This article is a case report of a direct composite restoration of a fractured central incisor where the proximal contact was developed using the Unica Anterior Matrix.
Composites are one of the most widely used materials for the restoration of anterior teeth defects. Modern composites, with their excellent physical and optical properties combined with newer generations of bonding agents, provide clinicians with the ability to deliver predictable lifelike biomimetic restorations. When finished and polished well using the correct protocol, these restorations can survive for a long time in the patient's mouth, eliminating or at least reducing the need for more expensive and lab- dependent indirect restorations.
Even though the handling characteristics of modern composites are far superior, one of the major problems faced by the clinician while restoring anterior teeth is the development of good interproximal contacts and contours. Matrix application is a critical step in achieving this objective in anterior composite restorations.
Matrix systems used in the anterior region can be broadly classified into flexible and rigid. Flexible matrices include the popular transparent mylar strip and soft splint templates, and the rigid matrices include putty index matrix and pre-contoured sectional matrix (posterior).
The Mylar strip can be used with a pull-through method in cases where the adjacent tooth has a flat contact area. The disadvantage of this matrix, when used alone, is its flexibility making it challenging to contour large areas leading to irregular contours and contacts. Posterior contoured sectional matrices have often been used for this purpose but have their limitations when restoring teeth where the adjacent tooth has a flat contact area. Another problem commonly faced is the stabilisation of the matrix when restoring adjacent lesions. It also becomes cumbersome to restore multiple surfaces of the same tooth and multiple adjacent lesions as it is extremely time-consuming. In cases where a Class V cervical defect also needs to be addressed, none of these matrices can be adequately used.
To overcome all these limitations, the Style Italiano group has developed a new matrix for anterior teeth called the Unica Anterior.
Unica is a simple matrix specifically developed for anterior restorations such as class III, IV, V, direct stratification composite veneers, and shape modifications. The placement wings allow the operator to place and adapt the matrix quickly and efficiently. Its contoured shape adapts correctly to the different morphologies of anterior teeth and makes it possible to restore interproximal and cervical margins at once, even in the presence of rubber-dam or gingival retraction cords, thus reducing chair-time significantly. Furthermore, Unica anterior matrix, once positioned, allows visualising the final shape of the restoration easily.
This article is a case report of a direct composite restoration of a fractured central incisor where the proximal contact was developed using the Unica Anterior Matrix.
Case Report
A 32-year-old man walks into our dental office with the chief complain of a broken front tooth. On examination, a Class IV fracture is seen involving the enamel and dentin of 11. The IOPA did not show any significant findings, and the tooth reacted positively to vitality testing.
It was decided to restore the tooth with Direct Composite Resin. Preoperative photographic records were taken. Small buttons of different shades (dentin, body and enamel shades of A1 and A2) of composite resin were placed on the adjacent teeth and photographs were taken with different settings to ascertain the correct value and chroma of the material to be used (button technique).
Rubber dam isolation with floss tie ligature was carried out to provide absolute isolation required for the bonding protocol. A 2mm wide bevel was given with a diamond point and finished with finishing discs involving the enamel and dentin on the buccal surface of the fractured tooth. The palatal portion of the fracture line was only smoothened to remove any overhanging enamel. The tooth was etched with 37% Phosphoric Acid (D tech) for 20 seconds. After thorough rinsing with water and light air-drying, two coats of Universal Bonding Agent (Single Bond Universal, 3M ESPE) was applied, air thinned and photocured for 20 seconds. Palatal shell was made with A2 Enamel (Filtek Z350XT) using a mylar strip and index finger held palatally for support. At this stage, the Unica Anterior Matrix (Polydentia) was adapted and secured by pulling the palatal wings and placing an interdental wedge. A2 Enamel was then applied and compacted against the matrix mesially to form the mesial surface of the restoration. Once we have an adequate ‘box’ with tight interproximal contact, it becomes relatively easy to finish the final layering. In this case, A2 Dentin, A2 Body, and A2 Enamel shades were used to complete the restoration. White opaque tints were also added before the final enamel layer to mirror the white spot characterisation of the adjacent tooth. The final enamel layer was contoured to match the mesial transitional line angle of 21 using a Mylar Pull Through method against the cured mesial wall with good contact already established with the Unica. Finishing was carried out with finishing discs (Shofu Snap-on Discs) and Soflex Spirals (3M ESPE). Polishing was done with Prisma Gloss polishing paste (Dentsply) and a rubber.
