All aspects of the esthetics can be more critically evaluated (e.g. color, shape, size, width, intensity of color, value, translucency, form, surface texture, surface luster etc.) between central incisors because of their proximity to each other. In contrast, when observing a lateral or a cuspid, the human eyes cannot see the contralateral tooth at the same time. When matching a lateral or cuspid next to another tooth, the esthetic aspects being compared are different. Thus restoring a single incisor is probably among the most difficult aesthetic challenges for any dentist.
Matching a single central incisor is one of the most difficult and challenging treatment modality in aesthetic dentistry.
While restoring a tooth in the anterior aesthetic zone, there are many factors that have to be taken into consideration. Sometimes only restoring the fractured or decayed area may not always be the perfect aesthetic solution, especially when it involves the two maxillary central incisors.
Lip line, height, width, midline, proportion, shape, shade etc. must be taken into account while treating in the aesthetic zone. Complete success can be attributed in the anterior zone when there is a perfect harmony of all these factors between the central incisor, lateral incisor or cuspid of one side with the contralateral side.
Hence, evaluation of this must be done prior to the treatment following which a perfect treatment plan can be designed, planned and executed.
This article discusses a case report in which a direct composite build up was done on the maxillary right central incisor to match the left one, while managing the unequal mesio-distal width of the central incisors.
CASE REPORT
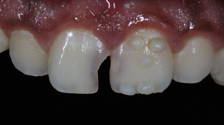
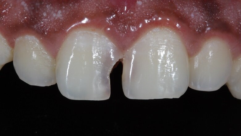
A 21 year old male reported to the clinic with a chief complaint that he was unhappy with his smile as he had a gap in between his front two teeth. He wanted a quick fix and had high aesthetic demands. Pre-operative photographs were taken at this point (Fig 1). On examination, tooth 11 showed decay mesially all the way extending upto the incisal edge (Class IV cavity). Tooth 21 also showed mesial decay only from the palatal aspect (Class III cavity).
Vitality test was performed and the result was positive, thus no endodontic treatment was required. Pre-operative analysis showed that due to a longstanding decay on 11 , 21 tipped mesially. This resulted in a slight shift in midline (Fig 2). On measuring the mesio-distal width of both the central incisors, they showed a discrepancy (Fig 2).
After a digital image was made, it was concluded that if nothing was done to correct the midline shift, the discrepancy in the mesio-distal width would still remain (Fig 3). As bilateral symmetry will not be achieved it would not give an aesthetic and pleasing result. The patient was explained about the clinical situation and he was suggested orthodontic treatment to correct the slight tipping of the 21.
However, he did not wish to go ahead with this treatment plan as he wanted to get it fixed on the same day itself. Hence, it was decided to go ahead with direct composite restorations.
The treatment plan was to do slight enamelopasty on 21 followed by a direct composite build up on 11 and 21 to correct the unequal mesio-distal width.
To begin with, the shade (hue) was evaluated using the button technique before isolation. Small balls of different shades of composite (dentin, body and enamel) were placed on the tooth and cured (Fig 4). Value is another important factor which needs to be considered while shade matching.
The ultimate blend of value shade can give almost life like and undetectable restorations. A photograph was taken in monochrome mode to depict the value of the tooth (Fig 5).
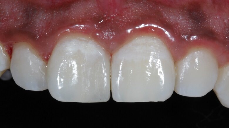
Fig 1: Pre-operative photograph
Fig 2: mesial tipping of 21
Discrepancy in mesio-distal width
11
Fig 3: digital image without enameloplasty,
21>11
Fig 4: Shade Evaluation : Button technique (Hue)
Fig 5: Monochrome image to depict value
Fig 6: Isolation under a rubber dam
Fig 7: Excavation completed
Fig 9: Enameloplasty done on 21
Fig 12: Palatal Shell (Free Hand)
Fig 13: Band Placed (Sectional Matrix)
Fig 14: Proximal View of band placed
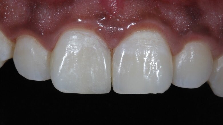
Fig 19: Symmetry achieved
Fig 20: Textures achieved
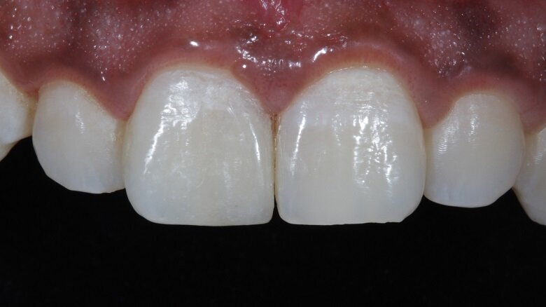
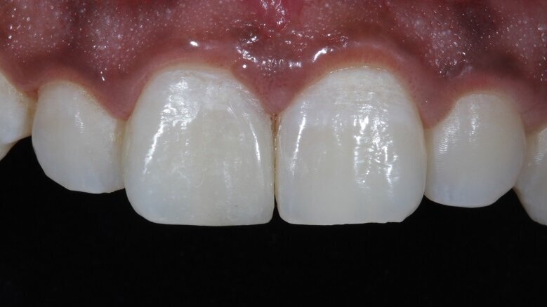
Fig 21: Final Post-Operative photograph
The shades that were selected were A2 Dentin, A2 Body and A2 Enamel. After this, isolation was achieved with a rubber dam (Fig 6). The caries of both 11 and 21 were excavated using a small round carbide bur (Fig 7). Primary and secondary bevels were given on tooth no 11 (Fig 8). After re-evaluation of the mesio-distal width of both the incisors, slight enameloplasty was done on tooth no 21 (Fig 9).
