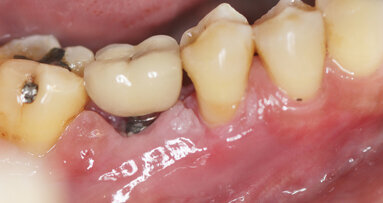
NEW YORK, U.S.: It’s still a debatable question whether antibiotics positively influence the survival of dental implants in systemically healthy patients. A team of researchers from the New York University College of Dentistry, conducted a study recently to determine the efficacy of antibiotic prophylaxis and specific antibiotic regimens for the prevention of postoperative infection (POI) in dental implant placement.
The study included Randomized controlled trials (RCTs) that compared antibiotics versus no antibiotics or placebo for dental implant placement. They considered two types of outcomes. The primary outcomes were early, late or total POI, and the secondary outcomes considered were wound dehiscence, pain and adverse events of antibiotic treatment.
The researchers analyzed a total of 1,022 abstracts and ten RCTs, covering a total of 1,934 patients. All ten RCTs reported no statistically significant difference in POI. Meta-analysis found no statistically significant differences in primary and secondary outcomes between antibiotic and no-antibiotic groups.
The study concluded: “The results of this systematic review suggest that antibiotic prophylaxis may not be indicated for prevention of POIs following dental implant placement in overall healthy patients. These findings and in light of antibiotic-associated risks for individual and public health demand revaluation of routine prescription of antibiotic prophylaxis in dental implant placement procedures.”
The study, titled “Antibiotic prophylaxis may not be indicated for prevention of dental implant infections in healthy patients. A systematic review and meta-analysis,” was published in the April 2019 issue of Clinical Oral Investigations.
Tags:
CHICAGO, U.S.: To combat the menace of antibiotic overprescription of antibiotics that results in the development of antibiotic-resistant bacteria, the ...
GOTHENBURG, Sweden: Even though high survival rates have been reported for dental implants, biological or technical complications affecting the implant, the...
Every year the 31st of May is observed as the World No Tobacco Day around the world to educate people about the ill effects of tobacco and to help them kick...
OAK RIDGE, Tenn., U.S.: To address the issue of dental restoration failures, researchers have started studying how nanoparticles with antibacterial ...
Dr Ashwini Bhangale (BDS) summarizes the latest updates on the use of masks - from the World Health Organization (WHO), released on 1 Dec 2020 and the ...
Rapid Antigen Tests are an easy and economical option for dentists to use in their clinics to identify the potential Covid-19 spreaders visiting their ...
According to a recent study in the Journal of Oral Implantology, there is a strong correlation between OSA and oral prosthetic issues.
This article by Dr Anuj Gandhi and Malvika Gandhi reviews the literature available on the use of Chlorine Dioxide in dental clinics and makes a hypothesis ...
LEIPZIG, Germany: According to the Australian Dental Association (ADA), it could be a year before a successful vaccine to treat the coronavirus becomes ...
A groundbreaking study conducted by researchers at Atatürk University in Turkey has shed light on the far-reaching impacts of early childhood caries...
Live webinar
Tue. 12 May 2026
10:30 pm IST (New Delhi)
Live webinar
Thu. 14 May 2026
9:30 pm IST (New Delhi)
Live webinar
Thu. 14 May 2026
11:30 pm IST (New Delhi)
Prof. Hani Ounsi DDS PhD FICD
Live webinar
Tue. 19 May 2026
8:30 pm IST (New Delhi)
Live webinar
Tue. 19 May 2026
10:30 pm IST (New Delhi)
Prof. Dr. med. dent. Ivo Krejci
Live webinar
Wed. 20 May 2026
4:30 pm IST (New Delhi)
Dr. Graham Carmichael BDSc (Hons), DClinDent (Pros), FRACDS, Dr. Robert Gottlander DDS
Live webinar
Wed. 20 May 2026
6:30 pm IST (New Delhi)
To post a reply please login or register