Smile Designing doesn’t always have to be about elaborate, extensive and invasive procedures but just sometimes routine procedures done with adherence to a protocol can give astounding results, dramatically improving a patients smile and hence their overall perception about themselves. This article by Dr Nisha Deshpande is a clinical case on the correction of a reverse smile to a consonant one with simple direct composite restorations.
As dentists, we have the power to change a persons life. Clichéd as it may sound, not just the relief from long-standing pain but giving them whole new confidence about themselves is entirely in our hands.
Smile Designing doesn’t always have to be about elaborate, extensive and invasive procedures but just sometimes routine procedures done with adherence to a protocol can give astounding results, dramatically improving a patients smile and hence their overall perception about themselves.
According to the principles of Smile Designing, there are three types of smiles: a consonant or ideal smile, flat smile and reverse smile.
A consonant smile (Fig 1) is one where the incisal edges of the upper anteriors follow the curvature of the lower lip.
A flat smile (Fig 2) is one where the incisal edges of the upper central and lateral incisors are at the same level giving the teeth a flat look compared with the lower lip curvature.
A reverse smile line (Fig 3) is one where the centrals are shorter than the lateral incisors either because of attrition or trauma and the incisal edges of the upper anteriors form a reverse arc as compared to the lower lip. This kind of a smile line usually gives the person a more aged look as compared to the youthful appearance of a consonant smile.
Fig 1: Consonant smile
Fig 2: Flat smile
Fig 3: Reverse smile
This article is a clinical case report of a correction of a reverse smile to a consonant one with simple direct composite restorations.
Case Description:
A 45-year-old lady walks into our office with the desire to change her smile. Photographs (extraoral and intraoral) and alginate impressions are recorded as well a detailed discussion with the patient to get an idea about her expectations.
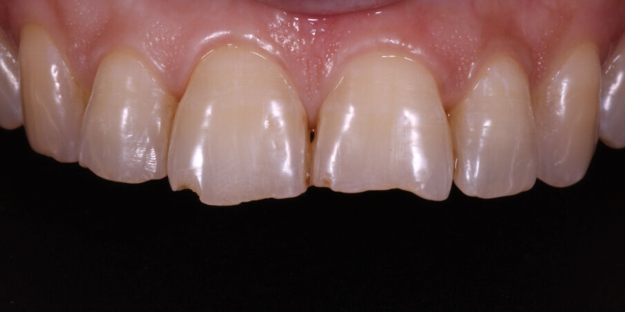
Smile analysis reveals the presence of a reverse smile line giving the patient a slightly senile appearance (Fig 4).
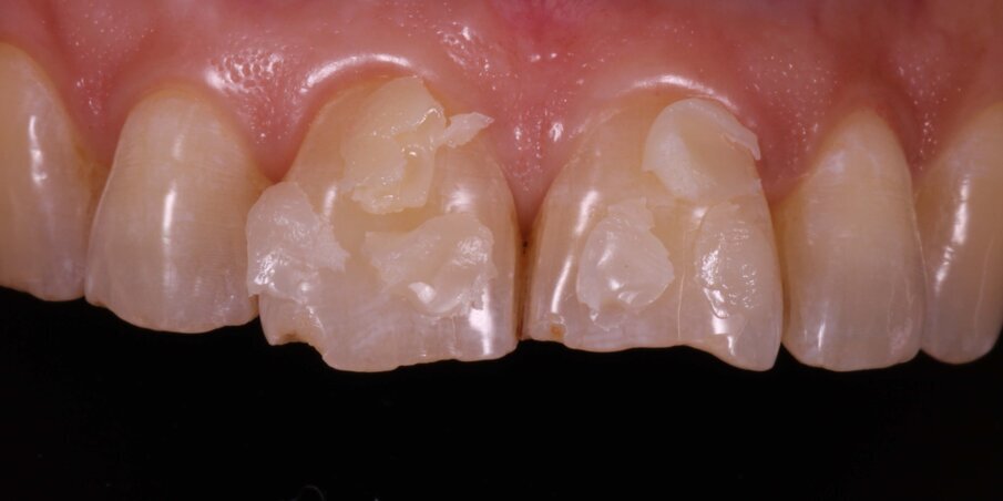
Intraoral examination and history: Trauma leading to fracture of the incisal edges of 11, 21 and 12 (Fig 5).
IOPA presents with no abnormal findings and an intact lamina dura of all teeth. The teeth responded favourably to thermal pulp testing.
Treatment Plan:
Direct Composite restorations of 11 and 21 to restore the correct length of the incisors, thereby changing the reverse to a consonant smile line. The patient refused treatment for 12 for the time being. Polychromatic layering technique would be used for the composite resin stratification (Fig 6).
A wax-up was made on the working model by the laboratory on which a putty index was fabricated with addition silicone material (Honigum putty, DMG). The putty index was then tried in the mouth to verify the fit and also to mark the area incisally where enamel shade composite would be added in a controlled amount to avoid possible palatal excess.
Fig 4: Initial smile
Fig 5: Pre op showing fractured incisal edges
Fig 6: Shade matching
Rubber dam application was carried out (Fig 7) to provide absolute isolation required for the bonding protocol. A 2mm wide bevel was given with a diamond point and finished with finishing discs involving the enamel and dentin on the buccal surface of the fractured teeth. The palatal portion of the fracture line was only smoothened to remove any overhanging enamel. The tooth was etched with 37% Phosphoric Acid (D tech) for 20 seconds (Fig 8). After thorough rinsing with water and light air-drying, two coats of Universal Bonding Agent (Single Bond Universal, 3M ESPE) was applied, air thinned and photocured for 20 seconds (Fig 9).
