Diastema Closure with direct composites is one of the most minimally invasive and often performed procedures in aesthetic and restorative dentistry. Yet, it remains a technique-sensitive procedure, often yielding good results only in the hands of experienced and skilled clinicians. More often than not, clinicians struggle with technique, ranging from unaesthetic restorations to cervical overhangs.
To simplify Direct Diastema closures for everyday dentistry, Dr. Jordi Manauta and the Style Italiano Group have devised the Front Wing technique.
This article is a case report that used this technique for two separate midline diastema closure cases. As its name suggests, the Front Wing Technique advocates the building up of the restoration from the Buccal aspect as against the palatal aspect used for other layering procedures. The palatal index has been often used but with little effect since it does not adequately develop and contour the cervical part of the restoration.
The Front Wing Technique allows the clinician to control the restorations’ emergence profile and shape completely. Once these front ‘wings’ have been developed, posterior sectional matrices achieve a good contact point. The palatal part can now be easily contoured against the buccal wings on one side and the proximal matrices on the other. A small amount of flowable resin is first placed and not cured. Next, the composite is packed from the palatal aspect until no more material flows out from the buccal. This ensures good sealing of the space and helps in achieving tight contact. Finishing and polishing are then carried out sequentially.
Case Report 1
A young girl aged 18 came to our Dental Clinic with the chief complaint of a gap between her front teeth. On Examination, a midline diastema was noted between 11 and 21. Further history revealed past orthodontic treatment. The space had opened up due to the relapse of orthodontic treatment. She refused to undergo orthodontic treatment for a second time. We decided to close the space with Direct Composites to restore the aesthetics while staying non-invasive.
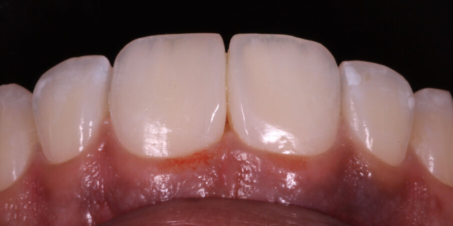
Fig 1. Initial Smile
Fig 2. Pre-op
Fig 3. Shade selection with Composite Buttons
Fig 4. Isolation and aprismatic enamel removal with coarse disc
Fig 5. Etch with 37% Phosphoric Acid
Fig 6. Applying the bonding agent
Fig 7. Free Hand Front wing for 11
Fig 8. 21 wing. A small Space is left on purpose
Fig 9. Sectional matrices and wedge placed
Fig 10. A small amount of flowable resin is placed and not cured.Composite is then condensed palatally until it stops flowing out from the buccal.
Fig 11. Tight Contacts formed
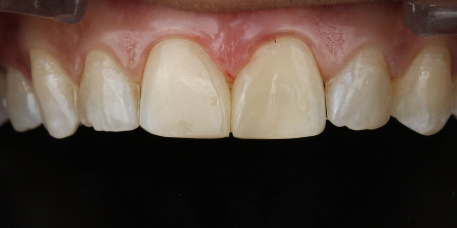
Fig 12. Post op after FInishing and Polishing
Fig 14. Beautifully integrated restorations
Case Report 2
A beautiful lady in her 40s wished to close the gap between her front teeth. She had previous restorations between 11 and 21, which had dislodged. It was decided to redo the restorations with direct composites following strict isolation and bonding protocols.
Fig 1. Initial Smile
Fig 2. Pre-op
Fig 3. Isolation, removal of residual composite and Etch with 37% Phosporic Acid
Fig 4. Application of bonding agent
Fig 5. A thin bladed spatula is used to contour the critical cervical region
Fig 6. Both Front wings formed
Fig 7. Sectional matrices and wedge
Fig 8. Palatal view showing perfect cervical adaptaion of martices and marked arrows indicating the space to be filled
Fig 9. A small drop of flowable placed first to ensure wetting of the next mass of composite.Marked arrow indicating area where excess will flow out once packed from palatal aspect
Fig 10. Post op after Finishing and polishing
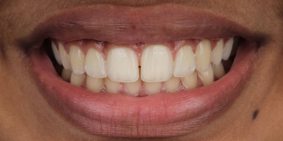
Fig 11. Final Smile
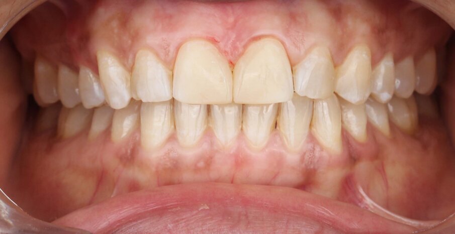
Fig 12. Final smile in Occlusion
Both the cases were done using the Front wing technique for diastema closure as proposed by Dr. Manauta.
