Traditional treatments for periodontal bony defects typically have struggled to effectively address horizontal bone loss, which was previously not amenable to grafting. This article summarizes a recent publication by our group that evaluated a new technique called Contour Augmentation for Periodontal Defects (CAPD) that offers an innovative approach to overcome the aforementioned challenge.
Periodontitis, an inflammatory disease, poses significant challenges for dental professionals due to its known damaging effects on the soft tissue and the supporting bone around teeth. Common parameters of this condition include loss of attachment, bone loss, deep periodontal pockets, and bleeding gums. Traditional treatments for the bone defects caused by periodontitis typically focus on categorizing the defects into suprabony (above the bone) and infrabony (within the bone) types. However, these conventional treatments have struggled to effectively address horizontal bone loss, which was not previously amenable to grafting. A new technique called Contour Augmentation for Periodontal Defects (CAPD) offers an innovative approach, particularly for cases involving horizontal bone loss, by enabling grafting on the buccal aspect.
The objective of this article thus is to expose the readers to a new perspective on treating such periodontal defects which previously left general dentists and specialists grappling for long-term solutions.
We recently published a 1-year prospective cohort analysis of CAPD in the prestigious ‘International Journal of Periodontics and Restorative Dentistry” journal. Read it here
The primary objective of this study was to evaluate the effectiveness of CAPD in treating horizontal bone loss. This technique involves using deproteinized bovine bone mineral (DBBM) and a collagen membrane to augment the buccal bone, aiming to improve periodontal health and stability in the affected areas.
Description of study:
The study involved 30 patients who exhibited horizontal bone loss on at least two adjacent teeth. These patients were divided into two groups of 15 each. Group A, the test group, underwent open-flap debridement (OFD) combined with DBBM and a collagen membrane, while Group B, the control group, received only OFD. The parameters measured in this study included bleeding on probing (BOP), clinical attachment level (CAL), probing depth (PD), gingival recession (GR), the width of keratinized mucosa (WKM), the thickness of keratinized mucosa (TKM), and the thickness of the labial cortical plate.
Before surgery, all participants received phase I periodontal therapy. During the surgical procedure, a full-thickness flap was reflected to expose the affected teeth. In Group A, DBBM was placed on the buccal side of the teeth and covered with a collagen membrane, while Group B only underwent debridement. Post-surgery, all patients were provided with antibiotics and pain relief medication to aid in their recovery.
Fig. 1: Area amenable to grafting with CAPD
Fig.3: Membrane placed and stabilized
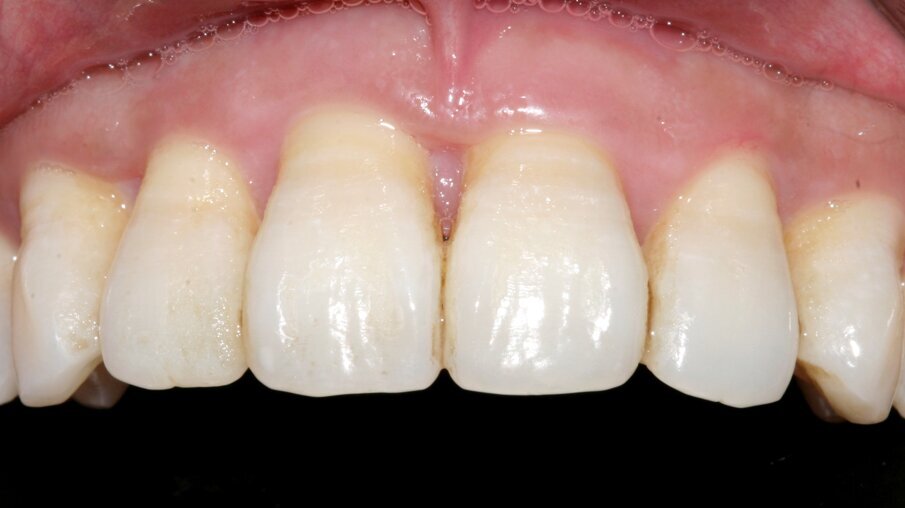
Fig. 4: 1 yr clinical photo demonstrating excellent periodontal health, with 2mm pocket depth, and increased zone of KG, with increased buccal bone support
Fig.5: 3 D rendition of CBCT at 1 yr showing increased buccal bone support
What do the results mean for the dental community?
The results of the study were noteworthy. While there was no significant difference between the two groups in terms of BOP, CAL, PD, and GR, Group A showed positive outcomes in other parameters. The thickness of the keratinized mucosa (TKM) increased by 1.76 mm in Group A but decreased by 1 mm in Group B. Similarly, the width of keratinized mucosa (WKM) saw a significant increase in Group A, from 2.86 mm to 3.6 mm. Furthermore, the thickness of the labial cortical plate also increased significantly in Group A, from 0.94 mm to 1.95 mm, whereas it decreased in Group B. There was no significant difference in pain perception between the two groups, indicating that the CAPD procedure did not cause additional discomfort.
