This article illustrates a case where an implant was placed immediately after extraction using the Socket Shield Technique. Retaining the buccal fragment of the root during implant placement does not appear to interfere with osseointegration and may be beneficial in preserving the plate of buccal bone and the contour.
Concept of Socket Shield Technique:
Tooth extraction is often accompanied by resorption of surrounding tissues, immediate implant protocols after extraction can provide a pleasing aesthetic result with good function in selected situations, but not on a predictable basis and have a higher risk for mucosal recession and volume loss.
Hürzeler et al. have reported a novel approach to preserve the soft and hard tissues following tooth extraction without the use of biomaterials (Hürzeler, Zuhr et al. 2010, Baumer, Zuhr et al. 2015). The authors propose the retention of a buccal root segment during immediate implantation to prevent alveolar bone loss following tooth extraction. socket shield technique prevents the remodeling of hard and soft tissues after extraction by keeping them attached to the socket shield, in another words keeping the structures which are the components of periodontium in the buccal aspect of tooth or root undamaged when planning to extract the tooth and placing the implant, so implant would be inserted behind the buccal tooth fragment which is left intact to the buccal plate of bone, the thing that would enhance the aesthetic outcome of implant borne prosthesis.
Case Report:
In the following case report, a 35-year-old male patient was treated with a single tooth implant in the maxillary central incisor (11) region. The patient was a non-smoker and did not present any relevant medical conditions. An implant was placed immediately after extraction using the Socket Shield Technique. Retaining the buccal fragment of the root during implant placement does not appear to interfere with osseointegration and may be beneficial in preserving the plate of the buccal bone and the contour.
Surgical Procedure:
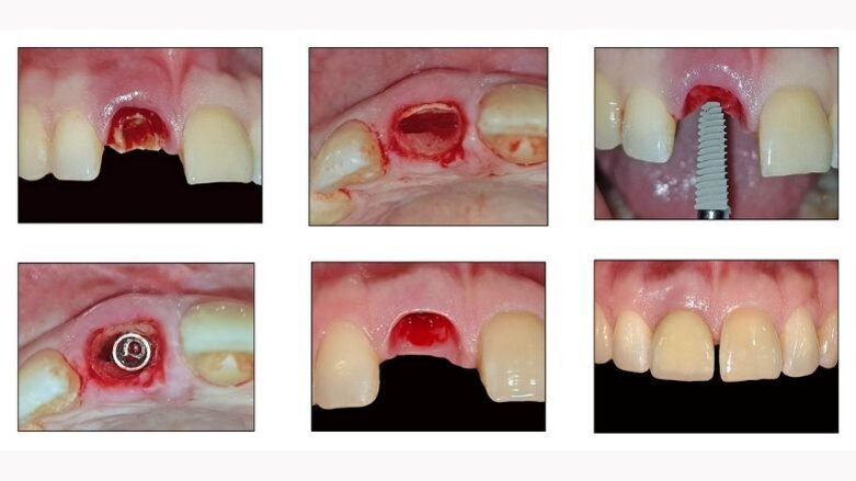
The primary indication for tooth extraction was a fracture of the crown at the cervical region. Without lifting a mucoperiosteal flap or affecting the marginal gingiva, the fractured portion of the tooth was carefully removed. A 1–2mm thick tooth fragment in the buccal area of the extraction socket was separated from the rest of the tooth using Zekrya 28 bur (Strauss) with saline + ciprofloxacin irrigation.
Special precautions were taken to avoid damage to the bone walls of the extraction socket. Following preparation of the implant bed in the palatal part of the root, all residual tooth fragments were completely removed. A careful curettage of the extraction socket was performed to remove granulation tissue. The buccal fragment of the root was preserved 1mm coronal to the buccal bone plate. The 4X13mm implant was placed in the palatal part of the extraction socket, without contact with the labial root portion (shield). 45 Ncm Torque was achieved at the time of implant placement. (Fig 1 - 17)
Fig 1: Pre-operative situation of 11
Fig 2: Pre-operative situation of 11
Fig 3: Fractured crown on radiograph
Fig 4: Fractured crown portion
Fig 5: CBCT investigations
Fig 6: CBCT - Crown section
Fig 7: Removal of the mobile crown fragment
Fg 8: Baseline after the removal of mobile crown fragment
Fig 9: Zekrya 28 bur used for the shield preparation
Fig 10: Splitting the root into buccal and palatal fragments
Fig 11: After sectioning of the root
Fig 12: Removal of the palatal fragment
Fig 13: Removed palatal fragment
Fig 14: Socket components
Fig 15: Osteotomy done on the palatal wall to receive a 4 x13 mm implant
Fig 16: Implant placed at 45 Ncm
Fig 17: Radiographic documentation of implant placement
Provisionalisation:
Titanium Abutment was milled chairside and was fixed over implant at 25ncm torque. The abutment screw hole was packed with Teflon tape. The coronal portion of the tooth was cleaned with antiseptic solution (Ciprofloxacin), after bond, a flowable composite was placed over the palatal side of the crown portion and placed inside socket buccal to abutment and cured. The assembly of abutment and crown was unscrewed from the mouth and mounted on a lab analogue. Special attention was paid to the emergence profile of the provisional implant crown. At the subgingival portion, a concavity was designed to avoid placing any pressure on the root fragment. To ensure ideal support of the soft tissue, the marginal portion corresponded exactly to the extracted tooth (or with a slight positive contour). Follow-up examinations were performed 24 hrs. (Fig 18 -32)
