Search Dental Tribune

Polychromatic Layering Technique (PLT)—full protocol: a case report

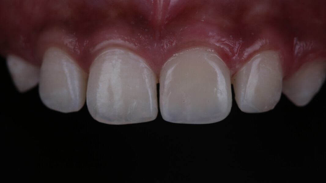
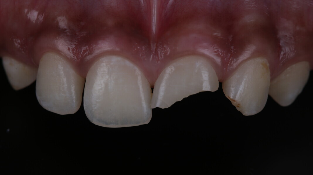
Polychromatic layering technique can create life-like restorations when esthetic demands are high (Image: Dr. Neha Gupta)

Tue. 26 September 2023

save

Vanini described an anatomical stratification technique that goes beyond the typical three dimensions (hue, chroma, value) of color. The technique, especially useful when esthetic demands are high, enables dentists to predictably create life-like esthetic restorations that are indistinguishable from natural teeth. [1, 2]

Introduction

A 10-year-old male patient reported with a complaint of trauma to the upper left central and lateral incisors, involving the enamel and dentin. Direct composite was used in multi-layers and the smile was restored. This article explains detailed steps in the polychromatic layering technique with special emphasis on the finishing and polishing protocol. 3M Espe Filtex Z350 Xt was used with a universal bonding agent.

Fig 1-7: Evaluation and mock up

Fig 8-18: Bonding and palatal shell

Fig 19-24: Contact build-up with band and wedge

Fig 25-30: Layering protocol step by step

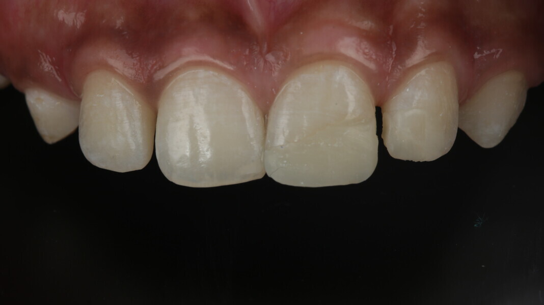
Fig 31-41: Polishing protocol and post-op

Conclusion

The article demonstrates how using the right protocols and armamentarium for composite materials can give life-like results in a short time in a minimally invasive way. No single layering technique can ensure a 100% success rate. Regardless of the technique, establishing good secondary and tertiary anatomy and thorough polishing are the key steps that make a restoration look more natural. Composite is the perfect material for allowing correction of mistakes or improvement.

References

  1. Vanini L. Conservative composite restorations that mimic nature. A step–by-step anatomical stratification technique. J Cosmet Dent 2010; 26(3): 80–98
  2. Vanini L, Mangani FM. Determination and communication of color using the five color dimensions of teeth. Pract Proced Aesthet Dent. 2001 Jan-Feb;13(1):19-26; quiz 28. PMID: 11301528.
Tags:
To post a reply please login or register
advertisement
advertisement