The main thing in any dental treatment is to sustain the perfect occlusion. It could be centric or retruded. But I think we need to stress upon the Myocentric.
Myocentric occlusion is the occlusal relationship between mandible and maxilla that minimizes the need for muscles accommodation and posturing, and allows normal decompression of neural and vascular intra capsular tissue and associated connective tissue. It provides the optimal condylar position that we strive to achieve in a gnathic system that may have become pathologic due to previous condylar positional discrepancies leading to TMD (Tempero-mandibular dysfunctions).
This can be explained only with the help of an actual knowledge in the sciences of Neuromuscular Dentistry (NMD). The science of NMD is well chronicled in hundreds of scientific articles and textbooks including past anthologies.
Tempero-Mandibular Joint Disorders (TMD) is most commonly the result/cause of mal-occlusion of teeth. The masticatory muscles, which position and connect the mandible to the skull, should be the focal point of correct occlusion. Occlusion is maintained by the activities of these masticatory muscles which are controlled by neural integration of the feedback from peripheral proprioceptors and the reflex mechanism from the CNS.
In simple words, bite registration decides the fate of the patient. If taken correctly, he’s going to be the happiest patient. The smallest occlusal discrepancy would transform the perfectly normal TMJ complex into a TMD, hence leading the patient to headaches, neck aches, migraine, etc. These patients then visit the ENT specialist, the neurosurgeon, the orthopedician, etc., for treatment of these aches but to no avail. Almost 80% of patients end up with TMD as a result of that discrepancy and suffer the agony and would need to depend on medicines all their life.
Dental Occlusion is the focal point of our posture.
Centric occlusion (CO) and centric relation (CR) are terms that have always ended up pushing the mandible upward and backward. But for a TMD patient, isn’t it that very same CO that has led to the problem? What all we do, to try and coerce that patient into CO….the Dawson’s technique, the forced swallow technique, the hand in mouth technique! Have you ever given it a thought that while forcing the patient to bite into that CO, you may be actually pushing the mandible, and hence the condyles, backward and upward into the retrodiscal pad of the glenoid fossa?
That CO may only be his habitual occlusion, which his body may have self repaired to compensate for that small occlusal discrepancy, which we always tend to overlook. The muscles of mastication that act upon the mandible have been trained by our CNS to keep the condyles and hence the mandible in that erroneous position to avoid that high point! And that’s how we create TMD!
What is Neuromuscular dentistry ?
How long have few of our patients been suffering from headaches? For how many years have they been popping those anti migraine pills? Does their snoring disturb those sleeping with them or even those in the next room?
The field of medicine has always involved reasoning. For every problem that patients suffer from - the headaches (HA)/neck aches(NA)/migraine/snoring/interrupted sleep/excessive daytime sleepiness - there is a cause.
Most of all uncured headaches/neck aches/disturbed sleep is caused due to a simple malpositioning of your lower jaw, the mandible. The malpositioning happens as a result of erratic chewing habits, such as single side eating (due to missing teeth on the other side), failed prostheses, wrong breathing habits or even failed orthodontic treatment. These would lead to an error in the way our lower teeth are supposed to occlude with the upper teeth. This causes a shift in the mandibular position as the body has to find a solution so that the person can chew his food.
This faulty positioning, changes the way the mandible articulates with the skull; more often than not, pushing it upwards and backwards. The articulation or joint is known as the Tempero Mandibular Joint (TMJ) and the error in it is called Tempero Mandibular Joint Disorder (TMJD OR TMD). Through the sheath of this joint travel important nerves that supply a variety of muscles in and around the head and neck region.
Hence, any constant stimulation of these nerves keeps those muscles in a hyperactive state for long periods, thus causing pain in the area. This neuromuscular pain ends up as the HA/NA that patients suffer.
