One of the biggest complaints we face in Class 2 type restorations is food impaction due to improper contacts.
When we used the matrix systems meant for amalgam to make our composite restorations, we managed to seal the Class 2 preparations. However, creating proper inter proximal contact was difficult and food lodgment was a common complaint we had to face .
The article is a case report on Class 2 restorations using modern matrix systems and bulk filling materials thus making these restorations long-lasting and predictable.The first sectional matrix system was introduced in 1986.Though they eliminated the issues associated with the matrix systems meant for amalgam, they came with a set of new problems. The biggest problem was with the prongs. First the straight and narrow prongs did not engage the teeth very well and kept popping off in the middle of the restorative procedure. Second, it was very difficult to position the wedge and this caused gingival overhang (Fig 3,4)
Beginning 2008, new systems started to appear on the market that not only included redesigned bands and rings, but also innovative wedges (Fig 5)
These systems can be bought as a kit containing niti rings with glass reinforced or silicone coated tines which help maintain a fit on the tooth. They also have forceps for placement and pin tweezers to easily remove the matrices once the restoration is completed. Another advantage of these rings is that they can be stacked, which is a feature that comes handy for mod cavities (Fig 6)
The next big challenge we face with respect to class 2 cavities is sub gingival caries.
This is a case in which the patient had two adjacent class 2 cavities. The second premolar had to be endodontically treated (Fig 7).
As seen in most cases such as this, some gingival overgrowth was seen between the 2 teeth (Fig 8). This soft tissue was reduced using a diode laser (Fig 9).
Then a margin elevation band from the Reel matrix system was used (Fig 10)
The margin elevation band has a conical design which slides down sub-gingivally and properly seals this area. Replace the reel matrix band with a sectional matrix system and proceed with building the contact (Fig 11). This is the post-operative view of the same (Fig 12).
So, using a 2-step procedure helped to elevate the margin and build tight contact.
Case report of Class 2 restoration with Palodent v3 matrix system (Dentsply) and Filtek Bulkfill posterior restorative (3M) material:
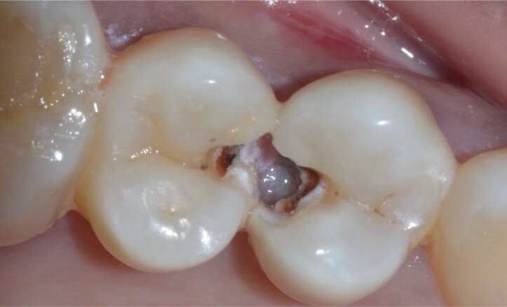
The pre-operative view of a class 2 restoration in 24 (Fig 13)
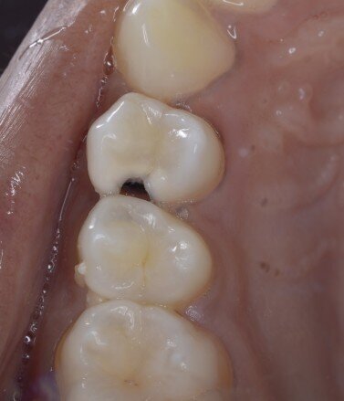
From this view, you can see there is a cavity on the mesial aspect of 25 as well (Fig 14)
In such cases I prefer to use a wedge guard (Palodent V3) which protects the adjacent tooth during preparation (Fig 15)
A caries indicating dye (Snoop, Pulpdent) was used to ensure complete excavation of caries (Fig 16). In a case of two adjacent class 2 cavities, finish one restoration before proceeding to the next. After placement of palodent ring, a hybrid technique was used, which involved selective etching of the uncut enamel margins around the cavity and application of Single bond universal (3M) (Fig 17,18,19)
This is my preferred technique in posterior restorations to avoid post-operative sensitivity. A thin layer of bulk fill flow was then placed on the hybrid layer and cured. This step ensures protection of the bond and seal at the gingival margin (Fig 20)
The marginal ridge is then built with a layer of Filtek bulk fill posterior restorative (3M) (Fig 21).
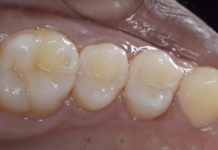
Then, a combination of bulk fill flow and paste form was used to complete restoration on 24 (Fig 22, 23). The restoration on 25 was then carried out using the same protocol (Fig 24). Post-operative view of the case (Fig 25)
Conclusion
Modern matrix systems and bulk filling materials have greatly simplified the process of making direct posterior restorations and also made restorations more predictable.
Tags:
In association with Style Italiano, team integrate recently organised a two-day workshop with Master Clinicain Dr. Murad Akhundov, who is from Baku, ...
Composite resins have been the choice of restorative material for more than 20 years. Most clinicians have mastered the layering protocol for anterior teeth...
MUMBAI, India: For decades, the central question surrounding dental implantology has been one of longevity. Clinicians and patients alike have sought ...
Composite Resin is an extremely versatile and essential material in a dentist's inventory. These materials are technique sensitive, but if applied ...
With dentistry evolving beyond clinical expertise, two pioneering programmes — APLBED and EBMD — designed in collaboration with the Indian School of ...
BURNABY, British Columbia, Canada: In recent years, patient preferences for fixed restorations have driven significant growth in both the US and European ...
OAK RIDGE, Tenn., U.S.: To address the issue of dental restoration failures, researchers have started studying how nanoparticles with antibacterial ...
Composite resin is a material that is able to mimic natural tooth structure, its optical properties and aesthetics. Often due to trauma or caries, the ...
In a recent webinar focused on dental impressions in modern dentistry, Dr Pawel Szuba-Paszkiewicz, a dentist with a deep interest in digital ...
Live webinar
Wed. 15 April 2026
11:30 pm IST (New Delhi)
Live webinar
Thu. 16 April 2026
5:30 am IST (New Delhi)
Linda Hecker MS, BSDH, RDH
Live webinar
Thu. 16 April 2026
9:30 pm IST (New Delhi)
Dr. Pär-Olov Östman, Dr. Robert Gottlander DDS
Live webinar
Fri. 17 April 2026
9:30 pm IST (New Delhi)
Live webinar
Fri. 17 April 2026
10:30 pm IST (New Delhi)
Dr. Stuart Yeaton BDentSc, MOrth
Live webinar
Mon. 20 April 2026
10:30 pm IST (New Delhi)
Dr. Alberto Monje DDS, MS, PhD
Live webinar
Wed. 22 April 2026
8:30 pm IST (New Delhi)
MDT Andreas Chatzimpatzakis
To post a reply please login or register