Total etch was done on both teeth with 37% phosphoric acid on the roughened surfaces for 30 seconds (Fig 10) and thoroughly washed with water. Bonding agent was applied and air dried for 20 seconds (Fig 11).
The tooth surface was then cured for 20 seconds. A free hand palatal shell was built using A2 enamel shade which gave the restoration a basic structure and is the first step of layering (Fig 12). Tooth no. 21 was built up palatally using A2 dentin and body shade.
A sectional matrix was then placed in between the teeth (Fig 13). Proximal view of the same depicts that the band was placed and adapted in a manner to achieve tight contacts without overhangs (Fig 14). A proximal wall was built with the help of this band with A2 enamel shade (Fig 15). On this shell, A2 dentin layer was added to give the internal anatomy (Fig 16).
Body and final enamel layer were subsequently added (Fig 17). Immediately after the removal of dam, a picture was taken (Fig 18) to go ahead with the final minor changes in the finishing and polishing protocols to achieve bilateral symmetry. Secondary and tertiary textures were given with a red grit bur using a contra-angled handpiece on a micromotor at slow speed.
Discs and rubber cups were used for the final polishing protocol. Bilateral symmetry was then achieved (Fig 19). A lateral view of the teeth depicted the surface texture (Fig 20). The patient was then recalled after 48 hours for a check-up (Fig 21).
CONCLUSION
Pre-operative analysis is extremely important before beginning an aesthetic case. A digital image plays a vital role in pre-operative assessment especially in the anterior zone. A good layering technique followed by proper finishing and polishing protocols are of utmost importance in achieving a good aesthetic outcome.
Central incisor dominance cannot go unnoticed even by the patient, hence any slight slant in the midline is much more detectable than a full midline shift.
Thus it is very important to correct any midline discrepancies to achieve bilateral symmetry.
Composite resin is a material that is able to mimic natural tooth structure, its optical properties and aesthetics. Often due to trauma or caries, the ...
A report published in the Journal of American Dental Association (JADA) estimates that around 1.6% to 25.4% of adults from various age groups and ...
Composite Resin is an extremely versatile and essential material in a dentist's inventory. These materials are technique sensitive, but if applied ...
Direct composite veneers are an excellent choice of treatment for aesthetic concerns. They are minimally invasive, have superior aesthetics, and are not as ...
Dynamic navigation delivers superior accuracy and safety in maxillary implant placement. A recently published split-mouth study shows marked reduction in ...
Composite resins have been the choice of restorative material for more than 20 years. Most clinicians have mastered the layering protocol for anterior teeth...
Since 2017, Dr Fabia Flensberg has worked as a dentist at Dentalzentrum Essen in the Elizabeth Hospital Essen in Germany. Her work focuses on aesthetic ...
The second most common dental agenesis is that of the maxillary lateral incisors, after agenesis of the mandibular third molars.1 This common agenesis has ...
Live webinar
Thu. 14 May 2026
9:30 pm IST (New Delhi)
Live webinar
Thu. 14 May 2026
11:30 pm IST (New Delhi)
Prof. Hani Ounsi DDS PhD FICD
Live webinar
Tue. 19 May 2026
8:30 pm IST (New Delhi)
Live webinar
Tue. 19 May 2026
10:30 pm IST (New Delhi)
Prof. Dr. med. dent. Ivo Krejci
Live webinar
Wed. 20 May 2026
4:30 pm IST (New Delhi)
Dr. Graham Carmichael BDSc (Hons), DClinDent (Pros), FRACDS, Dr. Robert Gottlander DDS
Live webinar
Wed. 20 May 2026
6:30 pm IST (New Delhi)
Live webinar
Wed. 20 May 2026
10:30 pm IST (New Delhi)
Prof. Dr. med. dent. Tim Joda PhD, MSc, eMBA
To post a reply please login or register