TMD is treated most successfully by Neuromuscular Medicine/Dentistry (NMD). NMD is done in 2 phases. The first phase is splint therapy. A lower splint is constructed by filling the space between the teeth that is created by the use of a TENS device that relaxes your facial muscles and then the use of a highly sophisticated mandibular tracking device that determines the actual position of your mandible. Once the symptoms are nil, normally after a period of 5-6 months, the splint is removed and the second phase is started, wherein the space is permanently closed by either crown/bridges or orthodontic therapy.
In summary, NMD is the science of occlusion encompassing not only the teeth but the objective evaluation of the status and function of the jaw muscles and joints before, during and after treatment to achieve the optimal result.
Muscle Deprogramming
Deprogramming those muscles of mastication by relaxing them with a TENS device and then scanning with a highly sophisticated mandibular tracking device (Fig. 1), we create the actual occlusion by finding the myocentric occlusion. The difference is that, when the muscles relax, the mandible, more often than not, drops. This exposes the actual physiological Freeway Space at rest, which has been the real culprit all the while, trapping the oral tissues and the condyle.
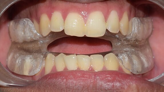
The TENS helps free the mandible from this grip. When the mandible gets free, it has the freedom to move forward. How much forward, is decided by the tracking device. That position is then maintained with a splint (Fig. 2) or jigs or even crown build-ups (Fig. 3) and orthodontic treatments (Fig. 4) and sometimes a tooth colored resin orthotic appliance (fig.5)
TMD is common in deep bites, midline discrepancies, narrow arches, tongue thrusts, etc. These patients invariably suffer from headaches, neck aches, shoulder aches, tinnitus, pain around eyes, migraines, facial asymmetry, etc. 60% of all those uncured headache patients queuing up at the ENT’s clinic are TMD patients. Identify these problems and solve it even without the equipments. For example correct the deep bites by giving crown build ups on either side of the posterior arches after bringing the mandible downward and forward to an inter incisal position with an overbite of 1.5mm and overjet of 1mm.
Another case would be clearing the midline discrepancy by manually shifting the mandible laterally so that the lower labial frenulum is aligned with the upper labial frenulum and train the mandible into that occlusion with the help of an inclined plane. Although, kinesiology would be advised for precision.
Articulated with its opposing tooth, each tooth can be considered a separate occluding skeletal joint. This relates to the position of the condyle in the glenoid fossa which in turn affects the occiput and the cervical spine. Therefore occlusal dysfunctions are orthopedic in nature, representing the terminal end point of the postural chain.
Hence, when the TMD disappears, you can see a marked improvement in his posture and facial symmetry, hence conforming to the golden proportion of that patient. The person becomes attractive and pain-free.
The Airway
Lifestyle diseases are on the rise in the world especially in India where the proportion of the middle class is increasing manifold. Hypertension, cardiovascular diseases, diabetes, increased lipids is just to name a few. We hear about sudden cardiac arrests and related deaths, irrespective of age and sex, very regularly nowadays; especially during sleep. It is also common to hear that these deaths are labeled as myocardial infarctions and that it was unfortunate! But, do you know that 75% of these “unfortunate” deaths could have been avoided if only he/she was diagnosed for a killer disease known as “Obstructive Sleep Apnoea (OSA)”. It is very commonly treated by sleep medicine specialists in the west by both physicians and dentists. But here, in India, even the sleep physicians are finding it tough to get through to the patient due to the lack of awareness.
Now, what is OSA?
It is a self-explanatory term which describes the condition wherein the person isnot able to breathe normally at sleep due to an obstruction in the airway. The upper airway occlusions comprises of the naso-pharyngeal blockages like polyps, adenoids or deviated septums; oro-pharyngeal occlusions like macroglossia or posterior mandibular positioning; velo-epiglotto-pharyngeal occlusions like tonsillitis or a long uvula; or even a large neck circumference (increased BMI). All these press upon the airway, leaving the person gasping for air to breathe. The tongue (the genioglossus attached to the mandible) (Fig.6) is almost always the biggest troublemaker.
