Search Dental Tribune

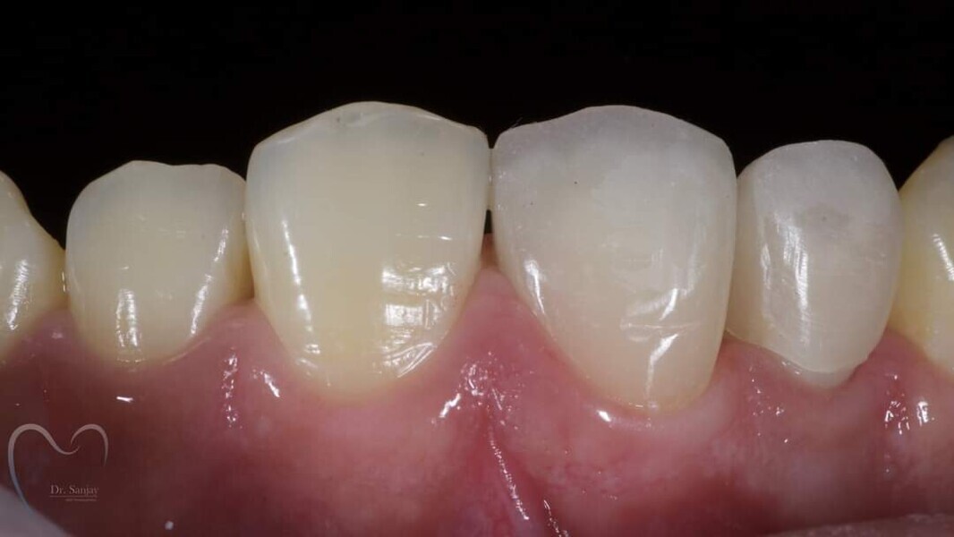
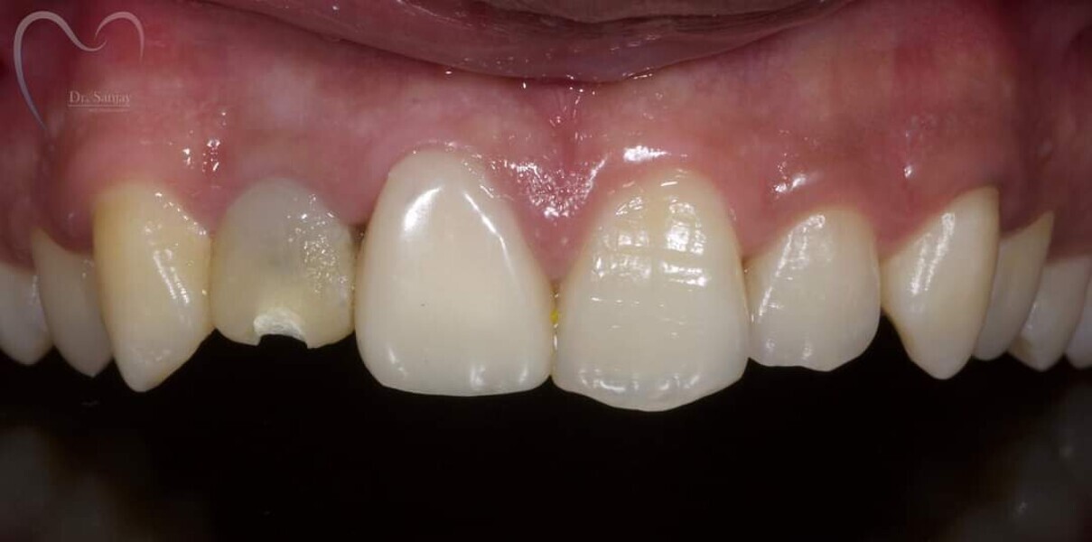
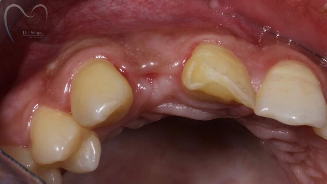
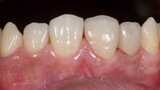
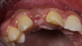
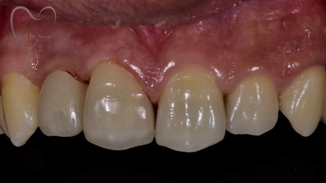
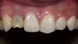