Conclusion:
Skipping the palatal index and approaching the restorations from the buccal aspect allowed us to achieve a good emergence profile and contact without complicating the procedure. This technique is easy to adopt and work with since it simplifies a seemingly complex and unachievable outcome. It is necessary to adopt new techniques to develop a predictable workflow for everyday aesthetic and restorative dentistry.
References:
1. Manauta J. The Front Wing Technique. 2016. Styleitaliano. https://www.styleitaliano.org/the-front-wing-technique/
2. Dietschi D. Optimizing smile composition and aesthetics with resin composites and other conservative esthetic procedures. Eur J Esthet Dent 2008; 3(1):14-29.
3. Devoto W, Saracinelli M., Manauta J.Composite in everyday practice: how to choose the right material and simplify application techniques in the anterior teeth. Eur. J. Esthet Dent 2010; 5: 102-124
4. Manauta J, Salat A. Layers, An atlas of composite resin stratification.Quintessence Books, 2012
Dr. Nisha Deshpande has been practicing restorative and esthetic dentistry in Thane for over 10 years. She can be contacted at nishadamle@gmail.com.
Dr. Nisha Deshpande graduated from Government Dental College and Hospital, Mumbai in 2007. She was the recipient of the Vice-Chancellor's Gold Medal for scoring the highest marks in her final BDS examination, having topped the Maharashtra University of Health Sciences (MUHS) in 2006. She has received the Post Graduate Certificate in Aesthetic Dentistry from the State University of New York at Buffalo, USA in 2011. She is a member of the European Society of Cosmetic Dentistry (ESCD) and the Indian Academy of Aesthetic and Cosmetic Dentistry (IAACD). She is currently pursuing the International Certification In Aesthetic and Restorative Dentistry from Egas Moniz University, Caparica, Portugal.
The International Team of Implantology ITI Congress India 2019 presents an excellent opportunity to listen to the global leaders in implantology - Stephen ...
Dr. Isha Rao writes about FDI’s Global Antimicrobial Research Dental Network for Early Career Researchers (GARD ECR network) studying this field. The ...
An idea of Gaetano Paolone and Salvatore Scolavino and the style italiano team, is the "Custom Shield technique”. In this technique the height and the ...
Embarking on a pioneering journey, a new artificial intelligence (AI)-driven bibliometric analysis 1 has unveiled the scientific landscape of the Socket ...
Dental professionals are facing extremely challenging times because of the lockdown. While most practitioners are busy fighting the COVID crisis and ...
The Conceptual Hybrid Flare (CHF) technique is a novel technique developed to revolutionize the cleaning and shaping of root canals making the endodontic ...
Dr Udatta Kher has made significant contributions to the field of implant dentistry. He has developed a wealth of clinical evidence on Socket Shield. He has...
In the realm of periodontal soft tissue surgery, a revolutionary wave is cresting: minimally invasive surgery. By promising precision and extraordinary ...
Christian Coachman, the founder, and CEO of the Digital Smile Design (DSD) company, is well-known for combining his advanced skills, experience, and ...
Education
Live webinar Thu. 23 April 2026 8:30 pm IST (New Delhi)
Stanley M. Bergman’s retirement as CEO of Henry Schein marks the end of one of the most influential leadership tenures in modern dentistry and healthcare ...
TIRUCHIRAPPALLI, India: The integration of artificial intelligence (AI) into medical imaging can support diagnosis and reduce clinical workload. A new study...
Thanks for the case study. Can you tell the matrice system used and from where to precure. Polishing kit and composite used