During sleep, when our whole body is at rest, the mandible falls backward pulling the tongue along with it, thus obstructing the airway space. This results in lesser oxygen entering the body during sleep. Hence, the heart would need to pump out oxygen-rich blood at a higher pressure. Since, the oxygen intake is at a lower level, the resultant hypercapnia (increase in blood-CO2 level) sends signals to the brain to ask the person to wake up and breathe, saving him/her. Long term apnoea leads to a weak heart killing the person, eventually, during sleep.
First, we need to diagnose the patient. All prospective OSA patients need to undergo a sleep study at night, where they need to sleep one night in a hospital with an ambulatory sleep study machine. The most important reading from this sleep report would be the AHI (apnoea-hypopnea index). The normal level is 3. Currently, all diagnosed OSA patients are treated with a large C-PAP machine which is expensive and has compatibility problems. Patients with AHI of 3 to 70 can be treated with oral appliances and if more than 70 with C-PAP’S (or both) (Fig.7).
The treatment is basically getting rid of these airway occlusions. The patient, at first needs to be cleared by the ENT, for any nasal/throat obstructions. We now need to keep the tongue forward during sleep with adjustable custom made oral appliances. These are constructed by recording the correct bite-registration; which is normally 30% of maximum opening and 70% of maximum mandibular protrusion also checking for adequate muscle facilitation. This helps in keeping the mandible and the attached tongue in a forward position opening up the airway. The C-PAP also works in an almost similar manner by passing positive air pressure through the nostrils, thus opening the airway. However, due to its cumbersome nature, more and more patients are now opting for oral appliances (Fig.9).
Common sleep problems like snoring, night clenching, sleep bruxism, sleep restlessness, restless leg syndrome, sleep talking, somnambulism, disturbed sleep and excessive daytime sleepiness need to be identified.
So, it is time to think about neuromuscular problems and promote treatments with the TENS and K7 therapy for management of TMD issues.
embedImagecenter("Imagecenter_2_2681",2681,"small");
According to a recent study in the Journal of Oral Implantology, there is a strong correlation between OSA and oral prosthetic issues.
This year, the International Dental Show’s (IDS) centenary year, the 40th edition of IDS, the world’s leading trade fair for dentistry, will focus on ...
Dentists’ role in sleep disorders has grown, particularly in the collaborative care of individuals experiencing mild to moderate obstructive sleep apnea ...
Saveetha Dental College, Chennai has not only topped the National Institutional Ranking Framework (NIRF) ranking table in India but has also come on the ...
Dental Tribune South Asia had published on 10th March 2020 - a report on Farr's law, which states that "epidemics tend to rise and fall in a roughly ...
This was a challenging case with the combined issues of a failed root canal therapy and an iatrogenic perforation of the floor of the pulp chamber. Though ...
Artificial Intelligence subsets such as machine learning (ML) and deep learning (DL) aid in recognizing disease patterns from medical data and help us to ...
Dr Ashwini Bhangale (BDS) summarizes the latest updates on the use of masks - from the World Health Organization (WHO), released on 1 Dec 2020 and the ...
A newer, faster, easier, safer option is all set to replace Nitrous oxide in pain & anxiety management in the dental setting.
...
Live webinar
Thu. 14 May 2026
9:30 pm IST (New Delhi)
Live webinar
Thu. 14 May 2026
11:30 pm IST (New Delhi)
Prof. Hani Ounsi DDS PhD FICD
Live webinar
Tue. 19 May 2026
8:30 pm IST (New Delhi)
Live webinar
Tue. 19 May 2026
10:30 pm IST (New Delhi)
Prof. Dr. med. dent. Ivo Krejci
Live webinar
Wed. 20 May 2026
4:30 pm IST (New Delhi)
Dr. Graham Carmichael BDSc (Hons), DClinDent (Pros), FRACDS, Dr. Robert Gottlander DDS
Live webinar
Wed. 20 May 2026
6:30 pm IST (New Delhi)
Live webinar
Wed. 20 May 2026
10:30 pm IST (New Delhi)
Prof. Dr. med. dent. Tim Joda PhD, MSc, eMBA
To post a reply please login or register