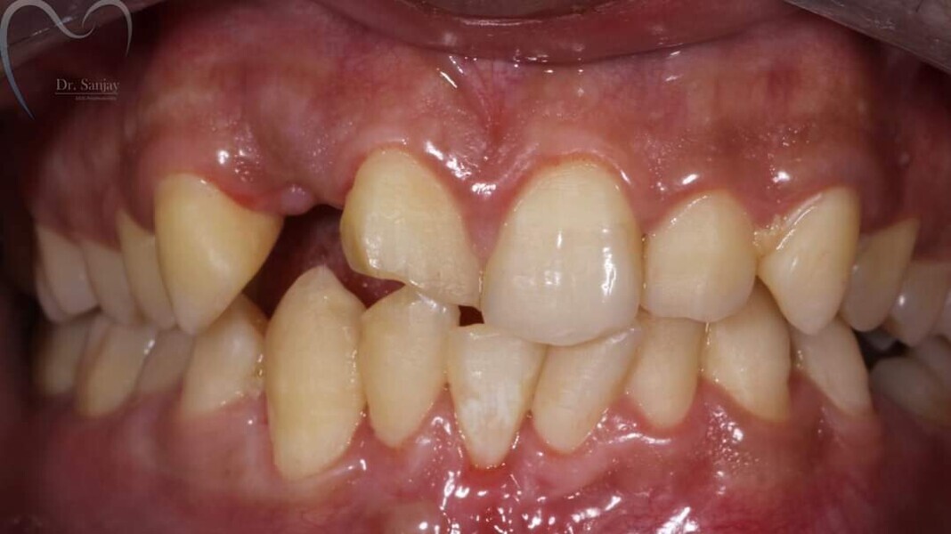
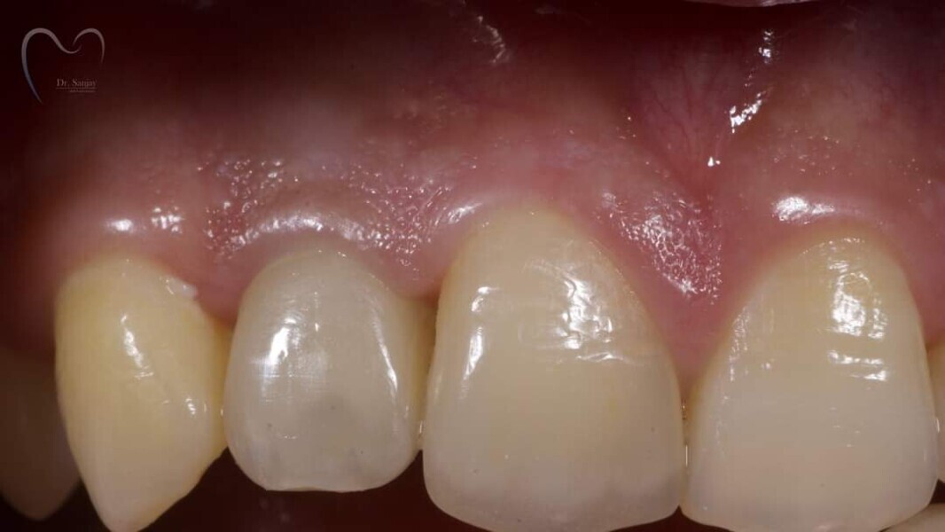
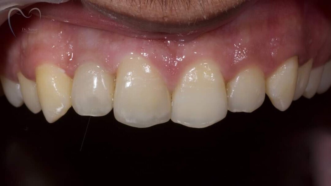
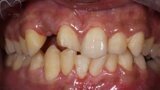
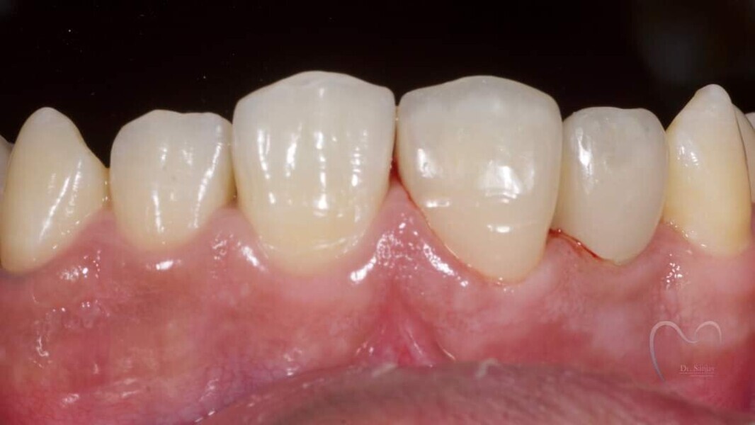
Esthetic Rehabilitation of Maxillary Anterior Teeth: Dr Sanjay Sah

advertisement
advertisement