This technique of contour grafting around teeth shares some similarities with the principles of contour grafting around dental implants described by Daniel Buser, Chappuis, and co-workers. Both approaches aim to enhance the volume and quality of the surrounding bone and soft tissues, which is crucial for achieving aesthetic and functional outcomes. However, a notable difference lies in the biological environment; natural teeth are connected to the periodontal ligament, which provides a unique healing and regenerative potential, whereas implants lack this ligament and rely solely on osseointegration.
While traditional treatments have been effective for infrabony defects, horizontal bone loss has remained challenging to treat. The CAPD technique appears to offer a valuable method for enhancing periodontal health in teeth affected by horizontal bone loss. This new technique allows for grafting on the buccal aspect, effectively addressing fenestrations/dehiscence defects while increasing the zone of keratinized tissue, a breakthrough for a condition that was previously not amenable to such treatment. The results suggest that CAPD can significantly improve the thickness of the gingiva and the bone, potentially leading to better long-term outcomes for patients.
Clinical take-home points:
- Teeth with horizontal bone loss have conventionally not been grafted
- Just doing open flap debridement (without buccal grafting) leads to further bone loss over time, as seen in the control group.
- CAPD enables clinicians to improve outcomes for periodontally compromised teeth with horizontal bone loss.
- Although not assessed in this study, since some degree of root coverage is being obtained, CAPD may also alleviate patient symptoms like tooth sensitivity, and long-term mobility (beyond 1 year).
- An interesting outcome is that bone grafting also led to an increase in the zone of keratinized soft tissue, although soft tissue augmentation was not done.
Conclusion:
In conclusion, the study suggests that CAPD is a promising technique for improving periodontal parameters and the soft tissue profile in patients with horizontal bone loss. While the initial findings are encouraging, long-term studies are necessary to fully understand the benefits of CAPD. For general dentists, this new approach could offer an effective solution for managing periodontal defects and enhancing patient outcomes, particularly in cases of horizontal bone loss that were previously difficult to treat with grafting.
References:
- Sanz M, Herrera D, Kebschull M, et al. Treatment of stage I–III periodontitis—The EFP S3 level clinical practice guideline. J Clin Periodontol 2020;47(suppl 22):4–60.
- De Bruyckere T, Eghbali A, Younes F, et al. A 5-year prospective study on regenerative periodontal therapy of infrabony defects using minimally invasive surgery and a collagen-enriched bovine-derived xenograft. Clin Oral Investig 2018;22:1235–1242.
- Buser D, Chappuis V, Kuchler U, Bornstein MM, Wittneben JG, Buser R, Cavusoglu Y, Belser UC. Long-term stability of early implant placement with contour augmentation. J Dent Res. 2013 Dec;92(12 Suppl):176S-82S
- Bhatavadekar N, Padhye N. Contour Augmentation for Periodontal Defects (CAPD) for Periodontally Compromised Teeth with Horizontal Bone Loss: A Prospective Cohort Assessment at 1 Year. Int J Periodontics Restorative Dent. 2024 May 24;44(3):339-346. doi: 10.11607/prd.6891
Topics:
Tags:
A luminary in the field of periodontics Dr. Ray Williams - the former chair of periodontology, and Straumann Distinguished Professor at the University of ...
In this editorial, Dr. Neel Bhatavadekar briefly outlines the long-term comparison between two main techniques for soft tissue grafting: tunneling vs. ...
Prof. Dr Markus Hürzeler and Dr Otto Zuhr, popularly known as Hürzeler/ Zuhr, have taken clinical excellence, education, and research in periodontics,...
Dr Patrick Palacci, a name that is synonymous with 'Palacci Technique,' is known for creating several novel techniques in Periodontics & Implantology with ...
Live webinar
Thu. 14 May 2026
9:30 pm IST (New Delhi)
Live webinar
Thu. 14 May 2026
11:30 pm IST (New Delhi)
Prof. Hani Ounsi DDS PhD FICD
Live webinar
Tue. 19 May 2026
8:30 pm IST (New Delhi)
Live webinar
Tue. 19 May 2026
10:30 pm IST (New Delhi)
Prof. Dr. med. dent. Ivo Krejci
Live webinar
Wed. 20 May 2026
4:30 pm IST (New Delhi)
Dr. Graham Carmichael BDSc (Hons), DClinDent (Pros), FRACDS, Dr. Robert Gottlander DDS
Live webinar
Wed. 20 May 2026
6:30 pm IST (New Delhi)
Live webinar
Wed. 20 May 2026
10:30 pm IST (New Delhi)
Prof. Dr. med. dent. Tim Joda PhD, MSc, eMBA
To post a reply please login or register