for excellent clinical outcomes. A combination of knowledge, tactile sensation, good radiographic technique, 3-D imaging, followed by magnification, perfect isolation, and irrigation, along with adequate 3-D sealing of the canals lead to successful endodontic outcomes.
References
Kottoor J, Albuquerque D, Velmurugan N, Kuruvilla J: Root anatomy and root canal configuration of human permanent mandibular premolars: a systematic review. Anat Res Int. 2013, 2013:254250. 10.1155/2013/254250
Patel S, Brown J, Pimentel T, Kelly RD, Abella F, Durack C: Cone beam computed tomography in endodontics – a review of the literature. Int Endod J. 2019, 52:1138-52. 10.1111/iej.13115
Low JF, Dom TNM, Baharin SA: Magnification in endodontics: a review of its application and acceptance among dental practitioners. Eur J Dent. 2018, 12:610-6. 10.4103/ejd.ejd_248_18
Albuquerque D, Kottoor J, Hammo M: Endodontic and clinical considerations in the management of variable anatomy in mandibular premolars: a literature review. Biomed Res Int. 2014,
ATHENS, Greece: The ROOTS SUMMIT organisers are pleased to announce that online registration for the endodontic meeting is now open. This highlight event ...
Lasers were introduced to dentistry in 1965 by Leon Goldman. The first application was a failure because of excessive thermal damage. We can only wonder ...
Dr. Prashant Hatkar MDS (Cons & Endo), Accredited Member, American Academy of Cosmetic Dentistry (AACD); Certified Member, European Society of Cosmetic ...
The first guest editorial of the new year 2022 comes from Dr. Praveen Arany, Dept of Oral Biology, Surgery and Biomedical Engineering, University at ...
State of the art dentistry is all about providing atraumatic and minimally invasive dental treatments to the patients, while improving the clinician's ...
Fear and anxiety are common problems seen in dentistry, esp. with oral surgery and root canal treatment (RCT). Fear and anxiety can affect the heart rate ...
Education
Live webinar Wed. 22 April 2026 8:30 pm IST (New Delhi)
Stanley M. Bergman’s retirement as CEO of Henry Schein marks the end of one of the most influential leadership tenures in modern dentistry and healthcare ...
TIRUCHIRAPPALLI, India: The integration of artificial intelligence (AI) into medical imaging can support diagnosis and reduce clinical workload. A new study...
To post a reply please login or register