Fig 18
Fig 19
Fig 20
Fig 21
Fig 22
Fig 23
Fig 24
Fig 25
Fig 26
Fig 27
Fig 28
Fig 29
Fig 30
Fig 31
Fig 32
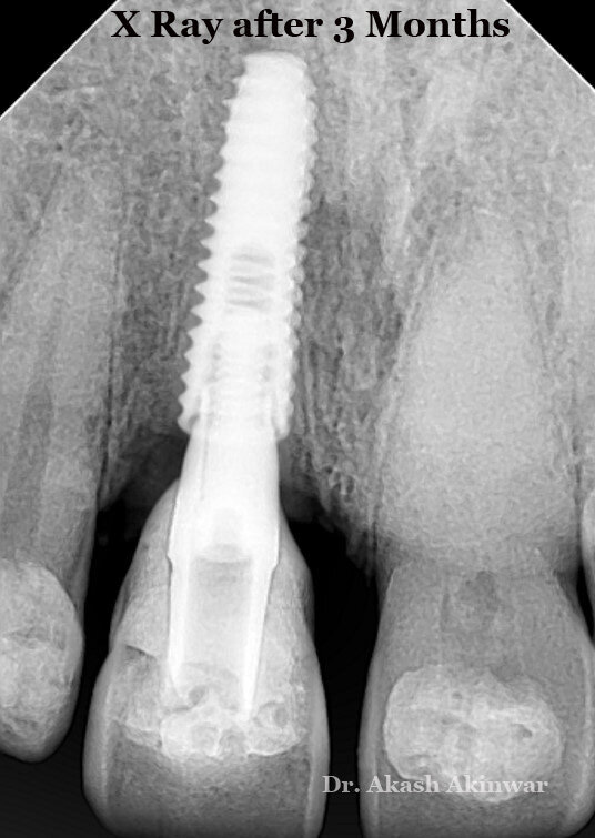
The patient was from another state, so he was kept under observation at 7 days, 1 month, 2-month intervals by another dentist at his native place and was recalled for final prosthesis after 3 months.
The patient reported 3 months later with the satisfactory hard & soft tissue healing. Implant level open tray impression was taken and the master cast was obtained. Next, using a castable abutment, a screw-retained PFM prosthesis was made.
Fig 33
Fig 34
Fig 35
Fig 36
Fig 37
Fig 38
Fig 39
Fig 40
Fig 41
Fig 42
Fig 43
Fig 44
Fig 45
Fig 46
Fig 47
Fig 48
Fig 49
Fig 50
Fig 51
Fig 52
Fig 53
Fig 54
Fig 55
Fig 56
Fig 57
Fig 58
Fig 59
All postoperative instructions were given about the maintenance and recall visits. Recall period was scheduled as once in 3 months for the first year, and thereafter, once in 6 months with clinical & radiographic examination.
Conclusion:
The case illustrates the technique for preserving a buccal root segment in conjunction with immediate implant placement and provisionalisation using natural tooth portion. A complete prosthetic protocol is also illustrated using images of step by step technique. The socket shield technique is a valuable technique to minimize buccal contour changes after tooth extraction, leading to increased volume stability of the mucosa adjacent to the inserted implant.
References:
1. Baumer, D., O. Zuhr, S. Rebele, D. Schneider, P. Schupbach and M. Hürzeler (2015). ‘The socket-shield technique: first histological, clinical, and volumetrical observations after separation of the buccal tooth segment – a pilot study.’ Clin Implant Dent Relat Res 17(1): 71–82
2. Hürzeler, M. B., O. Zuhr, P. Schupbach, S. F. Rebele, N. Emmanouilidis and S. Fickl (2010). ‘The socket-shield technique: a proof-of-principle report.’ J Clin Periodontol 37(9): 855–862
Author:
Dr Akash Akinwar is a Mumbai based periodontist & implantologist, who is also known for pioneering the popular concept Mobile Dental Photography (MDP). He is the recipient of “Oral & Maxillofacial Pathology” award at International Case Report Conference “Showcase 2015” at Chennai, the recipient of “Implantologist of the Year 2016 (Special Jury Award)” by Famdent (Dec 2016). He has co-authored a chapter in the book “Clinical Fixed Prosthodontics” (2017), authored by Dr Moez Khakiani. Dr Akash conducts basic and advanced courses in implantology. He can be contacted at www.drakashakiwar.com
Embarking on a pioneering journey, a new artificial intelligence (AI)-driven bibliometric analysis 1 has unveiled the scientific landscape of the Socket ...
Dr Abdelsalam Elaskary, a seasoned innovator, author and educator in implant dentistry describes his new technique "Vestibular Extraction Socket Therapy" ...
An idea of Gaetano Paolone and Salvatore Scolavino and the style italiano team, is the "Custom Shield technique”. In this technique the height and the ...
ZURICH, Switzerland: Clinical evidence has established dental implants as a great treatment option to replace missing teeth. However, even with the high ...
The Conceptual Hybrid Flare (CHF) technique is a novel technique developed to revolutionize the cleaning and shaping of root canals making the endodontic ...
New Delhi, India– The 6th Global American Academy of Implant Dentistry (GAAID) and the 12th World Congress of Oral Implantology (WCOI) launched today in ...
VADODARA, India: The flow of Eastern philosophical and spiritual systems to the US has, since the 1960s, exerted a well-known and powerful influence on the ...
Vanini described an anatomical stratification technique that goes beyond the typical three dimensions (hue, chroma, value) of color. The technique, ...
With the “Dentalkart Events” launch announcement, Dentalkart envisions transforming the way dental professionals and practitioners learn and connect ...
Education
Live webinar Thu. 23 April 2026 8:30 pm IST (New Delhi)
Stanley M. Bergman’s retirement as CEO of Henry Schein marks the end of one of the most influential leadership tenures in modern dentistry and healthcare ...
TIRUCHIRAPPALLI, India: The integration of artificial intelligence (AI) into medical imaging can support diagnosis and reduce clinical workload. A new study...
To post a reply please login or register