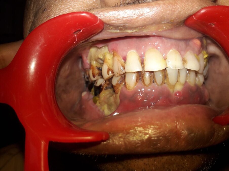
Jawahar Medical Foundation ACPM Medical College and the OMFS department of ACPM Dental College, Dhule, have set up a center dedicated to treat and manage post-COVID mucormycosis cases.
We are witnessing a sudden rise in mucormycosis cases in COVID recovered persons in India, esp in a few states, like Maharashtra and Gujarat.
The current crisis has made it essential to create mucormycosis-dedicated centers and post-operative ICUs to treat and manage the cases effectively.
Jawahar Medical Foundation ACPM Medical College and the OMFS department of ACPM dental college, Dhule, have set up a dedicated center to manage the rising number of post-COVID mucormycosis cases.
The OMFS dept headed by Prof. Dr. B. M. Rudagi has already treated more than 70 post-COVID mucormycosis patients so far.
This is going to be a first-of-its-kind center in Maharashtra with two ventilators, a six-bed ICU, and a hundred-bed general ward.
The center will be managed by a team of experts, including the oral and maxillofacial surgeons and specialists from medicine, ENT, ophthalmology, and the nursing staff.
This initiative has come to fruition under the leadership and guidance of Kunal Patil (MLA), Dr. Mamta Patil, Dr. Sangeeta Patil, and Dr. Arun Doddamani, Dean, ACPM Dental College, Dhule.
Tags:
The Covid-19 pandemic has unleashed a flood of Mucormycosis cases in India. All specialists - the ENT/ ophthalmic/ maxillofacial surgeons, physicians, and ...
BENGALURU – "PEDO CARIE Exploring ECC" is the theme of the 14th Indian Society of Pedodontics and Preventive Dentistry National Postgraduate...
KRIENS, Switzerland: Ueli Breitschmid, founder and long-time CEO of Swiss oral health company Curaden, died during the night of 1 June after a long ...
This article explores how artificial intelligence and augmented reality are revolutionising cosmetic dentistry—especially, how virtual smile previews help...
Every dental practitioner in the world desires a profitable practice. Interestingly, the corner stone of a profitable dental practice is controlling initial...
MILAN, Italy: Since the evidence of oral manifestations linked to SARS-CoV-2 is scarce, researchers have recently set out to fill the gap by investigating ...
NEW YORK, U.S.: In 2019, the Centers for Disease Control and Prevention (CDC) released a statement declaring that Candida auris is an emerging fungus that ...
COPENHAGEN, Denmark: Typically, dental congresses provide an ideal platform for speakers to present and discuss some of their most notable achievements in ...
NEW YORK, U.S.: At the 2019 United Nations General Assembly, a side event, hosted by New York University (NYU) and The Lancet, called for oral health to be ...
Live webinar
Thu. 14 May 2026
9:30 pm IST (New Delhi)
Live webinar
Thu. 14 May 2026
11:30 pm IST (New Delhi)
Prof. Hani Ounsi DDS PhD FICD
Live webinar
Tue. 19 May 2026
8:30 pm IST (New Delhi)
Live webinar
Tue. 19 May 2026
10:30 pm IST (New Delhi)
Prof. Dr. med. dent. Ivo Krejci
Live webinar
Wed. 20 May 2026
4:30 pm IST (New Delhi)
Dr. Graham Carmichael BDSc (Hons), DClinDent (Pros), FRACDS, Dr. Robert Gottlander DDS
Live webinar
Wed. 20 May 2026
6:30 pm IST (New Delhi)
Live webinar
Wed. 20 May 2026
10:30 pm IST (New Delhi)
Prof. Dr. med. dent. Tim Joda PhD, MSc, eMBA
To post a reply please login or register