Fig 7. Isolation with Rubber dam
Fig 8. Etching with 37% Phosphoric Acid
Fig 9. Application of bonding agent
Enamel Shade A3 of a nanocomposite (FiltekZ350XT,3M) was adapted on the previously scored putty index, placed in position and light-cured for 20 seconds. This gave us the palatal shell on which we layered the Dentin and Body Shades (A3) sequentially (Fig 10 -12). Proximal walls were created with enamel shade composite and thin mylar strips with a palatal pull-through technique. A thin final layer of enamel shade was applied and photocured (Fig 13-14).
Fig 10: Building proximal walls in enamel shade composite after creating the palatal enamel shell
Fig 11: First layer of Dentin Shade Composite
Fig 12: Second layer of Body Shade composite
Fig 13: Final layer of Enamel Shade composite covering the entire bevel
Fig 14: Photocuring with glycerin gel barrier
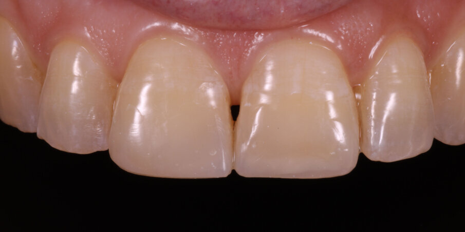
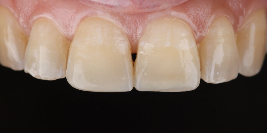
Finishing was carried out with finishing discs (Shofu Snap-on Discs) and Soflex Spirals (3M ESPE). Polishing was done with Prisma Gloss polishing paste (Dentsply) and a rubber cup (Fig 15). Thus the reverse smile was corrected by a simple restoration of fractured incisal edges. The patient reported back to us with a renewed sense of confidence after her smile-rejuvenation (Fig 16-17).
Fig 15. Post op image
Fig 16. Two-week post op
Fig 17. Final smile
Conclusion:
Composite resins, when used with the correct protocols and understanding the material properties, can give us an excellent alternative to more extensive and expensive indirect restorations. A simplistic and minimalist approach will go a long way in preserving natural tooth structure yet giving excellent aesthetics.
References:
Bhuvaneswaran M. Principles of smile design. J Conserv Dent. 2010;13(4):225–232.
Ribeiro GB, Porto AN, Segundo AS, Muzilli CA, Matos FZ, Borges ÁH, Miranda ME. Variations in the perception of the smile line according to examiners from three different social classes. Sci J Dent 2015;2:3-7 (13)
Manauta J, Salat A . LAYERS An atlas of composite resin stratification. Quintessence books 2012
Aslam, Ayesha & Ahmed, Bilal & Azad, Azad & Ovais, Nida & Nayyer, Maleeha. (2016). Layers to a beautiful smile: Composite resin stratification. Pakistan Oral and Dental Journal. 36. 335-340.
Author: Dr. Nisha Deshpande
Dr Nisha Deshpande has been practising restorative and esthetic dentistry in Thane for over 10 years. She can be contacted at nishadamle@gmail.com.
Dr Nisha Deshpande graduated from Government Dental College and Hospital, Mumbai in 2007. She was the recipient of the Vice-Chancellor's Gold Medal for scoring highest marks in her final BDS examination, having topped the Maharashtra University of Health Sciences (MUHS) in 2006. She has received the Post Graduate Certificate in Aesthetic Dentistry from State University of New York at Buffalo, USA in 2011. She is a member of the European Society of Cosmetic Dentistry (ESCD) and the Indian Academy of Aesthetic and Cosmetic Dentistry (IAACD). She is currently pursuing the International Certification In Aesthetic and Restorative Dentistry from Egas Moniz University, Caparica, Portugal.
BLOOMFIELD, Conn., U.S: A new study published by Cigna, a worldwide health services organization, helps confirm the connection between oral health and ...
Prof. Louis Hardan, called the Father of Mobile Dental Photography, is the inventor of Smile Lite MDP (Smile Line) a device to take high-quality dental ...
Healthcare workers (HCWs) spend a lot of time up working in close proximity to their patients, which is a high-risk activity. Standard Personal Protective ...
OAK RIDGE, Tenn., U.S.: To address the issue of dental restoration failures, researchers have started studying how nanoparticles with antibacterial ...
Innovators of 3D-printed activator appliance, Dr. Akshay Parmar and Dr. Krishnakumar Jaju, say that it can be efficient and effective in improving the ...
Nine new technologies from virtual reality through artificial intelligence (A.I.) to CRISPR are all set to revolutionise dentistry. They will not only have ...
Chennai, India : The 20 Indian Prosthodontic Society (IPS) National post graduate convention was held at Chettinad Dental College, Chennai, on 6 to 8 July ...
Stanley M. Bergman’s retirement as CEO of Henry Schein marks the end of one of the most influential leadership tenures in modern dentistry and healthcare ...
TIRUCHIRAPPALLI, India: The integration of artificial intelligence (AI) into medical imaging can support diagnosis and reduce clinical workload. A new study...
To post a reply please login or register