Fig 1: Pre op Smile
Fig 2: Pre op Intraoral
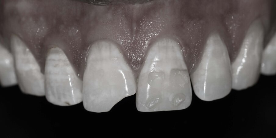
Fig 3: Composite button technique for selecting the Shade (Hue)
Fig 4: Monochromatic picture for selecting the Value
Fig 5: Deep View to select the correct Chroma
Fig 6: Isolation with Rubber Dam and Floss Tie
Fig 7: Etching the surface to be restored
Fig 8: Application of Universal Bonding agent
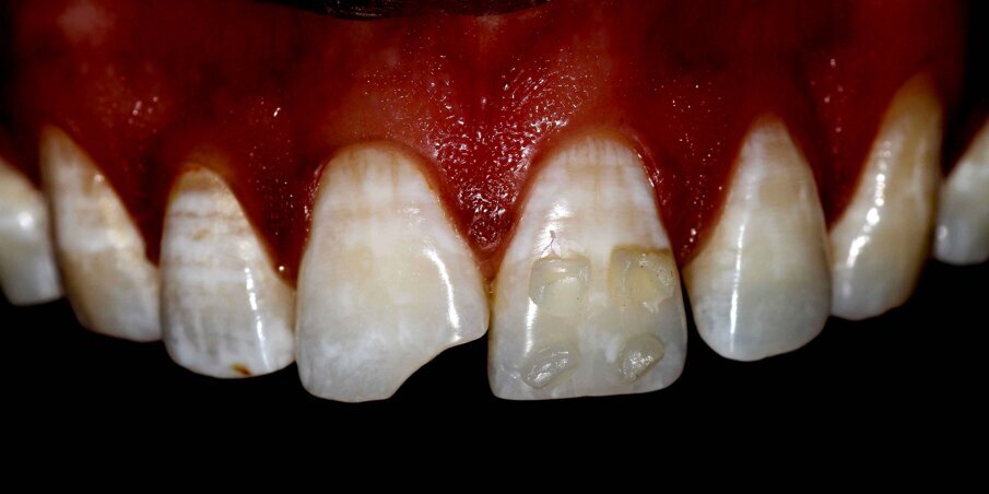
Fig 9: Unica Anterior matrix with wedge after building the palatal shell
Fig 10: Composite Build up completed and cured under Glycerin gel
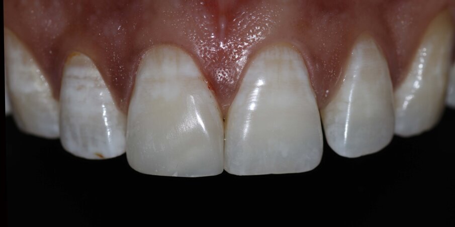
Fig 11: Tight proximal contact achieved. Final intraoral picture after finishing and polishing
Fig 12: Final Smile
Fig 13: Unica Anterior matrix
Conclusion:
With their excellent aesthetic and mechanical properties, composite resins have emerged as the most minimally invasive alternatives to restoring anterior teeth. It is now possible to achieve life-like restorations, which are also extremely biomimetic. Establishing good contacts and contours in the anterior region is of paramount importance not just from an aesthetic but also a functional point of view.
Understanding the limitations of the material in every situation and adapting newer techniques should be our focus to make our restorations more predictable and durable.
References
Sherwood IA, Rathakrishnan M, Savadamaoorthi KS, Bhargavi P, Vignesh Kumar V. Modified putty index matrix technique with mylar strip and a new classification for selecting the type of matrix in anterior proximal/incisal composite restorations. Clin Case Rep. 2017;5(7):1141-1146. Published 2017 Jun 1. doi:10.1002/ccr3.1006
Ayush Goyal, Vineeta Nikhil, and Ritu Singh, “Diastema Closure in Anterior Teeth Using a Posterior Matrix,” Case Reports in Dentistry, vol. 2016, Article ID 2538526, 6 pages, 2016. https://doi.org/10.1155/2016/2538526.
Fellippe L. A., Monteiro S. Jr, De Andrada C. A., Di Cerqueira A. D., and Ritter A. V.. 2005. Clinical strategies for success in proximo-incisal composite restorations. Part II. Composite application technique. J. Esthet. Restor. Dent. 17:11–21. [PubMed]
Manauta J, Salat A . LAYERS An atlas of composite resin stratification. Quintessence books 2012
Author:
Dr Nisha Deshpande
Dr Nisha Deshpande graduated from Government Dental College and Hospital, Mumbai in 2007. She was the recipient of the Vice-Chancellor's Gold Medal for scoring highest marks in her final BDS examination from Maharashtra University of Health Sciences (MUHS) having topped the University in 2006. She has received the Post Graduate Certificate in Aesthetic Dentistry from State University of New York at Buffalo, USA in 2011. She is a member of the European Society of Cosmetic Dentistry (ESCD) and the Indian Academy of Aesthetic and Cosmetic Dentistry (IAACD). She is currently pursuing the International Certification In Aesthetic and Restorative Dentistry from Egas Moniz University, Caparica, Portugal. She can be contacted at nishadamle@gmail.com.
Successful resin composite restorations can be achieved when a careful restorative technique is employed. Use of a sectional matrix band and elastic ring ...
Vanini described an anatomical stratification technique that goes beyond the typical three dimensions (hue, chroma, value) of color. The technique, ...
Composite resin is a material that is able to mimic natural tooth structure, its optical properties and aesthetics. Often due to trauma or caries, the ...
Composite sculpting instruments are a daily need and requirement for restorative dentists. This article reviews one instrument you might want to have in ...
This case report aims to demonstrate the decision-making and planning involved in treating a case of midline diastema and how an interdisciplinary approach ...
Composite resins have been the choice of restorative material for more than 20 years. Most clinicians have mastered the layering protocol for anterior teeth...
NANCHANG, China: Social media adverts for whitening products show celebrities flaunting their pearly whites, putting pressure on consumers to conform to the...
In my lecture at this year’s EAO meeting, attendees received an overview of over 50 years of working with implants and why we did it in certain ways back ...
Every child’s tooth holds a secret history, written in microscopic lines and minerals. Scientists are now decoding these dental diaries to reveal how ...
Education
Live webinar Wed. 22 April 2026 8:30 pm IST (New Delhi)
Stanley M. Bergman’s retirement as CEO of Henry Schein marks the end of one of the most influential leadership tenures in modern dentistry and healthcare ...
TIRUCHIRAPPALLI, India: The integration of artificial intelligence (AI) into medical imaging can support diagnosis and reduce clinical workload. A new study...
To post a reply please login or register