Composite resin is a material that is able to mimic natural tooth structure, its optical properties and aesthetics. Often due to trauma or caries, the anterior teeth get harmed, thus damaging a patient’s smile. In a price sensitive economy, it is often due to budget constraints that a patient would choose direct restorations in the anterior teeth rather than going for the more aesthetic, more hassle-free indirect restorations.
In such situations, it is up to the composite resin layering abilities of the operating dentist, to restore not only the teeth, but also the smile and self confidence of the patient.
In the natural tooth, we have layers of dentin and enamel, each of which have variations in chromaticity and translucency. For example the dentin that is closest to the pulp and that is near to the dentino enamel junction (DEJ) has different chromas. Similarly the enamel near the DEJ is darker compared to the outermost layer of enamel.
The tooth is darkest at its core and starts becoming lighter as we move outwards towards enamel. Considering this natural tooth as a histological guide, we can replace lost dentin structure using opaque dentin shades [with different range of chromaticity] of composite resin.
Similarly we can replace lost enamel structure using the more translucent chromatic and achromatic enamel shades. Material manufacturers also make materials with a wide range of hue, value and chroma as well as opacity and translucency. Because of the difference in the refractive indices of the composite material as compared to that of natural dentin and enamel, we have to layer the composite shades in a definite and controlled thickness in order to get the optimum results.
In the following case, two mal-aligned, fractured, non-vital central incisors were treated endodontically, bleached and restored using direct composite restorations.
Case history
22 yr old Male walked into our dental office saying that he had a fall many years ago and his front teeth were broken. There was no associated pain or symptoms and the problem was purely aesthetic. He was only seeking treatment because he needed to get married soon. He was low on confidence while smiling and required a solution within 4 weeks.
On examination
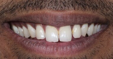
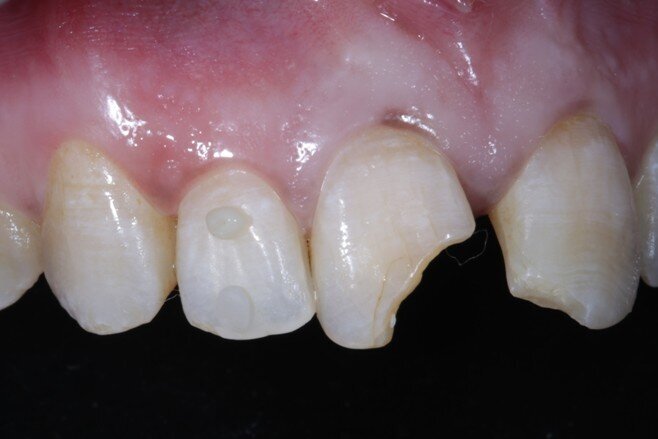
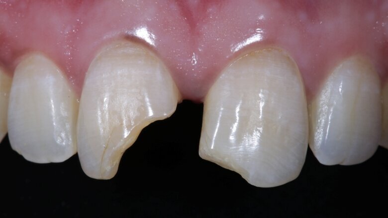
The two maxillary central incisors were fractured and non-vital with noticeable darkening of shade [ Fig 1,2 ]. They were mal-aligned buccolingually and there was a midline diastema as well . There was no tenderness on percussion. There were peri-apical lesions associated with both incisors in the radiograph.
Treatment
Non-surgical endodontic treatment was done in the 1st week. After the symptoms resolved completely we were ready to restore form, function and aesthetics. Non-vital in-office bleaching was done. Pola office bleach was used for the same, 3 cycles of 8 minutes each. It appeared that the shade had corrected completely after bleaching but we waited for it to stabilize.
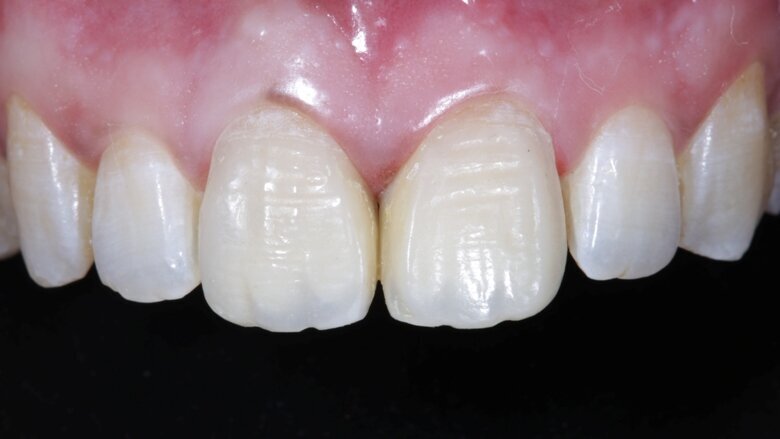
Two weeks later, the shade [ Fig 3 ] stabilized and the teeth were ready for bonding. We observed that the central incisors were still darker than the neighboring teeth. Direct composite veneers were planned with the help of a lab made wax up [ Fig 4 ] and a putty index. Bevels were placed and most of the preparation was in enamel. After the total etch protocol, 5th generation bonding agent was used. 3M Z350XT shades were used for the build up. A2 Enamel shade was used for the palatal shell [ Fig 6 ] and the proximal walls [ Fig 11 ].
Desaturation was achieved by layering a deeper darker dentin [ A3 Dentin - Fig 12 ] inside and a lighter dentin [ A2 Dentin - Fig 13 ] shade over it in the shape of three mamelons. Incisal Halo was achieved by layering an Achromatic Enamel [clear translucent] shade around the mamelons [ Fig 14 ] and the A2 dentin shade on the incisal edge [ Fig 11 ]. Final layer of A2 Enamel shade was used covering the restoration in 0.5mm thickness so as to avoid too much translucency [ Fig 15 ]. Finishing and polishing were done using the 3M Soflex discs and spirals [ Fig 17 ] as recommended by the manufacturer.
We have previously discussed the finishing and polishing protocols of this case in detail in an earlier article [click here for link]
Post-op instructions included regular follow ups to see if the peri-apical region was healing properly. Patient has been informed that composite resin is unable to bear shearing forces, the restoration may debond. And that he needs to come back for polishing every 6 months for routine maintenance.
Discussion
Understanding the patient’s requirements in aesthetic cases is of utmost importance. Photography and documentation of aesthetic work helps in planning and execution. Having a set protocol with regards to the clinical work flow, makes these cases more predictable. Using a wax up makes it easier to control the palatal anatomy and emergence profile of the restoration. When used meticulously, direct composites can result in extremely aesthetic, life-like restorations.
Conclusion
With proper Layering Protocols and systematic finishing and polishing, a direct composite buildup can restore a smile as efficiently as an indirect restoration [ Fig 18, 19, 20 ]
Fig 6 Enamel shade for palatal shell on putty index
Fig 7 Enamel shade merged with the teeth
Fig 9 Sectional matrix placed vertically
Fig 10 Enamel shade for proximal box layering
Fig 11 Dentin shade placed incisally for incisal halo effect
Fig 12 Dark dentin shade layered
Fig 13 light dentin shade placed above dark dentin
Fig 14 translucent shade placed in between mamelons
Fig 15 Final enamel layer
Fig 18 After 48 hours of rehydration
References
1) Prof Dietschi, Switzerland. Learning and Applying the Natural Layering Concept, Newsletter: Cosmetic Dentistry : 2_2009
2) Manauta J, Salat A . LAYERS An atlas of composite resin stratification. Quintessence books 2012
3) Manauta J, Salat A, Putignano A, Devoto W, Paolone G, Hardan LS. Stratification in anterior teeth using one dentine shade and a predefined thickness of enamel: a new concept in composite layering--Part II. Odontostomatol
Trop. 2014 Sep;37(147):5-13.
4) Manauta J, Salat A, Putignano A, Devoto W, Paolone G, Hardan LS.
Stratification in anterior teeth using one dentine shade and a predefined
thickness of enamel: a new concept in composite layering--Part I. Odontostomatol
Trop. 2014 Jun;37(146):5-16.
5) Orban, Balint J., and S. N. Bhaskar. 1976. Orban's Oral histology and embryology. Saint Louis: Mosby.
Tags:
Composite Resin is an extremely versatile and essential material in a dentist's inventory. These materials are technique sensitive, but if applied ...
All aspects of the esthetics can be more critically evaluated (e.g. color, shape, size, width, intensity of color, value, translucency, form, surface ...
Composite resins have been the choice of restorative material for more than 20 years. Most clinicians have mastered the layering protocol for anterior teeth...
A report published in the Journal of American Dental Association (JADA) estimates that around 1.6% to 25.4% of adults from various age groups and ...
Vanini described an anatomical stratification technique that goes beyond the typical three dimensions (hue, chroma, value) of color. The technique, ...
OAK RIDGE, Tenn., U.S.: To address the issue of dental restoration failures, researchers have started studying how nanoparticles with antibacterial ...
Mumbai, India: Organized by BuzzDent, “The Complete LAYERS Composite Course” by Dr. Jordi Manauta took place in Mumbai from August 2nd to 4th, 2024, in ...
Composite sculpting instruments are a daily need and requirement for restorative dentists. This article reviews one instrument you might want to have in ...
With dentistry evolving beyond clinical expertise, two pioneering programmes — APLBED and EBMD — designed in collaboration with the Indian School of ...
Direct composite veneers are an excellent choice of treatment for aesthetic concerns. They are minimally invasive, have superior aesthetics, and are not as ...
Live webinar
Thu. 14 May 2026
9:30 pm IST (New Delhi)
Live webinar
Thu. 14 May 2026
11:30 pm IST (New Delhi)
Prof. Hani Ounsi DDS PhD FICD
Live webinar
Tue. 19 May 2026
8:30 pm IST (New Delhi)
Live webinar
Tue. 19 May 2026
10:30 pm IST (New Delhi)
Prof. Dr. med. dent. Ivo Krejci
Live webinar
Wed. 20 May 2026
4:30 pm IST (New Delhi)
Dr. Graham Carmichael BDSc (Hons), DClinDent (Pros), FRACDS, Dr. Robert Gottlander DDS
Live webinar
Wed. 20 May 2026
6:30 pm IST (New Delhi)
Live webinar
Wed. 20 May 2026
10:30 pm IST (New Delhi)
Prof. Dr. med. dent. Tim Joda PhD, MSc, eMBA
Here is the link of the Finishing and Polishing Protocols :
https://in.dental-tribune.com/clinical/bringing-anterior-direct-restorations-to-life-using-surface-textures/